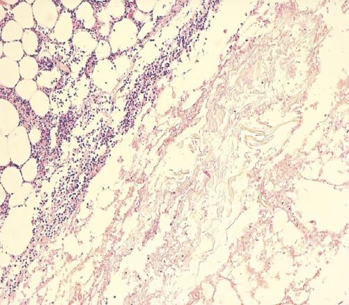
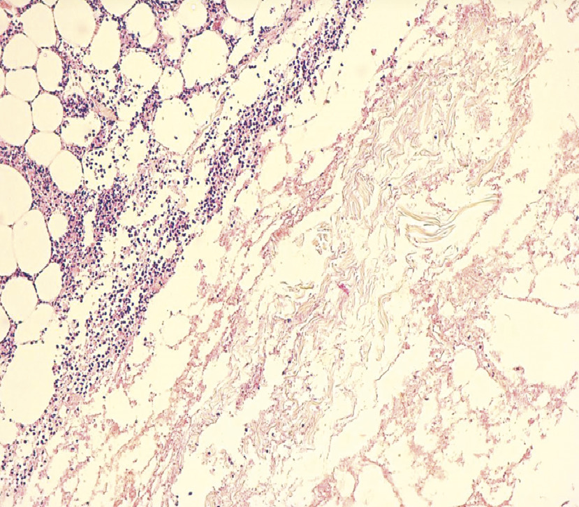
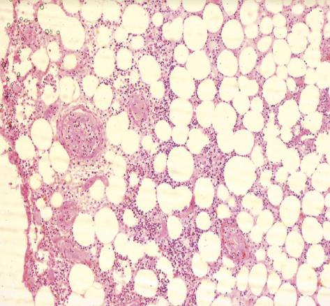
Cette femme de 70 ans, de faible niveau socio-économique, obèse et diabétique de type 2 depuis 20 ans et sous insuline depuis 10 ans, consultait aux urgences pour une douleur de la fosse iliaque gauche. Elle était consciente, tachycarde, fébrile (39,5 °C), et sa glycémie capillaire était à 1,8 g/dL sans cétose. L’examen abdominal notait un placard érythémato-érosif chaud de la fosse iliaque gauche centré par une nécrose bien limitée en carte de géographie (fig. 1 ). La patiente rapportait avoir injecté l’insuline à ce même endroit depuis 3 ans. Le bilan biologique montrait une glycémie à 1,6 g/dL, une hyperleucocytose à 14 500/mm3, une CRP à 130 mg/L et une procalcitonine normale. L’échographie et la tomodensitométrie abdominale montraient un épaississement de la paroi abdominale sans abcès ni collections profondes. Le diagnostic retenu était celui de fasciite nécrosante. Cette patiente était traitée par une antibiothérapie à large spectre avec mise à plat et excision large. L’histologie mettait en évidence des thromboses septiques (fig. 2 ) ainsi qu’une nécrose étendue du derme (fig. 3 ).
La fasciite nécrosante est une infection rare des tissus cutanés, superficiels ou profonds. L’augmentation de son incidence est en hausse à la suite de l’augmentation de la prévalence de quelques facteurs de risque, notamment le déséquilibre glycémique et l’obésité.1 Le taux de mortalité de cette infection est élevé, avec une progression rapide vers le choc septique et la défaillance multiviscérale.2 L’infection peut être fatale et nécessite une prise en charge médico-chirurgicale en urgence. La localisation abdominale de la fasciite nécrosante est parmi les plus rares. Elle est d’autant plus exceptionnelle après des injections répétitives d’insuline au même endroit, comme chez notre patiente. L’éducation thérapeutique et l’apprentissage des règles d’asepsie, en particulier chez les personnes âgées et de faible niveau socio-économique, sont d’une importance fondamentale.3
Références
1. Alamanda VK, Springer BD. The prevention of infection: 12 modifiable risk factors. Bone Joint J 2019;101-B (1_Suppl_A):3-9.
2. WY Chin T, WS Ko K, Tsang KH. Necrotising fasciitis: a rare complication of acute appendicitis. Hong Kong Med J 2018;24:535-7.
3. Manuello P. Inégalités sociales, maladies chroniques et ETP. Soins 2017;62:14-8.
2. WY Chin T, WS Ko K, Tsang KH. Necrotising fasciitis: a rare complication of acute appendicitis. Hong Kong Med J 2018;24:535-7.
3. Manuello P. Inégalités sociales, maladies chroniques et ETP. Soins 2017;62:14-8.
Une question, un commentaire ?