La maladie lithiasique est responsable de la formation de calculs dans les cavités urinaires par la cristallisation de substances en concentration excessive dans les urines.
Prévalence estimée à 10 %, en particulier hommes de 35-40 ans.
Récidive fréquente après traitement urologique :
– 50 % à 5 ans ;
– 75 % à 10 ans en l’absence de prise en charge étiologique ;
– < 10 % si traitée.
Facteurs de risque : syndrome métabolique, diabète, antécédents familiaux (40 % des cas).
Composition du calcul : primordiale, car contribue au diagnostic étiologique : oxalate de calcium (70 % des cas) ;
phosphate de calcium (15 %) ; acide urique : (10 %) ; phosphate ammoniaco-magnésien, cystine : plus rares.

Révélation bruyante : colique néphrétique

Traduit le passage d’un calcul dans l’uretère. Parfois asymptomatique et découvert fortuitement : ASP, bilan d’insuffisance rénale ou échographie rénovésicale.
Syndrome douloureux aigu lombo-abdominal : douleur unilatérale, brutale et intense, irradiation antérieure et descendante (fosse iliaque et organes génitaux externes). Parfois associés : pollakiurie, brûlures mictionnelles, hématurie, nausées et vomissements, agitation et anxiété.
Palpation et percussion de la fosse iliaque douloureuses (les 2 côtés peuvent être symptomatiques indifféremment) sans défense abdominale.
Bandelette urinaire : hématurie microscopique dans 67 à 95 % des cas.
Traitement de référence : kétoprofène, 100 mg en IV lente, au maximum 3 fois/24 heures.
La voie orale est possible en l’absence de vomissements (100 à 200 mg/j), de même que le paracétamol ± tramadol (douleur peu intense) ou la morphine titrée IV (non-réponse au traitement initial ou contre-indication aux AINS).
Restriction hydrique et phloroglucinol (Spasfon) n’ont pas démontré leur efficacité. Un bain chaud soulage.

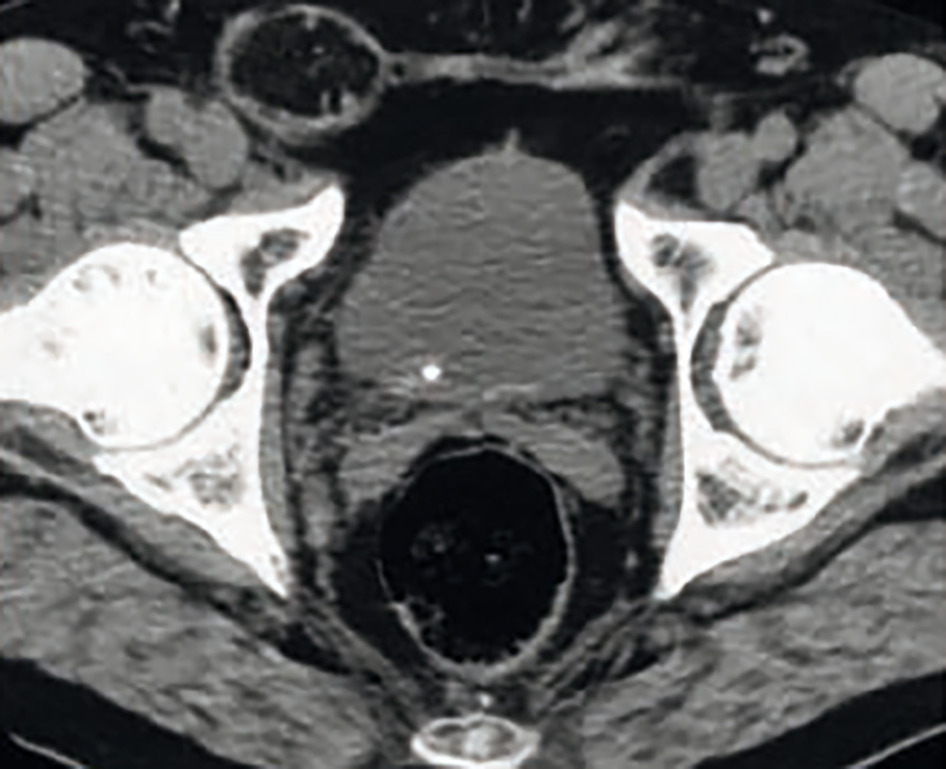
Scanner sans injection : très performant

ASP + échographie rénovésicale ont une sensibilité de l’ordre de 80-90 % pour identifier calcul et obstruction.
Scanner non injecté : sensibilité et spécificité comprises entre 96 et 100 %. Examen de référence avant traitement urologique (morphologie des voies urinaires, caractéristiques et localisation du calcul).
Autres explorations :
– ECBU : bilan préthérapeutique (stérile avant tout traitement urologique) ;
– créatininémie : retentissement sur la fonction rénale ;
– scintigraphie au DMSA ou au MAG 3 : si doute sur la valeur fonctionnelle du rein atteint.

Histoire naturelle des calculs de l’uretère

Élimination spontanée fréquente au décours d’une crise, d’autant plus qu’ils sont petits et bas situés : dans 46 à 85 % des cas si < 5 mm, dans 36 à 59 % si ≥ 5 mm (quasiment jamais au-delà de 8-10 mm).
Favorisée par les alphabloquants.
Demander au patient de filtrer les urines : analyse du calcul par spectrométrie infrarouge.
Abstention thérapeutique :
– suivi par ASP et/ou échographie rénale annuels+++ ;
– bilan métabolique sanguin et urinaire afin de ne pas méconnaître un facteur de risque de croissance du calcul ;
– s’il est toujours en place dans l’uretère à 4-6 semaines, il a peu de chance de s’éliminer naturellement : proposer un traitement urologique (tableau 1) ;
– pas d’abstention chez certains patients : aviateurs, spationautes, marins, professionnels exerçant dans des zones éloignées de toute offre de soins, sujets précaires.

Quatre grandes techniques

Pas de traitement médical, hors calculs d’acide urique, sensibles à l’alcalisation des urines.
Dans ce cas, préconiser les eaux riches en bicarbonate (Vichy Célestins, Saint-Yorre) et corriger les facteurs de risque (obésité et diabète de type 2). Si contre-indication (sodium) : citrate de potassium (4 g/j à diluer dans 1,5 l d’eau).
Quatre méthodes instrumentales :
lithotritie extracorporelle (LEC) : fragmente les calculs via des ondes de choc afin qu’ils soient éliminés dans les urines ;
urétéroscopie (URS) : urétéroscope métallique de 2-3 mm de diamètre. Extraction par une sonde panier après fragmentation (laser) ;
urétérorénoscopie (URSS) : urétéroscope souples, fibrés ou numériques de diamètre inférieur à 3 mm ;
néphrolithotomie percutanée (NLPC) : introduction du néphroscope dans le rein à travers la paroi postérieure de l’abdomen.
Première évaluation des fragments résiduels faite à 1-3 mois : ASP et échographie rénale, et si calculs d’acide urique (radiotransparents), scanner faible dose non injecté :
– fragments résiduels < 5 mm et asymptomatiques : nouveau contrôle à 6 et à 12 mois, puis tous les ans ;
– ≥ 5 mm et symptomatiques : traités par LEC ou URSS (selon indications ; tableaux).
La laparoscopie est quasi abandonnée. Indications restreintes : malformations du haut appareil), néphrectomie (calcul symptomatique et rein non fonctionnel.

Cas particuliers

Calculs bilatéraux : rarement pris en charge simultanément, on commence par le côté le plus en danger.
Rein unique : toutes les approches sont possibles, pas de contre-indication formelle même pour la NLPC (risques hémorragique et infectieux légèrement plus élevés).
Drainage de la voie excrétrice par sonde JJ fréquent pour éviter l’insuffisance rénale.
Enfant : LEC le plus souvent utilisée, d’autant plus efficace que l’uretère est souple et autorise l’expulsion de fragments volumineux.
Femmes enceintes : attention au risque maternofœtal lié à un calcul symptomatique et à son traitement :
– imagerie de référence : échographie des voies urinaires ;
– antalgiques simples ou morphiniques, mais AINS contre-indiqués au 3e semestre (fermeture du canal artériel fœtal). Si inefficaces, drainage des urines en urgence sous contrôle échographique et changement de la sonde JJ toutes les 6 semaines, jusqu’à l’accouchement (risque de calcification) ;
– traitement curatif après la grossesse (LEC formellement contre-indiquée chez la femme enceinte).

Prévention des récidives

Bien différencier le traitement des calculs (instrumental) de celui de la lithiase urinaire, qui a pour but d’éviter une nouvelle colique néphrétique.
Règles hygiénodiététiques :
– diurèse > 2 000 mL/24 heures : 1er objectif à atteindre et à maintenir au long cours ; boissons à répartir sur toute la journée ;
– alimentation équilibrée/réajustée : normalisée en calcium (800 mg/j), en sel (9 g/j) et en protéines animales (< 1,2 g/kg/j) ; limiter les prises excessives d’oxalate (chocolat, fruits secs, épinards, oseille, rhubarbe, thé), restreindre les boissons sucrées et sodas (fructose).
Suivi par ASP et/ou échographie rénale annuels+++
Bilan métabolique sanguin et urinaire.

Dans cet article

Ce contenu est exclusivement réservé aux abonnés