Un patient comorien de 17 ans, diabétique de type 2 traité, est admis aux urgences pour fièvre, frissons et prurit. Il signale également des brûlures urinaires sans pollakiurie et des douleurs au niveau du flanc droit irradiant vers le testicule homolatéral.
Une adénopathie inguinale gauche indolore est mise en évidence ; le testicule droit est œdématié et légèrement douloureux à la palpation avec manœuvre de Valsalva négative.
Le bilan biologique révèle les éléments suivants :
– leucocytes à 5,2 G/L, dont polynucléaires éosinophiles à 0,29 G/L ;
– plaquettes à 414 G/L ;
– protéine C-réactive (CRP) à 101 mg/L ;
– hémoglobine glyquée (HbA1c) à 15,3 %.
La réalisation systématique d’un test rapide permet d’éliminer un paludisme, fréquent aux Comores.
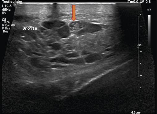
Une échographie testiculaire est réalisée. Elle ne décèle aucune anomalie épididymaire ni testiculaire et constate l’absence d’hydrocèle, mais la présence d’une varicocèle droite abondante dont certaines cavités ont un contenu hétérogène, mobile et échogène (filarial dance) évoque une parasitose (figure).
Un prélèvement sanguin nocturne met en évidence de nombreuses microfilaires de Wuchereria bancrofti.
L’examen cytobactériologique des urines est négatif, ainsi que les recherches d’infections sexuellement transmissibles.
Le patient est traité par une prise unique d’ivermectine, puis par albendazole et doxycycline. Un rendez-vous lui est donné trois mois plus tard, mais il est perdu de vue, et sa varicocèle n’est donc pas traitée.

Transmise par piqûre de moustique, la filariose lymphatique due à Wuchereria bancrofti est répandue dans toutes les zones tropicales, y compris aux Comores et à Mayotte. Grâce aux campagnes de lutte antivectorielle et aux traitements de masse, elle est moins fréquente mais n’est pas éradiquée.1
Cliniquement, la filariose lymphatique se manifeste par une lymphangite de localisation génitale fréquente : lymphangite du scrotum, orchite, hydrocèle2 et, plus rarement, varicocèle. L’infestation chronique induit un éléphantiasis des membres et du scrotum, par dilatation des voies lymphatiques.3
Le diagnostic de filariose lymphatique est confirmé par la mise en évidence des microfilaires sanguicoles nocturnes. L’échographie des voies séminales visualise assez souvent des images de filaments animés de mouvements ondulants, décrits sous le nom de « filarial dance »4, et longtemps considérés comme pathognomoniques. Néanmoins, ce phénomène a été constaté chez des sujets non filariens (biopsies montrant des agglomérats de spermatozoïdes5,6).
Le traitement est fondé sur l’association de plusieurs antihelminthiques ; l’éléphantiasis nécessite une intervention chirurgicale.
Pour être effective, l’éradication de cette affection nécessite un suivi des enquêtes de prévalence, le maintien de la lutte anti­vectorielle et des traitements de masse. 

Pour en savoir plus

1. Galtier J, Julvez J, Michault A, et al. Action des campagnes de chimiothérapie de masse à la diéthylcarbamazine sur la microfilarémie de Wuchereria bancrofti à Mayotte. Bull Soc Pathol Exot Filiales 1987;80(5):826-33.
2. Takaya S, Kutsuna S, Kato Y, et al. Hydrocele due to Wuchereria bancrofti Infection. Intern Med 2019;58(6):897.
3. Nutman TB. Insights into the pathogenesis of disease in human lymphatic filariasis. Lymphat Res Biol 2013;11(3):144-8.
4. Amaral F, Dreyer G, Figueredo-Silva J, et al. Live adult worms detected by ultrasonography in human Bancroftian filariasis. Am J Trop Med Hyg 1994;50(6):753-7.
5. Wiggers JB, Jang HJ, Keystone JS. Case Report: Filaria or Megasperm? A Cause of an Ultrasonographic “Filarial Dance Sign”. Am J Trop Med Hyg 2018;99(1):102-3.
6. Adejolu M, Sidhu PS. The “filarial dance” is not characteristic of filariasis: observations of “dancing megasperm” on high-resolution sonography in patients from nonendemic areas mimicking the filarial dance and a proposed mechanism for this phenomenon. J Ultrasound Med 2011;30(8):1145-50.

Une question, un commentaire ?