Des causes différentes selon les groupes avec des prises en charges spécifiques
L’hypertension pulmonaire (HTP) se définit par une élévation permanente des pressions artérielles pulmonaires, qui peut être la conséquence d’une maladie vasculaire pulmonaire (HTP précapillaire), d’une augmentation passive des pressions liée à une cardiopathie gauche (HTP post-capillaire) ou liée à un hyperdébit cardiaque isolé. Les experts du réseau français de l’HTP (PulmoTension) présentent ici les points clés des recommandations conjointes des Sociétés européennes de pneumologie (European Respiratory Society) et de cardiologie (European Society of Cardiology), ainsi que les actualités concernant la définition hémodynamique, la classification, le diagnostic et la prise en charge de l’HTP. Une attention particulière est accordée aux situations fréquentes d’HTP, telles que l’HTP associée aux cardiopathies gauches et aux maladies respiratoires chroniques, et à l’HTP thromboembolique chronique qui a fait l’objet d’avancées thérapeutiques majeures ces dernières années.
Au sommaire
Nouvelles définition et classification de l’hypertension pulmonaire
Publié le 20 Janvier 2025 || La Revue du Praticien || 75(1):32-5
L’hypertension pulmonaire (HTP) est une manifestation clinique d’un groupe hétérogène de pathologies caractérisées par une pression artérielle pulmonaire moyenne (PAPm) anormalement élevée, mesurée par cathétérisme cardiaque droit (CCD).1 L’échocardiographie demeure le principal outil de dépistage permettant de suspecter une HTP,…
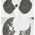
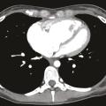
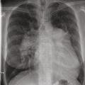
Dépistage et diagnostic de l’hypertension pulmonaire
Publié le 20 Janvier 2025 || La Revue du Praticien || 75(1):36-42
Sous le terme « hypertension pulmonaire » (HTP) est regroupé un ensemble de pathologies caractérisées par une élévation progressive des résistances vasculaires pulmonaires (RVP) pouvant aboutir à une insuffisance cardiaque droite.1,2 Son diagnostic est souvent tardif, du fait de symptômes non spécifiques. Cet article s’intéresse aux…
Algorithme de prise en charge de l’hypertension artérielle pulmonaire
Publié le 20 Janvier 2025 || La Revue du Praticien || 75(1):43-9
L’hypertension artérielle pulmonaire (HTAP) est une maladie rare caractérisée par un remodelage intense des artères pulmonaires musculaires de petit calibre aboutissant à l’élévation des résistances vasculaires pulmonaires (RVP) et de la pression artérielle pulmonaire (PAP), avec pour conséquences l’apparition d’une insuffisance…
Hypertension pulmonaire associée aux cardiopathies gauches
Publié le 20 Janvier 2025 || La Revue du Praticien || 75(1):50-5
Chez les patients porteurs d’une insuffisance cardiaque (IC) gauche, la présence d’une hypertension pulmonaire (HTP), qui n’est pas une maladie mais une situation hémodynamique, est fréquente et est dite « post-capillaire » (HTPpc ou groupe 2 de la classification mondiale), au contraire des autres formes d’HTP.1
Hypertension pulmonaire associée aux maladies respiratoires chroniques
Publié le 20 Janvier 2025 || La Revue du Praticien || 75(1):56-9
L’hypertension pulmonaire (HTP) associée aux maladies respiratoires chroniques est fréquente chez les patients présentant une bronchopneumopathie chronique obstructive (BPCO) avec ou sans emphysème, une pneumopathie interstitielle diffuse (PID), un syndrome emphysème-fibrose ou encore une hypoventilation alvéolaire. Ces HTP…
Hypertension pulmonaire thromboembolique chronique
Publié le 20 Janvier 2025 || La Revue du Praticien || 75(1):60-4
L’hypertension pulmonaire thromboembolique chronique (HTP-TEC) est une forme d’hypertension pulmonaire liée, d’une part, à une obstruction chronique des artères pulmonaires par du matériel fibreux, et, d’autre part, à une microvasculopathie secondaire. Elle survient le plus souvent après une ou plusieurs embolies pulmonaires (EP)…
Hypertension pulmonaire : les 10 messages-clés
Publié le 20 Janvier 2025 || La Revue du Praticien || 75(1):65
L’hypertension pulmonaire (HTP) est définie hémodynamiquement par une élévation de la pression artérielle pulmonaire moyenne (PAPm) au-dessus de 20 mmHg mesurée par cathétérisme cardiaque droit. On parle d’HTP précapillaire en cas de pression artérielle pulmonaire d’occlusion normale (PAPO ≤ 15 mmHg) et d’augmentation…
L’hypertension pulmonaire (HTP) est définie hémodynamiquement par une élévation de la pression artérielle pulmonaire moyenne (PAPm) au-dessus de 20 mmHg mesurée par cathétérisme cardiaque droit