Objectifs
Diagnostiquer un déficit neurologique récent.
Identifier les situations d’urgence.
Connaître leur prise en charge.
Identifier les situations d’urgence.
Connaître leur prise en charge.
Le déficit neurologique récent (moins d’un mois) est fréquemment rencontré en pratique clinique par les neurologues mais aussi par les médecins généralistes et les urgentistes. Le défi est, dans un premier temps, d’éliminer les urgences diagnostiques et thérapeutiques par la réalisation d’examens complémentaires guidés par la suspicion diagnostique à l’issue de l’examen clinique. La priorité est d’éliminer une urgence neurologique. Cet article de synthèse exclut les causes non neurologiques des déficits brutaux (métaboliques, toxiques, psychiatriques, impotence fonctionnelle, vertiges, ORL…) et la souffrance globale du cerveau (perte de connaissance, comas, syndrome confusionnel), qui sont des diagnostics différentiels.
Définition
Un déficit neurologique récent (moins d’un mois) correspond à la diminution ou perte d’une ou plusieurs fonctions neurologiques, motrice, sensitive, visuelle, cognitive, ou liées à la coordination des mouvements ou à l’atteinte d’une ou plusieurs paires crâniennes.
Interrogatoire
Devant un déficit neurologique récent, l’interrogatoire doit être policier (tableau 1 ) et s’attacher dans un premier temps à déterminer le terrain du patient : sexe et âge, antécédents, facteurs de risque cardiovasculaire, traitements en cours, notamment antithrombotiques. Il est primordial de recueillir les symptômes dont se plaignent les patients ou rapportés par l’entourage : déficit hémicorporel, trouble du langage, trouble de la mémoire, diplopie, vertiges, troubles visuels…
Le mode de début et le profil évolutif sont des éléments notables pouvant orienter vers une cause.
Un début brutal est un signal d’alarme devant faire évoquer un accident vasculaire cérébral (AVC) et faire activer les filières de prise en charge spécifiques, car il existe des traitements d’autant plus efficaces qu’ils sont réalisés précocement.
Un déficit rapidement progressif, habituellement en quelques minutes, évoque une aura migraineuse - notamment quand il est associé à des céphalées - ou une crise d’épilepsie partielle (Bravais-Jacksonienne).
L’installation d’un déficit sensitif et/ou moteur, progressif, débutant en distalité, ascendant doit faire redouter un syndrome de Guillain-Barré.
Des troubles du comportement, une confusion, une obnubilation rapidement progressive font craindre une méningo-encéphalite herpétique ou bactérienne.
L’installation progressive sur plusieurs jours, voire semaines, en tache d’huile oriente plutôt vers un processus expansif (tumeur, abcès, hématome sous-dural).
Un déficit persistant ou régressif, fluctuant, avec aggravation vespérale ou à l’effort est évocateur d’une pathologie de la jonction neuromusculaire.
Le mode de début et le profil évolutif sont des éléments notables pouvant orienter vers une cause.
Un début brutal est un signal d’alarme devant faire évoquer un accident vasculaire cérébral (AVC) et faire activer les filières de prise en charge spécifiques, car il existe des traitements d’autant plus efficaces qu’ils sont réalisés précocement.
Un déficit rapidement progressif, habituellement en quelques minutes, évoque une aura migraineuse - notamment quand il est associé à des céphalées - ou une crise d’épilepsie partielle (Bravais-Jacksonienne).
L’installation d’un déficit sensitif et/ou moteur, progressif, débutant en distalité, ascendant doit faire redouter un syndrome de Guillain-Barré.
Des troubles du comportement, une confusion, une obnubilation rapidement progressive font craindre une méningo-encéphalite herpétique ou bactérienne.
L’installation progressive sur plusieurs jours, voire semaines, en tache d’huile oriente plutôt vers un processus expansif (tumeur, abcès, hématome sous-dural).
Un déficit persistant ou régressif, fluctuant, avec aggravation vespérale ou à l’effort est évocateur d’une pathologie de la jonction neuromusculaire.
Examen clinique
La recherche de signes de gravité clinique est la première étape, car elle conditionne le type de prise en charge :
Il est également nécessaire de rechercher une désorientation temporospatiale, un trouble du langage, un syndrome cérébelleux, une atteinte des paires crâniennes, des troubles vésicosphinctériens, une anomalie du champ visuel ou de l’oculomotricité.
Déterminer la topographie du déficit est nécessaire pour distinguer une atteinte du système nerveux central d’une atteinte du système nerveux périphérique (tableau 1 ). La présence d’un déficit moteur unilatéral ou bilatéral (hémiparésie, hémiplégie, paraparésie ou tétraparésie), de troubles sensitifs (niveau sensitif, hypoesthésie, dysesthésies systématisées), d’un trouble du langage (aphasie, dysarthrie), d’un trouble du champ visuel (hémianopsie latérale homonyme, quadranopsie), d’un trouble de la conscience, de troubles neuropsychologiques (cognitifs, mnésique, apraxie, négligence, troubles du comportement, par exemple) sont évocateurs d’une origine centrale. L’origine périphérique est privilégiée devant des troubles sensitifs ou moteurs systématisés à une ou plusieurs racines, à un ou plusieurs troncs nerveux. Une atteinte des membres inférieurs ou des quatre membres à l’interrogatoire ne permet pas, si elle est isolée, de distinguer une atteinte centrale (comme un infarctus du tronc cérébral ou une atteinte médullaire) d’une atteinte périphérique (comme un syndrome de Guillain-Barré), et c’est souvent l’examen physique qui est déterminant.
- état de vigilance avec détermination du score de Glasgow ;
- score NIHSS en cas de suspicion d’accident vasculaire cérébral (tableau 2) ;
- prise des constantes, à la recherche d’une instabilité hémodynamique ou de fièvre ;
- syndrome méningé (pour la méningo-encéphalite) ;
- signes d’hypertension intracrânienne, que l’on peut retrouver notamment dans la thrombose veineuse cérébrale et la pathologie tumorale : céphalées, diplopie, éclipses visuelles.
Il est également nécessaire de rechercher une désorientation temporospatiale, un trouble du langage, un syndrome cérébelleux, une atteinte des paires crâniennes, des troubles vésicosphinctériens, une anomalie du champ visuel ou de l’oculomotricité.
Déterminer la topographie du déficit est nécessaire pour distinguer une atteinte du système nerveux central d’une atteinte du système nerveux périphérique (
Examens complémentaires
Ils doivent être orientés par l’examen clinique. Le délai de réalisation des examens est conditionné par l’urgence diagnostique : devant une suspicion d’accident vasculaire cérébral récent, par exemple, l’imagerie cérébrale doit être réalisée sans délai, comme cela a été déterminé par les recommandations des sociétés savantes.
L’imagerie cérébrale ou médullaire occupe souvent le premier rang en cas de suspicion d’atteinte centrale, soit par scanner, soit de plus en plus par imagerie par résonance magnétique (IRM). L’IRM cérébrale (séquences de diffusion, ADC, FLAIR, T2* ou SWI, ARM-TOF [séquence TOF (time of flight) d’angiographie par résonance magnétique] ± IRM de perfusion) avec ARM-TOF (avec parfois des séquences veineuses en cas de suspicion de thrombose veineuse cérébrale) devient l’examen de référence (HAS 2009) de première intention pour explorer un déficit neurologique récent évoquant un accident vasculaire cérébral.
Si l’imagerie n’est pas contributive, la ponction lombaire est l’examen auquel il faut souvent avoir recours (après avoir éliminé une contre-indication telle qu’un processus expansif avec effet de masse), soit en urgence si l’on suspecte une méningo-encéphalite (à la recherche d’une réaction cellulaire témoignant d’une méningite et d’un agent infectieux bactérien comme la Listeria, ou viral comme les infections herpétiques) ou une polyradiculonévrite aiguë (à la recherche d’une dissociation albuminocytologique), soit en urgence différée lors de la suspicion d’un premier événement démyélinisant (à la recherche d’une distribution oligoclonale des immunoglobulines).
Quand une origine neurovasculaire est suspectée, des explorations cardiovasculaires sont indispensables :
La symptomatologie peut également nécessiter de recourir à d’autres professionnels de santé en faisant réaliser des explorations ophtalmologiques quand la symptomatologie est visuelle (baisse d’acuité visuelle ou hypertension intracrânienne) ou des explorations ORL, notamment devant un vertige d’allure périphérique.
L’imagerie cérébrale ou médullaire occupe souvent le premier rang en cas de suspicion d’atteinte centrale, soit par scanner, soit de plus en plus par imagerie par résonance magnétique (IRM). L’IRM cérébrale (séquences de diffusion, ADC, FLAIR, T2* ou SWI, ARM-TOF [séquence TOF (time of flight) d’angiographie par résonance magnétique] ± IRM de perfusion) avec ARM-TOF (avec parfois des séquences veineuses en cas de suspicion de thrombose veineuse cérébrale) devient l’examen de référence (HAS 2009) de première intention pour explorer un déficit neurologique récent évoquant un accident vasculaire cérébral.
Si l’imagerie n’est pas contributive, la ponction lombaire est l’examen auquel il faut souvent avoir recours (après avoir éliminé une contre-indication telle qu’un processus expansif avec effet de masse), soit en urgence si l’on suspecte une méningo-encéphalite (à la recherche d’une réaction cellulaire témoignant d’une méningite et d’un agent infectieux bactérien comme la Listeria, ou viral comme les infections herpétiques) ou une polyradiculonévrite aiguë (à la recherche d’une dissociation albuminocytologique), soit en urgence différée lors de la suspicion d’un premier événement démyélinisant (à la recherche d’une distribution oligoclonale des immunoglobulines).
Quand une origine neurovasculaire est suspectée, des explorations cardiovasculaires sont indispensables :
- écho-Doppler des troncs supra-aortiques, à la recherche d’une sténose ou d’une occlusion d’une artère cervicale d’origine athéromateuse ou liées à une dissection des artères cervicales ;
- angioscanner cérébral ou ARM des troncs supra-aortiques pour rechercher une sténose, une occlusion, une dissection, un thrombus ;
- séquence FAT-SAT en IRM pour mettre en évidence l’hématome de paroi dans une dissection des troncs supra-aortiques ;
- Doppler transcrânien, à la recherche d’un retentissement hémodynamique d’une sténose extracrânienne, d’une sténose intracrânienne, d’accélérations diffuses évocatrices d’une angiopathie ;
- échographie cardiaque transthoracique ou transœsophagienne, à la recherche d’une cardiopathie emboligène ;
- holter ECG (électrocardiogramme), pour traquer un trouble du rythme emboligène tel qu’une fibrillation atriale.
La symptomatologie peut également nécessiter de recourir à d’autres professionnels de santé en faisant réaliser des explorations ophtalmologiques quand la symptomatologie est visuelle (baisse d’acuité visuelle ou hypertension intracrânienne) ou des explorations ORL, notamment devant un vertige d’allure périphérique.
Urgences neurovasculaires, première cause de déficit neurologique récent
L’accident vasculaire cérébral est la première cause à évoquer devant tout déficit neurologique récent brutal, car il est fréquent (150 000 nouveaux cas par an en France) et peut être lourd de conséquences (première cause de handicap). Cependant, le diagnostic n’est pas toujours aisé, avec un taux de diagnostic différentiel d’accident vasculaire cérébral, ou « stroke mimic », lors d’un déficit neurologique brutal récent qui peut aller jusqu’à un tiers des cas.
L’accident vasculaire cérébral est une urgence diagnostique et thérapeutique puisqu’il existe des traitements de recanalisation à la phase aiguë, à savoir la fibrinolyse et la thrombectomie mécanique, dont la fenêtre thérapeutique est étroite et qui sont d’autant plus efficaces que leur réalisation est précoce (v.Focus ). La suspicion d’accident vasculaire cérébral récent nécessite une imagerie systématique en urgence, en privilégiant l’IRM cérébrale (recommandations de la HAS 2009). L’imagerie cérébrale permet de distinguer une ischémie d’une hémorragie cérébrale mais aussi d’un autre diagnostic pouvant mimer à tort un accident vasculaire cérébral, comme une tumeur cérébrale ou, en cas d’imagerie normale, une migraine avec aura, une épilepsie ou une origine fonctionnelle des symptômes. Contrairement à l’IRM cérébrale, le scanner peut rester normal dans les vingt-quatre premières heures d’un infarctus cérébral, voire méconnaître les lésions de petite taille ou des infarctus sous-tentoriels.
Les accidents vasculaires cérébraux comprennent les accidents ischémiques transitoires (AIT), les infarctus cérébraux, les hémorragies intracrâniennes non traumatiques, et les œdèmes vasogéniques secondaires aux thrombophlébites cérébrales.
L’accident vasculaire cérébral est une urgence diagnostique et thérapeutique puisqu’il existe des traitements de recanalisation à la phase aiguë, à savoir la fibrinolyse et la thrombectomie mécanique, dont la fenêtre thérapeutique est étroite et qui sont d’autant plus efficaces que leur réalisation est précoce (v.
Les accidents vasculaires cérébraux comprennent les accidents ischémiques transitoires (AIT), les infarctus cérébraux, les hémorragies intracrâniennes non traumatiques, et les œdèmes vasogéniques secondaires aux thrombophlébites cérébrales.
Accident ischémique transitoire
L’AIT est un épisode bref de dysfonction neurologique dû à une ischémie focale cérébrale ou rétinienne dont les symptômes cliniques durent typiquement moins d’une heure sans preuve d’infarctus aigu sur l’IRM cérébrale (séquence de diffusion normale) [recommandations de la HAS sur l’accident ischémique transitoire].
L’accident ischémique transitoire est un signal d’alarme, c’est une urgence diagnostique et thérapeutique, puisque, parmi les patients qui présentent un infarctus cérébral, un tiers avait connu un déficit transitoire durant la semaine précédant le déficit définitif. Le risque de présenter un infarctus cérébral après un accident ischémique transitoire est majeur dans les quarante-huit heures qui suivent le déficit initial (v . Focus sur les déficits neurologiques transitoires).
L’accident ischémique transitoire est un signal d’alarme, c’est une urgence diagnostique et thérapeutique, puisque, parmi les patients qui présentent un infarctus cérébral, un tiers avait connu un déficit transitoire durant la semaine précédant le déficit définitif. Le risque de présenter un infarctus cérébral après un accident ischémique transitoire est majeur dans les quarante-huit heures qui suivent le déficit initial (
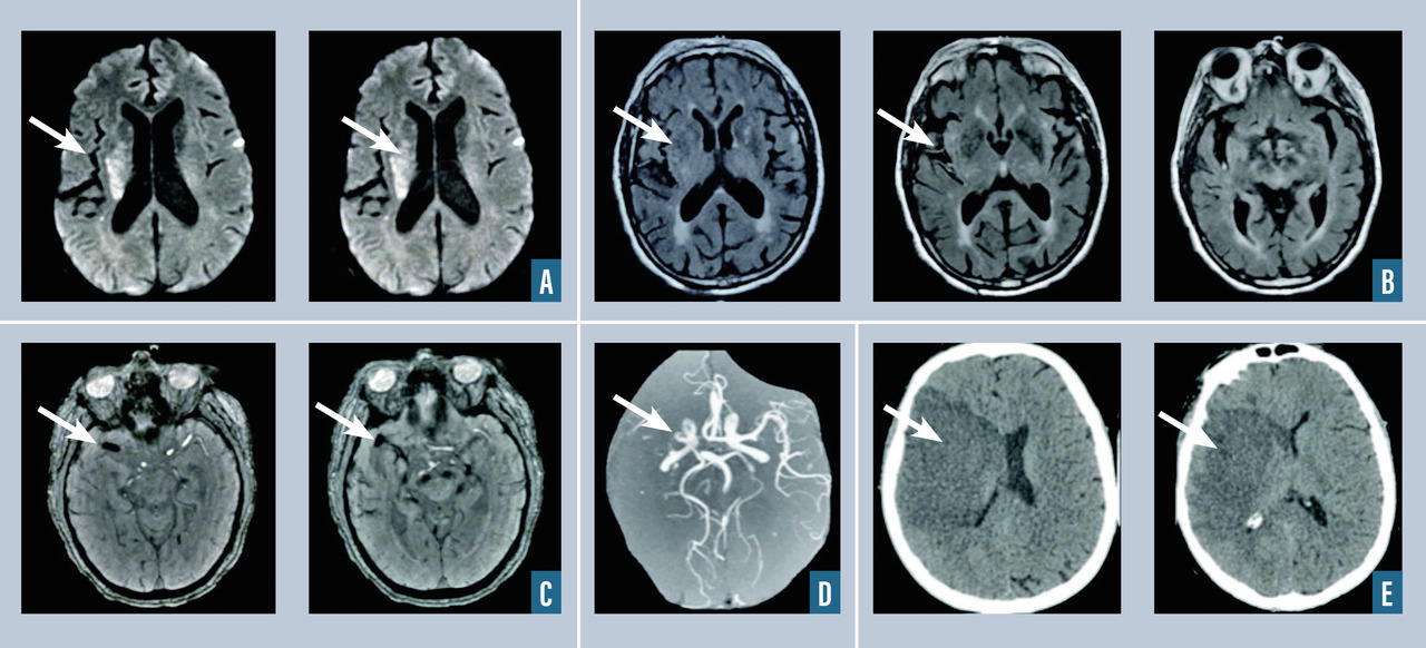
Infarctus cérébral
L’infarctus cérébral (fig. 1 ) correspond à un foyer circonscrit de nécrose ischémique due à l’interruption brutale de l’apport sanguin artériel par occlusion d’une artère cérébrale ou à destination cérébrale. On distingue deux types de mécanisme : l’occlusion thromboembolique (embolie du système artériel, embolie cardiaque, thrombose artérielle in situ) ou, plus rarement, des phénomènes hémodynamiques de bas débit cérébral (sur une sténose, sur un arrêt cardiaque en peropératoire). On dispose de traitement de recanalisation (chimique [thrombolyse intraveineuse] et mécanique [thrombectomie mécanique]) à fenêtre thérapeutique étroite, et d’autant plus efficace que réalisé le plus tôt possible par rapport à l’apparition des symptômes, nécessitant une prise en charge dans des filières organisées autour des unités neurovasculaires (v. Focus sur les filières de prise en charge et la thrombolyse). En effet, depuis 2004, on peut avoir recours à la fibrinolyse par rt-PA dans les infarctus cérébraux de moins de vingt-quatre heures. En 2015, les sociétes savantes neurovasculaire et de neuroradiologie ont validé le recours à la thrombectomie mécanique avec (thrombolyse combinée) ou sans (thrombectomie mécanique seule) thrombolyse intraveineuse dans les infarctus cérébraux secondaires à une occlusion proximale (carotide interne intracrânienne, artère cérébrale moyenne portion M1 et M2 proximale) dans les six heures puis dans les vingt-quatre heures suivant le début des symptômes pour certains patients sélectionnés par l’IRM de perfusion. La prise en charge des accidents vasculaires cérébraux à la phase précoce a fait l’objet de recommandations de la HAS en 2009 et les sociétés savantes (SFNV, ESO) mettent régulièrement à jour les recommandations sur la prise en charge de l'AVC à la phase aiguë et en prévention secondaire. L’IRM cérébrale avec séquences de diffusion, FLAIR, T2* et ARM-TOF est l’examen de référence pour le diagnostic d’infarctus cérébral récent (hypersignal en diffusion, qui devient visible après 4 à 6 heures en FLAIR), d’occlusion artérielle (ARM-TOF). Elle permet également d’éliminer une hémorragie (T2*). Le recours à l’IRM de perfusion permet de sélectionner, via un logiciel de lecture automatisé, les patients pouvant bénéficier d’une thrombectomie mécanique entre six et vingt-quatre heures après le début des symptômes. Les causes des infarctus cérébraux sont dans 30 % des cas athérothrombotiques, dans 20 % cardio-emboliques (fibrillation atriale), dans 20 % d’origine lacunaire dans le cadre d’une maladie des petites artères. Dans 25 % des cas, la cause reste indéterminée à l’issue du bilan.
Hématomes intraparenchymateux
L’hématome intracérébral est une collection de sang consécutive à la rupture d’un vaisseau intracrânien (fig. 2 ). L’hypertension artérielle est la première cause, et l’hémorragie est alors très souvent localisée au niveau des noyaux gris centraux. Lorsque l’hémorragie est située en superficie, elle est dite lobaire, et après 50 ans, le diagnostic d’angiopathie amyloïde est fréquemment rencontré après exclusion des autres diagnostics (tumeurs, traumatisme…). Une autre cause est la rupture d’une malformation vasculaire, que ce soit une malformation artérioveineuse, un anévrisme ou un cavernome. Parmi les autres causes, on cite la thrombophlébite cérébrale et les troubles de la coagulation spontanés ou iatrogènes (traitements antithrombotiques). Le scanner cérébral, qui est l’examen de référence en cas d’hémorragie cérébrale, met en évidence une plage en hyperdensité et est le plus souvent complété par un scanner cérébral avec injection et un angioscanner cérébral à visée étiologique (recherche de tumeur, de malformation vasculaire, de thrombose veineuse cérébrale). L’IRM cérébrale avec ARM peut être intéressante lorsque le scanner n’est pas contributif pour rechercher une cause de l’hémorragie (stigmates de maladies des petites artères liées à l'âge et à l'hypertension artérielle, angiopathie amyloïde, tumeur cérébrale). En l’absence de cause retrouvée à la phase aiguë, l’IRM cérébrale injectée doit être réitérée à trois mois pour s’assurer de l’absence de lésion sous-jacente. Le recours à l’artériographie cérébrale est fréquent dans le cadre du bilan étiologique de l’hématome du sujet jeune, en l’absence de cause évidente.
Thromboses veineuses cérébrales
La thrombose veineuse cérébrale correspond à l’occlusion d’un ou de plusieurs sinus veineux cérébraux et/ou des veines corticales (fig. 3 ). On distingue la thrombose veineuse cérébrale sans lésion parenchymateuse, responsable d’un tableau d’hypertension intracrânienne, et la thrombose veineuse cérébrale avec œdème cérébral (« infarctus veineux ») ou avec hématome cérébral, responsable d’une présentation clinique souvent bruyante pouvant associer des convulsions, un déficit neurologique focal, voire un coma. L’imagerie cérébrale met en évidence des signes directs de thrombose sous la forme d’une hyperdensité spontanée du sinus ou de la veine sur le scanner cérébral sans injection (signe du sinus spontanément hyperdense ou de la corde dense) ou en montrant sur l’IRM un hypersignal en T1 et en T2 du sinus thrombosé. Les séquences injectées veineuses (en IRM ou en angioscanner) montrent l’absence d’opacification ou l’opacification partielle du sinus occlus du fait de la présence du thrombus. L’IRM cérébrale avec séquences veineuses (VRM) et l’angioscanner veineux ont actuellement une sensibilité et une spécificité relativement proches pour le diagnostic de thrombose veineuse cérébrale. Les signes indirects de thrombose veineuse cérébrale sont la présence d’un « infarctus veineux » ou d’une hémorragie cérébrale ou méningée sulcale, qui sont des conséquences possibles de la thrombose veineuse cérébrale.
Angiopathie cérébrale : syndrome de vaso-constriction cérébrale réversible et syndrome d’encéphalopathie cérébrale postérieure réversible
Le syndrome de vasoconstriction cérébrale réversible (SVCR), qui associe une vasoconstriction artérielle cérébrale diffuse et segmentaire réversible en trois à six mois, peut se manifester par des céphalées intenses, souvent en coup de tonnerre, associées ou non à des déficits neurologiques focaux secondaires à des infarctus cérébraux, des hématomes intraparenchymateux ou à un œdème vasogénique postérieur (posterior reversible encephalopathy syndrome [PRES]). Des crises épileptiques ont aussi été décrites. Il y a des formes idiopathiques ou secondaires à la consommation de drogues ou de substances vasoactives (par exemple cannabis, inhibiteurs sélectifs de la recapture de la sérotonine ou vasoconstricteurs nasaux) ou survenant durant la période du post-partum.
Les poussées d’hypertension artérielle et l’éclampsie peuvent être responsables d’un œdème cérébral postérieur (PRES) se révélant par un déficit neurologique.
Les poussées d’hypertension artérielle et l’éclampsie peuvent être responsables d’un œdème cérébral postérieur (PRES) se révélant par un déficit neurologique.
Urgences non neurovasculaires
Déficits neurologiques fébriles
Un déficit neurologique dans un contexte fébrile est une urgence et doit faire redouter un abcès intracérébral, un empyème, une encéphalite, une méningo-encéphalite ou un infarctus cérébral secondaire à des emboles mycotiques sur endocardite infectieuse. L’imagerie cérébrale sans et avec injection est systématique avant toute autre exploration devant l’existence d’un signe de localisation, à la recherche d’abcès ou de lésion parenchymateuse, bien souvent complétée par une ponction lombaire en l’absence de syndrome tumoral avec effet de masse. La présence de globules blancs (> 5/mm3) dans le liquide céphalorachidien permet de poser le diagnostic de méningite. Une culture bactérienne et la réalisation d’une polymerase chain reaction (PCR) herpès sont assez systématiques, les autres recherches devant être orientées par le contexte clinique (mycobactéries, listériose, cryptococcose, virus JC ou aspergillose si immunodépression).
Une suspicion de méningo-encéphalite ou d’encéphalite bactérienne (méningocoque et pneumocoque) ou herpétique doit conduire à introduire un traitement probabiliste jusqu’à réception des résultats de la ponction lombaire (recommandations Société de pathologie infectieuse de langue française).
La méningo-encéphalite herpétique est l’encéphalite nécrosante la plus fréquente. Son incidence varie de 1 à 3 cas par million d’habitants et par an. La mortalité, en l’absence de traitement, est supérieure à 70 %. La symptomatologie peut associer des céphalées, de la fièvre, des troubles de la conscience, des convulsions, une confusion, des troubles du langage et du comportement. Le liquide céphalorachidien est anormal dans 95 % des cas, avec une hyperprotéinorachie modérée (0,8-1 g/L), une normoglycorachie, une pléiocytose à prédominance lymphocytaire. Le diagnostic se fait actuellement sur la PCR HSV (sensibilité 98 %, spécificité 94 %). L’IRM cérébrale met en évidence des hypersignaux en séquence T2, en diffusion et en FLAIR dès les premières quarante-huit heures d’évolution des lobes frontaux et temporaux. Le traitement est une urgence et repose sur l’aciclovir par voie veineuse à la dose de 10 mg/kg/8 heures (recommandations de la Société française d’anesthésie et de réanimation).
Une suspicion de méningo-encéphalite ou d’encéphalite bactérienne (méningocoque et pneumocoque) ou herpétique doit conduire à introduire un traitement probabiliste jusqu’à réception des résultats de la ponction lombaire (recommandations Société de pathologie infectieuse de langue française).
La méningo-encéphalite herpétique est l’encéphalite nécrosante la plus fréquente. Son incidence varie de 1 à 3 cas par million d’habitants et par an. La mortalité, en l’absence de traitement, est supérieure à 70 %. La symptomatologie peut associer des céphalées, de la fièvre, des troubles de la conscience, des convulsions, une confusion, des troubles du langage et du comportement. Le liquide céphalorachidien est anormal dans 95 % des cas, avec une hyperprotéinorachie modérée (0,8-1 g/L), une normoglycorachie, une pléiocytose à prédominance lymphocytaire. Le diagnostic se fait actuellement sur la PCR HSV (sensibilité 98 %, spécificité 94 %). L’IRM cérébrale met en évidence des hypersignaux en séquence T2, en diffusion et en FLAIR dès les premières quarante-huit heures d’évolution des lobes frontaux et temporaux. Le traitement est une urgence et repose sur l’aciclovir par voie veineuse à la dose de 10 mg/kg/8 heures (recommandations de la Société française d’anesthésie et de réanimation).
Compression médullaire
L’urgence absolue est représentée par la compression médullaire et doit être évoquée devant :
Les diagnostics différentiels de la compression médullaire sont l’ischémie médullaire et les myélites (inflammatoires, infectieuses ou métaboliques).
- un syndrome lésionnel indiquant le niveau de la compression (douleur radiculaire, déficit radiculaire) ;
- un niveau sensitif correspondant à la limite supérieure de l’atteinte sensitive ;
- un syndrome sous-lésionnel (déficit sensitif, déficit moteur, signes d’irritation pyramidale, hypertonie pyramidale, troubles sphinctériens) ;
- un syndrome douloureux rachidien, souvent absent.
Les diagnostics différentiels de la compression médullaire sont l’ischémie médullaire et les myélites (inflammatoires, infectieuses ou métaboliques).
Causes périphériques urgentes
Syndrome de Guillain-Barré
Il s’agit d’une polyradiculonévrite aiguë, avec une incidence de 1 pour 100 000, et évoluant en trois phases : extension, plateau, récupération. La phase d’extension dure moins de quatre semaines mais elle est souvent de quelques jours (et peut être inférieure à un jour).Les manifestations sont sensitives, ascendantes (paresthésies, dysesthésies distales des quatre membres, douleurs) et/ou motrices (parésie débutant aux membres inférieurs, relativement symétrique, étendue et sévère, qui prédomine en proximal), ou plus rarement atteinte des nerfs crâniens (facial, oculomoteur, dysphagie). La gravité repose dans l’atteinte respiratoire et de la musculature bulbaire (troubles de la déglutition ou de la phonation).
Le diagnostic repose sur la clinique, l’électroneuro-myogramme (allongement des latences des ondes F, puis signes de démyélinisation) et la ponction lombaire (dissociation albuminocytologique).
Syndrome de la queue de cheval
Il correspond à la souffrance des racines de la queue de cheval en dessous du cône terminal de la moelle spinale. Cliniquement, on observe un syndrome neurogène périphérique pluriradiculaire touchant les membres inférieurs et le périnée, avec troubles sphinctériens.Toute suspicion doit faire réaliser en urgence une IRM médullaire, à la recherche d’une compression de la queue de cheval, nécessitant une prise en charge neurochirurgicale.
Autres causes fréquentes de déficit neurologique à connaître
Processus expansifs
Ce diagnostic est à redouter devant un déficit neurologique en tache d’huile, progressif, avec un tableau d’hypertension intracrânienne, une obnubilation progressive ou des crises d’épilepsie. Une imagerie cérébrale avec et sans injection est nécessaire, à la recherche d’un processus expansif et de signes de gravité (déviation de la ligne médiane, engagement, hydrocéphalie) qui nécessiteraient une prise en charge en urgence.Hématomes sous- et extraduraux
Les hématomes sous-duraux sont à craindre chez les sujets âgés, sous traitement antithrombotique, ou chez les patients alcooliques qui, à l’occasion d’une chute ou d’un traumatisme ou spontanément, développent des céphalées, un déficit neurologique progressif, des crises d’épilepsie. Le diagnostic est porté par scanner cérébral sans injection qui montre une hyperdensité spontanée sous- ou extradurale.Causes inflammatoires
La principale cause est représentée par la poussée de sclérose en plaques, notamment chez le sujet jeune. La sclérose en plaques est une maladie inflammatoire chronique du système nerveux central, évoluant le plus souvent par poussées du fait de l’apparition de plaques de démyélinisation du système nerveux central. Les poussées peuvent donner un déficit neurologique focal d’apparition brutale ou progressive. Le diagnostic repose avant tout sur la dissémination temporospatiale des lésions sur le plan clinique et sur l’IRM cérébrale et médullaire avec injection de gadolinium (critères révisés de McDonald 2017). La ponction lombaire est utile pour éliminer les diagnostics différentiels et mettre en évidence la synthèse intrathécale d’immunoglobulines.Conclusion
La conduite à tenir (fig. 4 ) face à un déficit neurologique récent doit être connue, notamment du fait de sa gravité potentielle et de la possibilité d’envisager un traitement en urgence, comme cela peut être le cas lors d’un accident vasculaire cérébral, d’une compression médullaire ou du syndrome de la queue de cheval, d’un syndrome de Guillain-Barré et d’une méningo-encéphalite herpétique.
- une pathologie neurovasculaire (accident ischémique transitoire, infarctus cérébral, hématome cérébral, thrombose veineuse cérébrale, ischémie médullaire) ;
- une compression médullaire ;
- un syndrome de Guillain-Barré (polyradiculonévrite aiguë) ;
- un déficit neurologique fébrile.
Points forts
Déficit neurologique récent
Déficit neurologique brutal : un défi diagnostique très fréquent.
Causes multiples nécessitant une démarche diagnostique étiologique claire et standardisée.
Quatre urgences à connaître et à ne pas méconnaître :
Pour en savoir plus
Monographie AVC du sujet jeune. Rev Prat 2013; 63(7):925-68.
AVC du sujet âgé. Rev Prat 2012;62(9):1217-45.
HAS. Accident vasculaire cérébral : prise en charge précoce (alerte, phase préhospitalière, phase hospitalière initiale, indications de la thrombolyse). Mai 2009.
ANAES. Prise en charge diagnostique et traitement immédiat de l’accident ischémique transitoire de l’adulte. Mai 2004.
Mazighi M, Cognard C. Place de la thrombectomie mécanique dans la prise en charge à la phase aiguë de l'infarctus cérébral par occlusion des artères de la circulation antérieure. Pratiques neurologiques. 2015.
Mise à jour. Hoen B, et al. Management of acute community-acquired bacterial meningitis (excluding newborns). Long version with arguments. Med Mal Infect, 2019.
AVC du sujet âgé. Rev Prat 2012;62(9):1217-45.
HAS. Accident vasculaire cérébral : prise en charge précoce (alerte, phase préhospitalière, phase hospitalière initiale, indications de la thrombolyse). Mai 2009.
ANAES. Prise en charge diagnostique et traitement immédiat de l’accident ischémique transitoire de l’adulte. Mai 2004.
Mazighi M, Cognard C. Place de la thrombectomie mécanique dans la prise en charge à la phase aiguë de l'infarctus cérébral par occlusion des artères de la circulation antérieure. Pratiques neurologiques. 2015.
Mise à jour. Hoen B, et al. Management of acute community-acquired bacterial meningitis (excluding newborns). Long version with arguments. Med Mal Infect, 2019.