objectifs
Diagnostiquer un accident vasculaire cérébral.Identifier les situations d'urgence et planifier leur prise en charge pré-hospitalière et hospitalière.Argumenter l'attitude thérapeutique et planifier le suivi du patient.Décrire les principes de la prise en charge au long cours en abordant les problématiques techniques, relationnelles et éthiques en cas d’évolution défavorable.
Diagnostiquer un accident vasculaire cérébral.
Identifier les situations d'urgence et planifier leur prise en charge pré-hospitalière et hospitalière.
Argumenter l'attitude thérapeutique et planifier le suivi du patient.
Décrire les principes de la prise en charge au long cours en abordant les problématiques techniques, relationnelles et éthiques en cas d’évolution défavorable.
L’accident vasculaire cérébral (AVC) est une affection neurologique grave et fréquente, qui constitue une urgence diagnostique et thérapeutique. Il est caractérisé par un début soudain (accident). Il s’agit d’une maladie très hétérogène puisqu’on distingue les accidents ischémiques, le plus souvent par occlusion d’une artère (infarctus cérébral et accident ischémique transitoire [AIT]) et les accidents hémorragiques, par rupture vasculaire (hémorragie intracérébrale [HIC] et hémorragie sous-arachnoïdienne autrement appelée hémorragie méningée ; v. item 336). Les accidents ischémiques représentent 85 à 90 % des accidents, et les accidents hémorragiques 10 à 15 %. Enfin, beaucoup plus rarement (< 1 % des accidents vasculaires cérébraux), il peut s’agir d’une thrombose veineuse cérébrale (TVC).

Épidémiologie

Incidence et prévalence

Incidence et prévalence

Chaque année, l’AVC touche environ 130 000 personnes en France et plus de 16 millions de personnes dans le monde. L’incidence augmente fortement avec l’âge (30 % des accidents surviennent chez des sujets de plus de 80 ans), mais 25 % des patients ont moins de 65 ans. L’incidence de l’AVC en France est globalement stable, estimée à 113/100 000 habitants-années. Malgré l’amélioration de la prévention, notamment par une meilleure prise en charge des facteurs de risque vasculaires, le nombre absolu d’AVC incidents ne cesse d’augmenter par le simple fait du vieillissement de la population. On estime actuellement à environ 750 000 le nombre de Français ayant fait au moins un accident vasculaire cérébral, dont 500 000 avec des séquelles. Environ un tiers des patients ne peuvent plus marcher sans assistance. L’AVC représente ainsi la première cause de handicap acquis de l’adulte en France.

Facteurs de risque

Les facteurs de risque d’AVC sont nombreux et varient selon le type d’accident. L’hypertension artérielle (HTA) est le facteur de risque le plus important, notamment pour les hémorragies intracrâniennes. Il est classique de séparer les facteurs non modifiables des facteurs modifiables

Accidents ischémiques

Non modifiables : âge, sexe masculin, origine ethnique (sujets à peau noire), antécédents familiaux.
Modifiables : hypertension artérielle, tabac, hypercholestérolémie, diabète, obésité, inactivité physique, alcool, traitement hormonal substitutif, contraception orale, drogues (cannabis, cocaïne…), syndrome d’apnées du sommeil.

Hémorragies

Non modifiables : âge, sexe masculin, origine ethnique (sujets à peau noire), antécédents familiaux.
Modifiables : hypertension artérielle, alcool, inactivité physique, diabète, hypocholestérolémie.

Mortalité

La mortalité à 1 mois est d’environ 10 %. L’AVC représente actuellement en France la première cause de décès chez les femmes (avant le cancer du sein) et la troisième cause de décès chez les hommes, après les cancers et les cardiopathies ischémiques.

Clinique

Circonstances du diagnostic

Circonstances du diagnostic

Un AVC se manifeste le plus souvent par un déficit neurologique focal et soudain. Le déficit est presque toujours d’emblée maximal, mais peut plus rarement s’installer par à-coups dans les accidents par occlusion de branches perforantes (voir maladie des petites artères) ou s’aggraver rapidement en cas de sténose ou d’occlusion d’une grosse artère, ou en cas d’hémorragie intra­crânienne.
En cas d’ischémie constituée, les troubles neurologiques sont systématisés à un territoire artériel (celui de l’artère occluse) (tableau 1). La sémiologie des hémorragies intracrâniennes est en fait proche de celle des ischémies cérébrales, et même si certains symptômes comme les céphalées, la survenue précoce de signes d’hypertension intracrânienne ou de troubles de vigilance, une pression artérielle > 220 mmHg, et une progression du déficit neurologique sont plus fréquents en cas d’hémorragie, aucun élément clinique ne permet de distinguer formellement une ischémie cérébrale d’une hémorragie intracrânienne. Une imagerie cérébrale est donc indispensable devant un déficit focal soudain pour en préciser le mécanisme.
Rarement, un AVC peut être découvert devant des symptômes non focaux (par exemple, un syndrome confusionnel), mais le caractère soudain doit rester l’élément clé pour évoquer le diagnostic. Il peut aussi être cliniquement silencieux (découvert lors d’une imagerie cérébrale réalisée pour une autre indication).

Sémiologie des infarctus cérébraux

Rappels sur la vascularisation (fig. 1)

Rappels sur la vascularisation (fig. 1)

Le cerveau est vascularisé par 2 circulations, l’une dite antérieure, alimentée par les artères carotides internes, et l’autre dite postérieure, alimentée par l’artère basilaire (formée par la réunion des deux artères vertébrales). L’artère carotide interne donne trois branches (l’artère ophtalmique la plus proximale, puis l’artère communicante postérieure et l’artère choroïdienne antérieure) puis se divise en 2 branches terminales : l’artère cérébrale antérieure et l’artère cérébrale moyenne. L’artère basilaire se divise en deux artères terminales : les artères cérébrales postérieures. Les deux circulations s’anastomosent à la base du cerveau via les artères communicantes postérieures dans le « polygone de Willis » (fig. 1).

Sémiologie (tableau 1)

Dans les accidents hémisphériques, les symptômes et signes cliniques sont controlatéraux à la lésion. L’occlusion de l’artère ophtalmique ou de ses branches entraîne une baisse de l’acuité visuelle homolatérale et monoculaire. Au cours des infarctus du tronc cérébral, il est fréquent de constater un « syndrome alterne » qui correspond à une paralysie d’un ou plusieurs nerfs crâniens du côté de la lésion (lésion directe du noyau ou des fibres intra-axiales du nerf crânien) et l’atteinte cliniquement d’une ou plusieurs voies longues controlatérales (car ces voies croisent plus bas la ligne médiane). Un des syndromes alternes les plus classiques est le syndrome de Wallenberg. La sémiologie est résumée dans le tableau 1. L’hémisphère majeur est le plus souvent l’hémisphère gauche.

Définition et sémiologie des accidents ischémiques transitoires

L’accident ischémique transitoire (AIT) se définit comme un épisode neurologique transitoire et bref lié à une ischémie cérébrale ou rétinienne sans preuve d’infarctus à l’imagerie. C’est un signal d’alarme avant la survenue d’un infarctus cérébral constitué. Il s’agit donc d’une urgence diagnostique et thérapeutique, il faut traiter vite et de façon adéquate pour prévenir l’infarctus cérébral.
La sémiologie des accidents ischémiques cérébraux est la même que celle des ischémies cérébrales, seule la durée des symptômes varie, plus courte dans les formes transitoires, en général moins d’une heure, souvent quelques minutes.
Sémiologie des hémorragies intracrâniennes
Les hémorragies intracrâniennes donnent des tableaux cliniques proches de ceux des infarctus cérébraux, très variables selon leur topographie. Seule l’imagerie cérébrale permet de différencier un infarctus d’une hémorragie. Les hémorragies intracrâniennes profondes donnent le plus souvent des tableaux d’hémiplégie alors que les formes corticales donnent des symptômes plus souvent cognitifs ou comportementaux.

Étiologie

L’AVC est une maladie très hétérogène sur le plan des causes. Par exemple, on dénombre plus de 100 causes pour les infarctus cérébraux. Cependant, certaines causes sont plus fréquentes.

Infarctus cérébraux

Athérosclérose (15-20 %)

Athérosclérose (15-20 %)

Un infarctus cérébral est classiquement attribué à l’athéro­sclérose s’il existe une lésion d’athérosclérose responsable d’un rétré­cissement d’au moins 50 % du calibre de l’artère en amont de l’infarctus. Cela signifie que la présence de plaques d’athéro­sclérose (très fréquente dans cette population) ne suffit pas à affirmer la relation de causalité.

Cardiopathies emboligènes (25 %)

La fibrillation atriale (FA) est la plus fréquente des cardiopathies emboligènes. Il en existe de nombreuses autres (valvulopathies [rétrécissement mitral, valves prothétiques mécaniques], cardiopathies hypokinétiques sévères [fraction d’éjection ventriculaire gauche < 35 %], endocardites, anévrismes du ventricule gauche, infarctus du myocarde à la phase aiguë…).

Maladie des petites artères (environ 25 %)

Il s’agit d’une maladie des petites artères cérébrales (aussi appelées artères perforantes), principalement due à l’hypertension artérielle, se traduisant par une sclérose de la paroi des artères (lipohyalinose). Elle est responsable de petits infarctus profonds (diamètre < 15 mm), que l’on appelle alors « lacunes ».

Dissection des artères cervicales

Il s’agit d’une cause rare d’infarctus cérébral toutes tranches d’âges confondues (2 %), mais c’est une cause fréquente chez les patients de moins de 45 ans (environ 20 %). Il s’agit d’une fragmentation de la paroi artérielle avec formation d’un hématome dans l’épaisseur de la paroi, sous l’adventice ou sous l’intima. L’hématome pariétal peut entraîner une simple réduction de la lumière artérielle ou entraîner une occlusion complète de cette dernière, avec un aspect typique d’occlusion en « flamme de bougie » ou en « queue de radis » à l’imagerie. Les dissections sont le plus souvent spontanées, et plus rarement post- traumatiques. Elles sont parfois liées à une maladie du tissu conjonctif sous-jacente (Ehlers-Danlos de type IV, dysplasie fibromusculaire), mais le plus souvent il n’y a pas de maladie sous-jacente. Elles sont souvent multiples et peuvent être asymptomatiques (bien explorer les 4 axes vasculaires afin de ne pas les méconnaître). Les dissections carotidiennes siègent le plus souvent au-dessus du bulbe (à la différence de l’athérome dont le siège préférentiel est le bulbe). Une dissection de la carotide commune doit toujours faire rechercher une dissection aortique associée (une dissection de la carotide commune n’est jamais isolée).

Autres causes rares (environ 5 %)

Ce sont : les thrombophilies artérielles (anticoagulant circulant, anti­phospholipide, anti-bêta-2-GP1), certaines hémopathies, certaines maladies génétiques (maladie de Cadasil, syndrome de Carney, COL4A1, Rendu-Osler, maladie de Fabry…).

Accidents de cause indéterminée (environ 25 %)

Ce sont des infarctus cérébraux dont la cause reste inconnue (infarctus cryptogénique) ou en présence d’anomalies insuffisantes pour retenir une relation causale (plaques d’athérosclérose par exemple).
Hémorragies intracrâniennes

Maladie des petites artères

C’est la principale cause. Elle est due à la lipohyalinose, à l’origine d’une sclérose de la paroi mais également de la formation de microanévrismes des petites artères (< 300 µm) profondes. Le facteur de risque principal est l’hypertension artérielle chronique. Il existe des stigmates à l’IRM permettant d’évoquer cette étiologie : leucopathie périventriculaire (hypersignaux FLAIR périventriculaires confluents) et présence de microsaignements (« microbleeds ») de localisation profonde en séquence T2*, de taille  10 mm.

Angiopathie amyloïde cérébrale

Il s’agit de la deuxième cause d’hémorragie intracrânienne chez le sujet âgé. Il s’agit également d’une maladie touchant les petites artères. Des dépôts de substance amyloïde s’accumulent dans la paroi des artères, à l’origine d’un épaississement de ces dernières, pouvant être à l’origine de petits infarctus sous-corticaux par réduction du calibre artériel, mais surtout à l’origine d’une fragilisation de l’artère pouvant mener à la rupture vasculaire. À la différence de la microangiopathie par lipohyalinose, les hémor­ragies sont corticales (lobaires). Elle s’accompagne le plus souvent de troubles cognitifs. Le risque de récidive d’hémorragie est élevé.

Médicaments antithrombotiques (anticoagulants, antiagrégants)

Environ 15 % des hémorragies surviennent chez des patients traités par anticoagulants, la plupart du temps sans surdosage.

Malformations vasculaires

Les malformations artérioveineuses et les cavernomes sont des causes fréquentes d’hémorragie intracrânienne du sujet jeune. Un antécédent de crises d’épilepsie peut orienter vers une malformation vasculaire. Très rarement, une hémorragie peut accompagner une hémorragie sous-arachnoïdienne par rupture d’un anévrisme intracrânien.

Autres causes

Ce sont les tumeurs cérébrales, les toxiques (cocaïne, héroïne, amphétamines…), la thrombose veineuse cérébrale et les vascularites cérébrales (primitives ou secondaires).

Prise en charge à la phase aiguë

Phase préhospitalière

Phase préhospitalière

L’accident vasculaire cérébral est une urgence diagnostique et thérapeutique. Le SAMU centre 15 doit être contacté devant toute suspicion d’AVC afin d’organiser le transport du patient le plus rapidement possible vers le centre hospitalier doté d’une unité neurovasculaire (UNV) le plus proche (ou à défaut vers un centre sans unité neurovasculaire mais pouvant prendre en charge les accidents vascualires cérébraux par télémédecine). Les éléments à recueillir à cette phase incluent : historique précis des faits, avec heure de début la plus précise possible, antécédents et traitements du patient (antithrombotiques en parti­culier). Le service d’urgence d’aval ainsi que le service de radiologie doivent être prévenus afin d’accélérer la prise en charge intrahospitalière du patient.

Phase hospitalière

Quel bilan clinique initial ?

Quel bilan clinique initial ?

Un examen neurologique doit être fait dès l’arrivée du patient, l’échelle clinique de sévérité « National Institutes of Health Stroke Scale » (NIHSS) doit être utilisée. Elle est cotée de 0 (examen neurologique normal) à 42 (coma profond, tétraplégie).
Un électrocardiogramme doit être réalisé, à la recherche d’arythmie emboligène (fibrillation atriale).

Quel bilan radiologique initial ?

L’objectif premier une fois que le diagnostic clinique d’accident vasculaire cérébral est posé est de déterminer s’il s’agit d’un infarctus cérébral ou d’une hémorragie intracrânienne, car le traitement est radicalement différent dans ces 2 situations. Seule l’imagerie cérébrale permet de le déterminer.
L’imagerie initiale (v. encadré) doit évaluer le parenchyme cérébral et les vaisseaux (intra- et extracrâniens). Il peut s’agir d’un scanner cérébral suivi d’un angioscanner des troncs supra-aortiques (TSA) et du polygone de Willis ou d’une IRM cérébrale suivie d’une angio-IRM des troncs supra-aortiques et du polygone de Willis. L’IRM est plus sensible pour le diagnostic d’ischémie cérébrale, mais son accessibilité est moindre.

Quel bilan biologique initial?

Ce sont : glycémie capillaire et veineuse (une hypoglycémie peut mimer un AVC !), tests de coagulation, TP, TCA, hémogramme, éventuellement activité anti-Xa si traitement par anticoagulant direct anti-Xa, temps de thrombine pour le dabigatran, dosages spécifiques des anticoagulants oraux directs ; fonction rénale.
Thérapeutiques à la phase aiguë

Mesures générales pour tous les accidents vasculaires cérébraux

Hospitalisation en unité neurovasculaire

Hospitalisation en unité neurovasculaire

Pour tous les patients présentant un accident vasculaire cérébral, l’hospitalisation en unité neurovasculaire est une mesure thérapeutique qui améliore le pronostic.

Lutte contre les agressions cérébrales secondaires d’origine systémique (ACSOS)

L’équilibre glycémique, oxymétrique (SaO2 > 94 %) et volémique, le contrôle de la température corporelle et le contrôle tensionnel (< 140 mmHg en cas d’hémorragie ou < 220-120 en cas d’infarctus non thrombolysé ou <185/110 en cas d’infarctus thrombolysé) sont nécessaires pour tout AVC.

Prévention des complications de décubitus

La prévention des complications de décubitus par héparine de bas poids moléculaire ou héparine non fractionnée à dose isocoagulante est systématique si le patient ne déambule pas.

Thérapeutiques spécifiques de l’infarctus cérébral

Dans l’infarctus cérébral, il y a urgence à revasculariser (concept de « time is brain »). Les 2 stratégies de revascularisation, qui peuvent être combinées, sont la thrombolyse par rt-PA et la thrombectomie. Cependant, la revascularisation ne peut s’envisager que si l’on se trouve dans les quelques heures qui suivent l’occlusion. Au-delà, la zone de pénombre n’existe plus (v. Focus), et il n’y a alors plus d’intérêt, il y a même un risque (transformation hémorragique) à revasculariser. La prise en charge est donc très différente selon que le patient est vu dans les 4 h 30 ou non du début des symptômes.

Patient pris en charge dans les 4 h 30

Thrombolyse par rt-PA : le rt-PA est un thrombolytique de synthèse (t-PA recombinant), qui vise à lyser le thrombus responsable de l’infarctus. Le rt-PA administré en intraveineux à la dose de 0,9 mg/kg (maximum 90 mg) dans les 4 h 30 permet une réduction du risque absolu de décès ou dépendance. Son efficacité est temps-dépendante : plus il est administré tôt et plus son efficacité est grande.
Thrombectomie : elle correspond à l’ablation mécanique du thrombus, par voie endovasculaire (lors d’une artério­graphie), le plus souvent à l’aide de dispositifs appelés « stents retrievers » (le stent permet de ramener le thrombus, il n’est pas déployé définitivement dans l’artère). Plusieurs études récentes ont prouvé son efficacité en association avec la thrombolyse IV. Ce geste est proposé aux patients présentant une occlusion artérielle proximale sur la circulation antérieure (artère cérébrale moyenne, carotide interne intracrânienne) documentée à l’imagerie et à certains patients ayant une occlusion de l'artère basilaire. Le patient reçoit d’abord la thrombolyse par rt-PA et est immédiatement transféré dans un bloc d’imagerie avec une salle d’artériographie pour thrombectomie. La thrombectomie doit être débutée dans les 6 h du début des symptômes.

Patient pris en charge au-delà de 4 h 30

L’aspirine (bolus initial de 160-325 mg) est généralement indiquée et réduit discrètement le risque de décès et de dépendance.
Un traitement anticoagulant à dose efficace n’est quasiment jamais indiqué à la phase aiguë, même en présence d’une cardio­pathie emboligène, en raison du risque de transformation hémor­ragique de l’infarctus cérébral. Les rares cas où un traitement anticoagulant à la phase aiguë peut se discuter sont l’infarctus d’origine cardio-embolique de toute petite taille (risque de transformation hémorragique faible), la dissection extracrânienne avec infarctus cérébral de petite taille, et en cas de valve cardiaque mécanique (risque thrombotique majeur).
Thérapeutiques spécifiques de l’hémorragie intracrânienne

Contrôle intensif de la pression artérielle

L’hémorragie intracrânienne est un phénomène dynamique, et chaque minute perdue correspond à une extension de l’hématome intracérébral. Un contrôle tensionnel intensif et pérenne en urgence réduit le risque de décès ou handicap. L’obtention d’une PAS < 140 mmHg en moins d’une heure est recommandée.

Normalisation de la coagulation

Les traitements antithrombotiques doivent être interrompus. Les patients sous AVK ayant un INR > 1,4 doivent recevoir des concentrés de complexes prothrombiniques (CCP) afin de substituer les facteurs de coagulation vitamine K-dépendants, ainsi que de la vitamine K intraveineuse. Un seul anticoagulant oral direct bénéficie à l'heure actuelle d'un antidote : le dabigatran (antagonisation par anticorps monoclonal anti-dabigatran : idarucizumab) ; les autres (apixaban et rivaroxaban) doivent être neutralisés par des CCP.

Place de la chirurgie à la phase aiguë des AVC

Les indications sont : la craniectomie de décompression en cas d’infarctus sylvien total du sujet jeune ou cérébelleux compressif ; l' évacuation d’une hémorragie intracrânienne lobaire ou cérébelleuse chez un sujet jeune ; la dérivation ventriculaire externe en cas d’hydrocéphalie aiguë par infarctus ou hémorragie dans la fosse postérieure.

Bilan étiologique durant l’hospitalisation

Infarctus cérébral

Infarctus cérébral

Il faut réaliser :
échographie cardiaque transthoracique et/ou transœsophagienne à la recherche de causes cardio-emboliques (tumeur de l’oreillette, thrombus intra-auriculaire, valvulopathies, cardiopathies hypokinétiques sévères…) ;
monitoring du rythme cardiaque pendant au moins 24 heures afin de rechercher une arythmie emboligène (surveillance par monitoring ou holter ECG) ;
imagerie des troncs supra-aortiques afin de rechercher une sténose de l’artère d’amont de l’artère en cause dans l’infarctus cérébral : écho-Doppler des troncs supra-aortiques ou, mieux, angioscanner ou angio-IRM ;
bilan biologique de thrombophilie artérielle en cas d’infarctus chez un patient jeune, sans cause retrouvée ;
bilan des facteurs de risque vasculaires (dosage du LDL-cholestérol, glycémie à jeun, hémoglobine glyquée si le patient est diabétique, recherche de stigmates d’HTA chronique).

Hémorragie intracrânienne

Les examens paracliniques à réaliser dépendront du contexte (âge, traitement anticoagulant…). Dans tous les cas, si elle n’a pas été réalisée à la phase aiguë, une IRM cérébrale est réalisée. Se discutent selon le contexte certaines séquences IRM (veinogramme, séquence avec injection de gadolinium), une artériographie cérébrale à la recherche d’une malformation vasculaire, et des recherches génétiques.
Prévention secondaire

Prévention secondaire de l’infarctus cérébral ou de l’accident ischémique transitoire

Traitement antithrombotique

Traitement antithrombotique

Selon la cause retenue, on prescrit soit un antiagrégant, soit un anticoagulant.
Antiagrégant en l’absence de cause cardio-embolique : soit aspirine à la dose de 75 à 325 mg/j, soit clopidogrel (Plavix). L’aspirine reste le plus souvent utilisée.
Anticoagulants oraux : en cas de fibrillation atriale non valvulaire (pas de rétrécissement mitral, ni de valve prothétique), il peut s’agir d’un antivitamine-K ou d’un anticoagulant oral direct (AOD). Le choix et la posologie du médicament (AOD ou AVK) dépendent de l’âge, du poids, de la fonction rénale, de la difficulté d’équilibration préalable des antivitamines-K. Par rapport aux anti­vitamines-K, les anticoagulants oraux directs sont aussi efficaces en termes de réduction de risque ischémique et comportent un moindre risque d’hémorragie cérébrale, mais sont actuellement proposés en deuxième intention selon la HAS. Pour toutes les autres cardiopathies emboligènes, le traitement anticoagulant est un antivitamine-K (pas d’AOD).
Une anticoagulation par antivitamine-K peut se discuter pour les dissections carotidiennes ou vertébrales extracrâniennes (seulement en cas de lésion ischémique de petite taille).

Traitement antihypertenseur

L’objectif tensionnel est < 140/90 mmHg. Un inhibiteur de l'enzyme de conversion ou diurétique thiazidique est recommandé.

Traitement antidiabétique

L’objectif d’HbA1c est  8 % dans les 6 mois suivant l’infarctus cérébral,  7 % au-delà des 6 mois.

Statine

Une statine est recommandée en cas de LDL > 1 g/L.

Mesures hygiéno-diététiques

Ce sont :
sevrage tabagique ;
alcool : maximum 3 unités/j chez l’homme, 2 pour la femme ;
activité physique régulière (minimum 3  30 min/semaine) ;
régime en cas de surpoids/obésité.

Mesures spécifiques

L’endartériectomie carotidienne est recommandée en cas de sténose symptomatique > 70 %, à discuter si sténose entre 50 et 69 %. Le bénéfice du traitement est d’autant plus important que la chirurgie est réalisée tôt après l’accident ischémique cérébral.

Prévention secondaire de l’hémorragie intracrânienne

Traitement antihypertenseur : réduction de la pression artérielle pour toutes les hémorragies intracrâniennes (objectif < 140/90 mmHg).
Traitement d’une éventuelle malformation vasculaire (traitement endo­vasculaire, chirurgie, radiochirurgie).

Pronostic

Environ 2/3 des patients ayant fait un AVC gardent des séquelles neurologiques (physiques et/ou cognitives), et 1/3 ne sont plus capables de marcher sans assistance. Environ 10 % des patients seront morts à un mois. Le pronostic est d’autant moins bon que l’âge est avancé et le NIHSS initial élevé. Dans le cas de l’infarctus cérébral, environ un tiers des patients sont parfaitement indépendants et peuvent reprendre l’ensemble des activités qu’ils avaient avant l’épisode.
Le risque de récidive dépend de la cause et des facteurs de risque, notamment l’âge. Globalement, dans les accidents ischémiques, le risque de récidive est de 40 % à 10 ans.

Cas particulier : la thrombose veineuse cérébrale

Les thromboses veineuses cérébrales (TVC) sont rares (incidence environ 1/100 000/an, et ne représentent que 0,5 % des AVC. Il s’agit en général d’une thrombose d’un sinus veineux (sinus latéral et/ou sagittal supérieur le plus souvent), moins fréquemment d’une veine corticale. Plusieurs segments veineux sont concernés en même temps dans 50 à 60 % des cas. La thrombose veineuse cérébrale peut survenir à tout âge, la moyenne étant aux alentours de 40 ans, avec une prédominance féminine (2-3/1).

Symptomatologie

Il n’existe pas de syndrome anatomo-clinique bien défini, les symptômes sont polymorphes et aspécifiques.
La thrombose veineuse cérébrale peut se compliquer d’infarctus veineux du parenchyme cérébral adjacent, d’hémorragies parenchymateuses et, plus tardivement, de fistule durale.
Le symptôme le plus fréquent est la céphalée, généralement d’apparition progressive. Il peut aussi s’agir de déficits neurologiques focaux, de crises convulsives partielles (à bascule parfois d’un côté du corps puis de l’autre), faisant alors évoquer une thrombose du sinus sagittal supérieur) ou généralisées ou encore de troubles de la conscience.

Diagnostic paraclinique

Imagerie

Imagerie

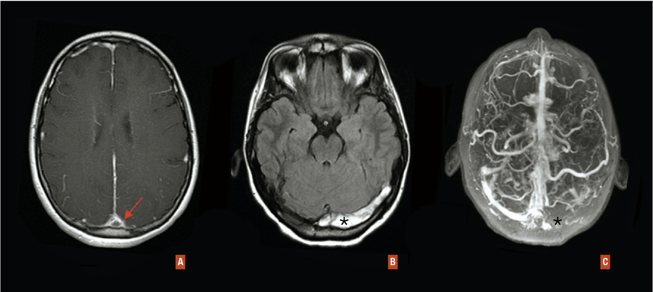
Le diagnostic repose sur l’imagerie des veines et sinus veineux (angioscanner et/ou IRM avec séquences veineuses). L’IRM avec angio-IRM veineuse est l’examen de référence (fig. 2).
Le scanner cérébral sans injection peut montrer une hyper­densité spontanée du sinus thrombosé. Après injection de produit de contraste, il existe un rehaussement de la paroi du sinus alors qu’il y a un défaut de remplissage du sinus, qui se traduit par une hypodensité triangulaire au sein du sinus (signe du « delta vide »). On pourra également voir des signes indirects de thrombose veineuse cérébrale sur le parenchyme cérébral : œdème, prise de contraste, infarctus veineux, hémorragies. Le scanner sans injection est peu sensible, surtout en cas de syndrome d’hypertension intracrânienne isolée (50 % de faux négatifs dans ce dernier cas).
L’IRM cérébrale réalisée à la phase précoce (de J5 à J30) montre un hypersignal T1 et T2 du sinus veineux thrombosé. À la phase très aiguë (< J5), le diagnostic est plus difficile (isosignal T1 et hyposignal T2 normal), et l’angio-IRM veineuse permettra de faire le diagnostic en montrant une interruption du flux. Les thromboses de veines corticales seront plus facilement mises en évidence sur les séquences T2* ou SWI (hyposignal).

Biologie

Les D-dimères sont élevés dans la thrombose veineuse cérébrale, avec une sensibilité et une spécificité imparfaites et ne sont pas utiles pour le diagnostic.

Étiologie

Les causes chez un même patient sont souvent multiples, le bilan doit donc être exhaustif pour tous les patients même lorsqu’une cause apparaît évidente.

Traitement

Traitement anticoagulant

Traitement anticoagulant

Un traitement par héparine à dose hypocoagulante doit être débuté en urgence (même si la thrombose veineuse cérébrale s’accompagne d’une hémorragie). Elle est relayée par des AVK pour une durée minimale de 6 mois (au long cours en cas de thrombophilie majeure dès la première thrombose, ou de thrombophilie mineure s’il s’agit d’une récidive).

Traitement symptomatique

Ce sont la prise en charge de l’hypertension intracrânienne, les antiépileptiques en cas de crise et les antalgiques.

Traitement étiologique

Il dépend de la (des) cause(s) retrouvée(s).
Chez la femme, la contraception œstroprogestative doit être contre-indiquée.

Traitements d’exception

Rarement, un traitement endovasculaire (thrombolyse ou destruction mécanique) peut être proposé (en cas de troubles de conscience ne s’expliquant pas par un effet de masse, d’aggravation malgré un traitement anticoagulant bien conduit).
La craniectomie est réalisée en cas d’effet de masse mal toléré (troubles de la conscience) malgré un traitement médical optimal.

Pronostic

Le pronostic est généralement très bon si le traitement est institué, la guérison est complète dans 45 à 75 % des cas, et les séquelles ne sont sévères que dans environ 5 % des thromboses veineuses cérébrales.
›››
L’accident vasculaire cérébral (AVC) est une urgence diagnostique et thérapeutique.
Une imagerie cérébrale et vasculaire doit être réalisée en urgence pour tout patient victime d’AVC.
Les patients victimes d’AVC doivent être hospitalisés en unité neurovasculaire (amélioration du pronostic).
Les infarctus cérébraux vus dans les 4 h 30 sont éligibles à une revascularisation par thrombolyse par rt-PA, suivie d’une thrombectomie mécanique jusqu'à 6 h.
La prévention secondaire après un infarctus cérébral repose sur la prise en charge des facteurs de risque vasculaire, un traitement antithrombotique, et parfois une chirurgie vasculaire.
Environ 2/3 des patients gardent des séquelles de leur AVC, 1/3 ne peuvent plus marcher sans assistance, et 10 % sont morts à 1 mois.

Mais aussi

Strong K, Mathers C, Bonita R. Preventing stroke: saving lives around the world. Lancet Neurol 2007;6(2):182-7.
Bardet J. Rapport sur la prise en charge précoce des accidents vasculaires cérébraux. [en ligne] http://www.assemblee-nationale.fr/13/rap-off/ i0236.asp#P359_37079 [consulté le 30/08/2014].
Béjot Y, Osseby GV, Aboa-Eboulé C, Durier J, Lorgis L, Cottin Y, et al. Dijon’s vanishing lead with regard to low incidence of stroke. Eur J Neurol Off J Eur Fed Neurol Soc. 2009;16(3):324-9.
Ministère de la Santé. Plan d’actions AVC 2010-2014 [en ligne]. http://www.sante.gouv.fr/IMG/pdf/plan_actions_AVC_-_17avr2010.pdf [consulté le 3 sept 2014].
Leys D, Béjot Y, Debette S, Giroud M. Burden of stroke in France. Int J Stroke Off J Int Stroke Soc 2008;3(2):117-9.
Ministère des Affaires sociales et de la Santé. Les chiffres clés de l’AVC. [en ligne]. http://www.sante.gouv.fr/les-chiffres-cles-de-l-avc.html [consulté le 29 mars 2014].
Kolominsky-Rabas PL, Weber M, Gefeller O, Neundoerfer B, Heuschmann PU. Epidemiology of ischemic stroke subtypes according to TOAST criteria: incidence, recurrence, and long-term survival in ischemic stroke subtypes: a population-based study. Stroke J Cereb Circ 2001;32(12):2735-40.
Jauch EC, Saver JL, Adams HP, Bruno A, Connors JJ, Demaerschalk BM, et al. Guidelines for the Early Management of Patients With Acute Ischemic Stroke: A Guideline for Healthcare Professionals From the American Heart Association/American Stroke Association. Stroke 2013;44(3):870-947.
Powers WJ, Derdeyn CP, Biller J, Coffey CS, Hoh BL, Jauch EC, et al. American Heart Association Stroke Council. 2015 American Heart Association/American Stroke Association Focused Update of the 2013 Guidelines for the Early Management of Patients With Acute Ischemic Stroke Regarding Endovascular Treatment: A Guideline for Healthcare Professionals From the American Heart Association/American Stroke Association. Stroke 2015 Oct;46(10):3020-35.
Steiner T1, Al-Shahi Salman R, Beer R, Christensen H, Cordonnier C, Csiba L, et al. European Stroke Organisation. European Stroke Organisation (ESO) guidelines for the management of spontaneous intracerebral hemorrhage. Int J Stroke 2014;9(7):840-55.
HAS. Prévention vasculaire après un infarctus cérébral ou un accident ischémique transitoire. Juillet 2014. [en ligne]. Disponible sur http://www.has-sante.fr/portail/jcms/c_1252051/fr/prevention-vasculaire-apres-un-infarctus-cerebral-ou-un-accident-ischemique-transitoire
See comment in PubMed Commons below.
Points forts
Accidents vasculaires cérébraux

POINTS FORTS À RETENIR

L’accident vasculaire cérébral (AVC) est une urgence diagnostique et thérapeutique.

Une imagerie cérébrale et vasculaire doit être réalisée en urgence pour tout patient victime d’AVC.

Les patients victimes d’AVC doivent être hospitalisés en unité neurovasculaire (amélioration du pronostic).

Les infarctus cérébraux vus dans les 4 h 30 sont éligibles à une revascularisation par thrombolyse par rt-PA, suivie d’une thrombectomie mécanique jusqu'à 6 h.

La prévention secondaire après un infarctus cérébral repose sur la prise en charge des facteurs de risque vasculaire, un traitement antithrombotique, et parfois une chirurgie vasculaire.

Environ 2/3 des patients gardent des séquelles de leur AVC, 1/3 ne peuvent plus marcher sans assistance, et 10 % sont morts à 1 mois.

Message auteur

Accidents vasculaires cérébraux

Pour en savoir
Strong K, Mathers C, Bonita R. Preventing stroke: saving lives around the world. Lancet Neurol 2007;6(2):182-7. Bardet J. Rapport sur la prise en charge précoce des accidents vasculaires cérébraux. [en ligne] http://www.assemblee-nationale.fr/13/rap-off/ i0236.asp#P359_37079 [consulté le 30/08/2014].Béjot Y, Osseby GV, Aboa-Eboulé C, Durier J, Lorgis L, Cottin Y, et al. Dijon’s vanishing lead with regard to low incidence of stroke. Eur J Neurol Off J Eur Fed Neurol Soc. 2009;16(3):324-9. Ministère de la Santé. Plan d’actions AVC 2010-2014 [en ligne]. http://www.sante.gouv.fr/IMG/pdf/plan_actions_AVC_-_17avr2010.pdf [consulté le 3 sept 2014].Leys D, Béjot Y, Debette S, Giroud M. Burden of stroke in France. Int J Stroke Off J Int Stroke Soc 2008;3(2):117-9. Ministère des Affaires sociales et de la Santé. Les chiffres clés de l’AVC. [en ligne]. http://www.sante.gouv.fr/les-chiffres-cles-de-l-avc.html [consulté le 29 mars 2014].Kolominsky-Rabas PL, Weber M, Gefeller O, Neundoerfer B, Heuschmann PU. Epidemiology of ischemic stroke subtypes according to TOAST criteria: incidence, recurrence, and long-term survival in ischemic stroke subtypes: a population-based study. Stroke J Cereb Circ 2001;32(12):2735-40. Jauch EC, Saver JL, Adams HP, Bruno A, Connors JJ, Demaerschalk BM, et al. Guidelines for the Early Management of Patients With Acute Ischemic Stroke: A Guideline for Healthcare Professionals From the American Heart Association/American Stroke Association. Stroke 2013;44(3):870-947.Powers WJ, Derdeyn CP, Biller J, Coffey CS, Hoh BL, Jauch EC, et al. American Heart Association Stroke Council. 2015 American Heart Association/American Stroke Association Focused Update of the 2013 Guidelines for the Early Management of Patients With Acute Ischemic Stroke Regarding Endovascular Treatment: A Guideline for Healthcare Professionals From the American Heart Association/American Stroke Association. Stroke 2015 Oct;46(10):3020-35. Steiner T1, Al-Shahi Salman R, Beer R, Christensen H, Cordonnier C, Csiba L, et al. European Stroke Organisation. European Stroke Organisation (ESO) guidelines for the management of spontaneous intracerebral hemorrhage. Int J Stroke 2014;9(7):840-55. HAS. Prévention vasculaire après un infarctus cérébral ou un accident ischémique transitoire. Juillet 2014. [en ligne]. Disponible sur http://www.has-sante.fr/portail/jcms/c_1252051/fr/prevention-vasculaire-apres-un-infarctus-cerebral-ou-un-accident-ischemique-transitoireSee comment in PubMed Commons below.

Dans cet article

Ce contenu est exclusivement réservé aux abonnés