Objectifs

Connaître les principales étiologies et les principes de traitement.
Connaître les indications et contre-indications des collyres anesthésiques, antibiotiques et corticoïdes.

L’œil rouge et/ou douloureux est un motif de consultation très fréquent en ophtalmologie (environ 50 % des cas de passage aux urgences ophtalmologiques). Devant un tableau d’œil rouge et/ou douloureux, il est primordial pour tout médecin de savoir différencier une pathologie bénigne ne menaçant pas la vision (comme une hémorragie sous-conjonctivale ou une conjonctivite) d’une pathologie grave menaçant le pronostic visuel et nécessitant un traitement urgent (glaucome aigu par fermeture de l’angle, kératite aiguë, uvéite antérieure aiguë ou endophtalmie aiguë). En d’autres termes, quand un avis spécialisé en ophtalmologie en urgence est-il nécessaire ?

Conduite à tenir

Elle doit être systématique, et l’examen clinique doit toujours être bilatéral et comparatif. Trois éléments constituent la base du raisonnement diagnostique en ophtalmologie : y a-t-il une rougeur oculaire ? y a-t-il une douleur oculaire ? y a-t-il une baisse de l’acuité visuelle (BAV) ?

Anamnèse

L’anamnèse concerne le patient et/ou son entourage. En reprenant les trois éléments de raisonnement cités ci-dessus (rougeur, douleur, BAV), le médecin mène un interrogatoire systématique.
S’il y a une rougeur oculaire, il faut en préciser la date et le mode d’apparition : récente ou ancienne, aiguë ou chronique, premier épisode ou récidive, d’apparition brutale ou d’installation progressive, unilatérale ou bilatérale, soit d’emblée, soit avec un intervalle libre.
S’il y a une douleur oculaire, il faut préciser le type de douleur : superficielle modérée à type de sensation de grains de sable (évoquant une conjonctivite ou une kératite légère) ou plus importante accompagnée de photophobie et d’un blépharospasme (évoquant une kératite sévère) ; douleur plus profonde, modérée (évoquant une uvéite antérieure ou une épisclérite) ; douleur intense avec des irradiations dans le territoire du trijumeau (évoquant une sclérite ou un glaucome aigu).
Enfin, il faut rechercher une BAV associée : dans un contexte d’œil rouge et/ou douloureux, elle est généralement associée à des causes graves nécessitant un avis spécialisé en urgence.
Bien évidemment, comme dans toute anamnèse en médecine, la recherche des antécédents ophtalmologiques et généraux du patient, un contexte traumatique et les traitements ophtalmologiques et généraux en cours doivent être rapportés.

Examen clinique ophtalmologique

Il doit être toujours bilatéral et comparatif.
 

Acuité visuelle

L’évaluation de l’acuité visuelle débute toujours par une réfraction dite « objective », à l’aide d’un réfractomètre automatique qui détermine les paramètres optiques du patient. Cet examen est ensuite affiné en testant la vision par la lecture de loin (échelle de Monoyer) et de près (échelle de Parinaud), avec une correction optique adaptée si nécessaire. Une acuité visuelle normale est mesurée à 10/10e en vision de loin (échelle de Monoyer) et Parinaud 2 en vision de près (échelle de Parinaud). Si l’acuité visuelle est abaissée, il faut toujours éliminer une pathologie vitréenne et/ou rétinienne associée avec un examen du fond d’œil dilaté.
 

Examen à la lampe à fente

La lampe à fente est l’appareil indispensable combinant un système optique à fort grossissement et une source de lumière dont l’intensité est réglable, qui permet une analyse fine des différentes structures de l’œil décrites ci-après. Le médecin urgentiste peut examiner convenablement les éléments précisés ci-­dessous à l’aide d’un ophtalmoscope portatif s’il ne dispose pas de lampe à fente.

Examen de la conjonctive

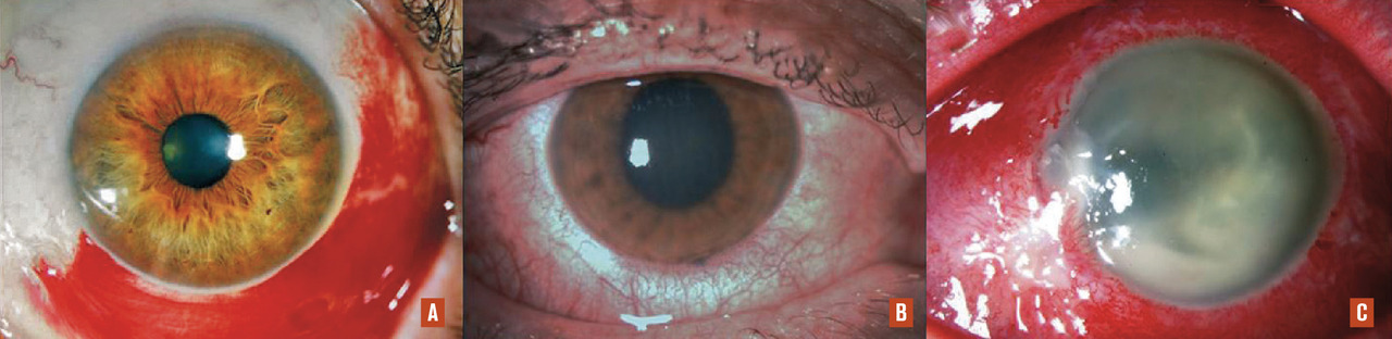
Il faut préciser la topographie et l’aspect de la rougeur oculaire. La rougeur peut être diffuse et superficielle (conjonctivite), plus profonde et sectorielle (épisclérite ou sclérite), en nappe et hémorragique (hémorragie sous-conjonctivale : se méfier d’un corps étranger sous-jacent s’il y a un contexte traumatique), ou localisée autour du limbe sclérocornéen sur 360° (cercle périkératique = vasodilatation concentrique des vaisseaux conjonctivaux limbiques : kératite aiguë, glaucome aigu, uvéite antérieure aiguë, et plus rarement fistule artério-­veineuse) [fig. 1].

Examen des culs-de-sac conjonctivaux

Cette étape est très importante, surtout s’il existe un contexte traumatique retrouvé à l’anamnèse : un corps étranger peut en effet être logé sous les paupières.
L’examen du cul-de-sac conjonctival inférieur est simple, en éversant la paupière inférieure avec les doigts. L’examen du cul-de-sac conjonctival supérieur nécessite de retourner la paupière supérieure à l’aide d’un abaisse-langue (fig. 2).

Examen de la cornée

Après avoir cherché la présence d’un corps étranger cornéen, il s’agit d’évaluer la transparence cornéenne. Un aspect grisâtre diffus de la cornée évoque un œdème de cornée (glaucome aigu par fermeture de l’angle, kératite herpétique) ; la présence d’un infiltrat cornéen (opacité blanchâtre localisée) évoque un abcès cornéen ou un infiltrat inflammatoire non infectieux.
L’analyse cornéenne est complétée par l'instillation d’un collyre à la fluorescéine (test à la fluorescéine), à la recherche d’une ulcération cornéenne : l’épithélium cornéen normal ne retient pas la fluorescéine qui, en revanche, se fixe sur le stroma en l’absence de l’épithélium. Cela permet de mettre en évidence les ulcérations cornéennes : ulcère traumatique (unique, à bords réguliers) ; kératite infectieuse bactérienne ou fongique (ulcère localisé associé à une opacité cornéenne) ; kératite herpétique/zostérienne (kératite dendritique) ; kératites à adénovirus ou syndrome sec oculaire (kératite ponctuée superficielle). La présence de multiples ulcères superficiels linéaires doit faire rechercher un corps étranger sous la paupière supérieure. Le signe de Seidel est dit positif (présence d’une perforation cornéenne) lorsqu’il y a un lavage de la fluorescéine par l’humeur aqueuse qui se déverse hors de l’œil (fig. 3). Enfin, on peut évaluer la sensibilité cornéenne avec un objet à pointe mousse : la diminution unilatérale de la sensibilité cornéenne évoque une kératite herpétique ou zostérienne.

Examen de la chambre antérieure

L’évaluation de la profondeur de la chambre antérieure est facilitée en réalisant un examen bilatéral et comparatif. Une chambre antérieure étroite dans un contexte d’œil rouge et douloureux doit faire évoquer un glaucome aigu par fermeture de l’angle iridocornéen. En outre, il faut rechercher d’éventuels signes inflammatoires évoquant une uvéite antérieure (effet Tyndall, précipités rétrocornéens). L’effet Tyndall correspond à la présence de cellules inflammatoires en chambre antérieure et n’est visible qu’en lampe à fente. Le stade le plus sévère de l’effet Tyndall est l’hypopion, qui correspond à une accumulation de cellules inflammatoires sédimentées dans la chambre antérieure. Les précipités rétrocornéens (ou précipités rétrodescemétiques) correspondent à des dépôts de cellules inflammatoires sur la face postérieure de la cornée (fig. 4).

Examen de la pupille

Il est aussi facilité par une analyse bilatérale et comparative. La pupille peut être en myosis (évoquant une atteinte infectieuse ou inflammatoire de la chambre antérieure de l’œil : kératite ou uvéite antérieure aiguë). Une pupille en semi-mydriase aréactive est classiquement observée lors d’un glaucome aigu par fermeture de l’angle. Une pupille en mydriase est possible, en particulier lors d’une contusion oculaire avec rupture du sphincter de l’iris. Enfin, la pupille peut apparaître déformée (aspect classique « en trèfle ») et non réactive à la lumière lorsqu’il existe des synéchies irido-cristalliniennes dans un contexte d’uvéite antérieure (fig. 5).

Examen du fond d’œil

Un examen du fond d’œil dilaté (pour une meilleure visibilité de la rétine) est réalisé, en particulier s’il existe des signes d’infection et/ou d’inflammation intra-oculaire, ainsi que lors d’un contexte traumatique (suspicion de corps étranger intra-oculaire ou de décollement de la rétine) ou en cas de BAV.
 

Mesure du tonus oculaire

La mesure de la pression intra-oculaire peut être réalisée au tonomètre à air ou à aplanation. En cas d’hypertonie très importante, notamment dans les glaucomes aigus par fermeture de l’angle, il est facile de diagnostiquer l’hypertonie par une palpation bidigitale car l’œil est très dur, comme une « bille de verre». À l’inverse, une hypotonie doit faire rechercher une plaie transfixiante avec un signe de Seidel positif. Dans ce cas, l’utilisation du tonomètre à air est préférable.

Diagnostic étiologique

Hémorragie sous-conjonctivale

Cette rougeur se présente sous la forme d’une tache hémorragique plus ou moins étendue. Elle est d’apparition brutale et indolore mais peut donner une sensation de gêne oculaire (fig. 1). Les hémorragies sous-conjonctivales sont fréquentes, bénignes et régressent en une dizaine de jours sans aucun traitement. Elles peuvent être favorisées par une hypertension artérielle, qui doit être recherchée, ou par la prise d’un traitement anticoagulant, qui ne doit jamais être arrêté. Dans un contexte de traumatisme oculaire, un avis spécialisé est préférable afin de ne pas méconnaître un corps étranger intra-oculaire.

Conjonctivites

La conjonctivite se présente comme un tableau d’œil rouge (rougeur diffuse superficielle), larmoyant, sans BAV, peu ou pas douloureux, avec sensation de grains de sable, parfois un prurit. Les causes les plus fréquentes sont infectieuses, allergiques ou liées à un syndrome sec. La présence de sécrétions devant l’axe optique peut faire baisser transitoirement la vision ; cette gêne disparaît après lavage ou après clignement palpébral. En cas de BAV permanente, il faut rechercher une kératite associée.
 

Conjonctivite bactérienne

La rougeur conjonctivale est généralement diffuse, uni- ou bilatérale, parfois avec un intervalle libre. Il existe d’importantes sécrétions mucopurulentes, prédominant surtout le matin au réveil. Le traitement des conjonctivites bactériennes fait l’objet de recommandations de l’Agence française de sécurité sanitaire des produits de santé (AFSSAPS) datant de juillet 2004 (collyres et autres topiques antibiotiques dans les infections oculaires superficielles). Un prélèvement pour examen bactériologique n’est pas nécessaire en première intention. Les conjonctivites bactériennes sont dues le plus souvent à des germes à Gram positif. Les antibiotiques abrègent la durée des symptômes dans les conjonctivites bactériennes mais leur effet à huit jours n’est pas significativement supérieur à celui du placebo. Ce gain de confort individuel doit être mis en balance avec le risque de sélectionner des souches résistantes à certains antibiotiques si ceux-ci sont utilisés à grande échelle. Le rapport bénéfice-risque s’inverserait alors à l’échelon collectif, avec un risque accru d’infections éventuellement sévères à germes résistants en raison de traitements anti­biotiques abusifs des conjonctivites, pathologie bénigne dans la grande majorité des cas. Les critères de gravité d’une conjonctivite bactérienne pouvant justifier un traitement antibiotique local sont : sécrétions purulentes importantes, chémosis (œdème de la conjonctive), œdème palpébral, larmoiement important, BAV (même modérée). Chez l’adulte, les conjonctivites bactériennes non graves (sans atteinte cornéenne) doivent être traitées par lavage au sérum physiologique associé à un antiseptique. En cas de signe de gravité, un collyre antibiotique ciblant les cocci à Gram positif doit être prescrit et il faut éviter les fluoroquinolones en première intention. Chez le nourrisson, la conjonctivite aiguë doit être systématiquement traitée par un antibiotique local (rifamycine en collyre). En cas de conjonctivite bactérienne récidivante aux âges extrêmes de la vie, il faut réaliser un examen ophtalmologique, à la recherche d’une imperforation des voies lacrymales.
Le trachome est un cas particulier : il s’agit d’une conjonctivite chronique à Chlamydia trachomatis endémique dans les pays en développement. Elle est à l’origine d’une fibrose conjonctivale puis d’une néovascularisation cornéenne qui fait baisser l’acuité visuelle. Le diagnostic peut être fait par une polymerase chain reaction (PCR) sur un grattage conjonctival. Le trachome est la première cause de cécité dans le monde. La prévalence du trachome diminue après traitement antibiotique oral ou topique. Le traitement minute par azithromycine orale en dose unique (20 mg/kg) est le traitement de référence.
 

Conjonctivites virales

Elles sont aussi très fréquentes, très contagieuses et elles surviennent souvent par épidémies. Le germe en cause est généralement un adénovirus. Le tableau est d’abord unilatéral, puis se bilatéralise dans les jours qui suivent. On note un larmoiement et des sécrétions claires. La présence d’une adénopathie prétragienne associée est très évocatrice. Le traitement est symptomatique, avec lavage au sérum physiologique associé à un antiseptique. Les mesures d’hygiène (lavage des mains et du linge de toilette) ainsi que l’éviction scolaire et l’arrêt de travail sont de règle pour limiter les épidémies. L’évolution est généralement spontanément favorable en dix à quinze jours mais peut se compliquer de pseudomembranes fibrineuses et/ou de kératite dans les cas les plus graves. Les cas de conjonctivite très sévère doivent donc être examinés en ophtalmologie, notamment en cas de BAV permanente.
 

Conjonctivite allergique

La forme la plus fréquente est la conjonctivite allergique aiguë, saisonnière ou perannuelle selon l’allergène, qui survient sur un terrain allergique souvent connu. Il s’agit d’un tableau de conjonctivite bilatérale caractérisé par un prurit important avec une rougeur conjonctivale diffuse peu intense et parfois un chémosis. Un larmoiement et des sécrétions claires sont possibles. La kératoconjonctivite vernale est une forme d’allergie oculaire sévère touchant les jeunes garçons avant la puberté. Elle se caractérise par une conjonctivite allergique chronique avec des poussées inflammatoires aiguës le printemps et l’été et se compliquant de lésions cornéennes qui peuvent être graves. Cette pathologie nécessite un suivi très régulier en ophtalmologie. Enfin, d’autres formes de conjonctivite allergique moins fréquentes existent (kératoconjonctivite de la dermatite atopique, conjonctivite de l’allergie de contact). Le traitement des conjonctivites allergiques repose sur l’éviction de l’allergène quand cela est possible, le lavage oculaire quotidien et les collyres antihistaminiques et/ou antidégranulants mastocytaires. En cas de tableau très bruyant, on peut prescrire une cure courte de corticoïdes topiques.
 

Syndrome sec oculaire

Le syndrome sec oculaire est très fréquent et peut être responsable d’une rougeur oculaire associée à une sensation de grains de sable ou à des douleurs oculaires superficielles. La sécheresse oculaire peut être qualitative (dysfonction des glandes de Meibomius dans la rosacée oculaire, iatrogène sur instillation prolongée de collyres conservés, post-conjonctivite fibrosante comme dans la pemphigoïde cicatricielle oculaire et après un syndrome de Stevens-Johnson) ou quantitative (idiopathique liée à l’âge, iatrogène, syndrome de Gougerot-Sjögren). Le diag­nostic est fait principalement par le test de Schirmer (en cas de sécheresse oculaire quantitative seulement), la mesure du temps de rupture du film lacrymal (break-up time) et surtout la recherche d’une kératite ponctuée superficielle épithéliale après instillation de fluorescéine. Le traitement du syndrome sec oculaire est chronique et repose sur l’instillation de substituts lacrymaux sous forme de solutions ou de gels mouillants. Il faut bannir les collyres contenant des agents conservateurs, qui peuvent être à l’origine d’un véritable syndrome sec iatrogène.

Épisclérite

Il s’agit d’une inflammation de l’épisclère, tunique située juste sous la conjonctive. La rougeur oculaire est localisée en secteur, associée à une douleur oculaire modérée. Cette rougeur a la particularité de disparaître après instillation d’un vasoconstricteur (phényléphrine), contrairement aux rougeurs rencontrées dans les sclérites. S’il s’agit d’un premier épisode, aucun bilan complémentaire n’est nécessaire. Un bilan étiologique à la recherche d’une maladie inflammatoire systémique n’est réalisé qu’en cas d’épi­sclérite récidivante. Le traitement repose sur l’instillation de collyre anti-inflammatoire non stéroïdien ou corticoïde.

Sclérite

Il s’agit d’une inflammation de la sclère, située sous l’épi­sclère. La douleur oculaire est plus profonde que dans l’épisclérite, majorée par la mobilisation du globe et classiquement insomniante. La rougeur peut être localisée ou plus diffuse, plane ou nodulaire ; le test à la néosynéphrine est toujours négatif (persistance de la rougeur malgré instillation du collyre). Les formes de sclérite les plus sévères sont les sclérites nécrosantes et les sclérites associées à une kératite. Le bilan étiologique à la recherche de maladie systémique inflammatoire ou auto-immune est obligatoire dès le premier épisode de sclérite : on recherche surtout une polyarthrite rhumatoïde mais aussi une spondylarthrite ankylosante, une maladie inflammatoire chronique de l’intestin, un lupus érythémateux disséminé, une vascularite systémique (périartérite noueuse, granulomatose avec polyangéite, maladie de Behçet), une sarcoïdose, mais aussi des causes infectieuses, notamment l’herpès/zona et plus rarement la tuberculose.
Ces causes correspondent à des urgences ophtalmologiques parfois très graves. Un avis spécialisé est nécessaire sans délai dans chacun de ces cas.

Glaucome aigu par fermeture de l’angle

C’est une affection peu fréquente mais de pronostic très sévère en absence de traitement précoce. La physiopathologie, les signes cliniques et le traitement sont différents du glaucome primitif à angle ouvert, qui est plus fréquent. Il survient chez des sujets prédisposés, en général hypermétropes, présentant un angle iridocornéen étroit. Un facteur déclenchant doit être recherché : une prise de médicaments mydriatiques, certains médicaments anticholinergiques comme les antidépresseurs tricycliques, l’obscurité, qui favorise la mydriase. Les deux mécanismes physiopathologiques en cause sont un blocage pupillaire et un blocage prétrabéculaire.
Le blocage pupillaire empêche le passage de l’humeur aqueuse (sécrétée par le corps ciliaire) de la chambre postérieure de l’œil vers la chambre antérieure à travers la pupille. L’accumulation d’humeur aqueuse dans la chambre postérieure de l’œil « pousse en avant » la racine de l’iris qui vient fermer l’angle iridocornéen et supprimer l’écoulement de l’humeur aqueuse à travers le trabéculum : c’est le blocage prétrabéculaire.
Cliniquement, on observe des douleurs très profondes, irradiant dans le territoire du trijumeau, des céphalées souvent associées à des nausées ou à des vomissements, qui peuvent égarer le diagnostic. La BAV est brutale et massive. À l’examen, l’œil est rouge sous forme d’un cercle périkératique, la transparence de la cornée diminuée de façon diffuse par l’œdème cornéen dû à l’hypertonie oculaire majeure ; la pupille est en semi-­mydriase aréactive (abolition des réflexes photomoteurs direct et consensuel à l’éclairement de l’œil atteint) ; la chambre antérieure est étroite et l’angle iridocornéen (s’il est visible malgré l’œdème de cornée) est fermé (fig. 5). L’examen de l’œil controlatéral aide également au diagnostic en montrant un angle iridocornéen étroit à la gonioscopie.
Le tonus oculaire est très élevé, toujours supérieur à 40 mmHg, souvent vers 60 mmHg : on peut alors apprécier, sans tonomètre, la « dureté » du globe oculaire par une palpation bidigitale à travers la paupière supérieure.
L’évolution se fait rapidement, en quelques jours, vers la cécité, en absence d’un traitement mis en route le plus précocement possible. Le traitement symptomatique associe des antalgiques et des hypotonisants par voie parentérale (acétazolamide et mannitol 20 %) en l’absence de contre-indications. Un traitement local par collyre hypo­tonisant (bêtabloquant, inhibiteur de l’anhydrase carbonique, alpha-2-adrénergique) et myotique (pilocarpine 2 % dans les deux yeux) est associé au traitement par voie générale. Le traitement curatif de l’œil concerné est complété par une iridotomie périphérique avec instillation de pilocarpine ou une iridectomie chirurgicale dans certains cas, en particulier lorsqu’il existe un œdème de cornée persistant. Un traitement préventif sur l’œil adelphe consiste en une iridotomie au laser Nd-YAG réalisée très rapidement. Enfin, il faut bien évidemment penser au traitement étiologique (arrêt des antidépresseurs tricycliques). Une surveillance ophtalmologique régulière est nécessaire (acuité visuelle, tonus oculaire, excavation papillaire au fond d’œil, champ visuel).
Le glaucome néovasculaire est une forme particulière de glaucome retrouvée en cas d’ischémie rétinienne étendue et prolongée, notamment chez les patients diabétiques mal suivis ou après une occlusion de la veine centrale de la rétine. Il s’agit d’un tableau d’œil rouge douloureux avec une hypertonie majeure et un œdème de cornée. L’examen à la lampe à fente retrouve des néovaisseaux iriens (rubéose irienne) et de l’angle iridocornéen. Le traitement est celui de l’ischémie rétinienne (photocoagulation panrétinienne et/ou injections d’anti-VEGF).

Uvéite antérieure aiguë

L'uvéite est une inflammation de l’uvée, qui correspond à la tunique vasculaire de l’œil. L’uvée est constituée, de l’avant vers l’arrière, de l’iris, du corps ciliaire et de la choroïde.
L’uvéite antérieure est une inflammation de l’iris et du corps ciliaire : on parle aussi d’iridocyclite. L’uvéite intermédiaire est une inflammation du vitré. L’uvéite postérieure est une inflammation de la rétine et/ou de la choroïde. Lorsque tous les segments anatomiques de l’œil sont touchés par le phénomène inflammatoire, on parle de panuvéite. On distingue les uvéites infectieuses et non infectieuses.
Une uvéite antérieure se traduit cliniquement par un œil rouge et douloureux associé à une baisse de l’acuité visuelle, qui peut être variable. L’examen à la lampe à fente retrouve une rougeur oculaire sous forme d’un cercle périkératique, une transparence cornéenne normale, des précipités rétrocornéens (ou précipités rétrodescemétiques) qui correspondent à des dépôts de cellules inflammatoires sur la face postérieure de la cornée, un phénomène de Tyndall (cellules inflammatoires circulant dans l’humeur aqueuse), et parfois des synéchies iridocristal­liniennes (adhérences inflammatoires entre la face postérieure de l’iris et la face antérieure du cristallin) [fig. 4]. Ces synéchies entraînent une déformation pupillaire parfois séquellaire et irréversible (fig. 5). L’examen du fond d’œil doit être systématique, à la recherche d’une uvéite intermédiaire et/ou postérieure associée. La recherche étiologique est souvent négative au cours des uvéites antérieures (plus de la moitié des cas). Les causes d’uvéite antérieure à éliminer sont infectieuses (herpès et zona) et non infectieuses (spondylarthrite ankylosante sur terrain HLA-B27+, arthrite juvénile idiopathique chez l’enfant, sarcoïdose, maladie de ­Behçet). Les uvéites intermédiaires et postérieures sont plus rares que les uvéites antérieures pures. Elles peuvent s’accompagner d’une uvéite antérieure et être à l’origine d’un tableau d’œil rouge douloureux avec BAV. La première cause d’uvéite postérieure est la toxoplasmose.
Le traitement symptomatique associe des collyres corticoïdes (effet anti-inflammatoire) et des collyres cycloplégiques (effet mydriatique pour lutter contre les synéchies et effet antalgique en relâchant le muscle ciliaire). Un traitement étiologique éventuel peut être instauré.

Kératites

Les symptômes sont très variables en fonction de la sévérité de la kératite : douleur superficielle modérée avec sensation de corps étranger en cas de kératite ponctuée superficielle (syndrome sec oculaire ou malocclusion palpébrale) ; douleur plus importante accompagnée d’un blépharo­spasme en cas de kératite aiguë (kératites infectieuses, kératite traumatique). Les douleurs s’accompagnent d’une baisse de vision variable en fonction de la localisation de l’atteinte cornéenne par rapport à l’axe visuel.
 

Kératites infectieuses

Kératite à adénovirus

Une kératite à adénovirus peut compliquer une conjonctivite à adénovirus ; elle se traduit par de petites ulcérations disséminées (kératite ponctuée superficielle); son évolution est spontanément favorable, mais elle peut laisser des opacités cornéennes sous-épithéliales négatives au test de la fluorescéine qui peuvent mettre plusieurs mois ou plusieurs années à régresser et s’accompagner pendant ce délai d’une BAV.

Kératite herpétique

La topographie de l’ulcération cornéenne est classiquement définie comme une ulcération de forme arborescente (ulcération dendritique) parfois plus étendue (en carte de géographie). Une hypoesthésie ou une anesthésie cornéenne peut être constatée. Le traitement repose sur les antiviraux par voie orale (valaciclovir) pendant sept à dix jours associés ou non à un débridement initial de l’épithélium cornéen lésé. L’évolution est le plus souvent favorable sous traitement. Le patient doit être informé du risque de récidive, même à distance d’un traitement adapté et bien conduit, ainsi que de l’évolution vers une kératite profonde par atteinte cornéenne stromale qui peut entraîner une BAV séquellaire. Une culture virale à partir d’un prélèvement sur les bords de l’ulcère n’est que rarement nécessaire (sauf en cas de doute diag­nostique ou de résistance au traitement).
Les corticoïdes locaux sont contre-indiqués en cas de kératite herpétique active car ils peuvent aggraver l’atteinte cornéenne jusqu’à la perforation. Il faut donc éviter leur usage sans avis ophtalmologique préalable en cas de kératite.

Kératite zostérienne

Un zona ophtalmique (atteinte du territoire du nerf trijumeau V1) peut se compliquer d'une kératite superficielle dendritiforme. Cette forme guérit généralement bien avec un traitement antiviral per os (valaciclovir) et un traitement local cornéen (substituts lacrymaux). Cependant, il est parfois possible de noter à distance de l’épisode aigu du zona une kératite neurotrophique ; cette forme grave est secondaire à une anesthésie cornéenne séquellaire.

Kératites bactérienne, fongique et parasitaire

Ce type de kératite grave correspond en pratique à ce que l’on appelle un abcès de cornée (fig. 6). L’anamnèse doit rechercher des facteurs de risque d’abcès de cornée : un contexte traumatique récent avec ou sans projection de corps étranger, un port de lentilles de contact, une malocclusion palpébrale ou des modifications immunologiques locales comme une corticothérapie locale. L’examen à la lampe à fente retrouve un infiltrat cornéen blanchâtre parfois associé à une inflammation de la chambre antérieure de l’œil (un phénomène de Tyndall, des précipités rétrocornéens, un hypopion) [fig. 6]. Un prélèvement cornéen de l’abcès doit être systématique, avec envoi des écouvillons et lames pour une analyse bactériologique, mycologique ou parasitaire (amibes). L’évolution peut être favorable si un traitement est mis en route rapidement : collyres antibiotiques horaires en ambulatoire dans les formes vues tôt et peu sévères, ou collyres horaires à forte concentration en milieu hospitalier préparés à partir de solutions pour injections intraveineuses (collyres fortifiés). À la phase aiguë, les deux risques sont la perforation cornéenne et l’endophtalmie. à long terme, la cicatrice cornéenne de l’abcès peut être à l’origine d’une baisse visuelle définitive lorsqu’elle est centrale. Le patient doit être informé de la contre-indication absolue au port de lentilles de contact sur les deux yeux pendant toute la durée du traitement, et généralement plusieurs mois, même après guérison de l’abcès. Une réévaluation à distance par l’ophtalmologiste peut autoriser ou non la reprise du port des lentilles.
 

Kératites non infectieuses

L’anamnèse recherche un contexte traumatique avec ou sans corps étranger, un syndrome sec oculaire, une instillation prolongée de collyres avec conservateurs ou une malocclusion palpébrale.

Kératite d’exposition par malocclusion palpébrale

Si la kératite est centrale, il faut éliminer une malocclusion palpébrale. Trois cas se présentent classiquement en pratique : un patient avec une paralysie faciale périphérique et signe de Charles Bell (fig. 7) ; un patient avec exophtalmie bilatérale dans un contexte de maladie de Basedow ; un patient âgé avec un ectropion sénile. Une tarsorraphie peut parfois être nécessaire. Une occlusion palpébrale nocturne ou 24 h/24 associée à un traitement symptomatique doivent être prescrits. Un traitement étiologique est instauré dans la mesure du possible.

Kératite sur syndrome sec oculaire

Le syndrome sec oculaire peut être à l’origine d’une kératite superficielle siégeant souvent en cornée inférieure. Le traitement prolongé par collyre avec agents conservateurs peut favoriser une kératite. Les collyres avec conservateurs doivent être remplacés par des collyres non conservés. Le traitement du syndrome sec oculaire repose surtout sur l’instillation quotidienne de substituts lacrymaux.

Kératite inflammatoire non infectieuse

Il s’agit d’infiltrats blanchâtres ulcérés siégeant en cornée périphérique. Ils sont souvent la manifestation d’une rosacée oculaire. Le diagnostic différentiel est l’abcès de cornée, et le traitement repose sur les corticoïdes locaux et/ou antibiotiques en cas de doute sur une surinfection associée.

Endophtalmie aiguë

Un tableau d’œil rouge douloureux avec baisse de l’acuité visuelle dans les jours suivant une chirurgie de l’œil ou une injection intravitréenne doit faire redouter une infection postopératoire. Plus rarement, des endophtalmies endogènes peuvent s'observer dans un contexte de septicémie.
Le patient décrit une importante douleur irradiant vers la région sus-orbitaire, avec une baisse de l’acuité visuelle. L’examen objective des signes majeurs d’uvéite avec un Tyndall important, voire un hypopion, ainsi que d’importants dépôts dans le vitré. Le traitement est systématiquement hospitalier et nécessite un prélèvement de vitré ou d’humeur aqueuse pour examen direct et culture, puis des injections intravitréennes d’antibiotiques. Les tableaux les plus sévères requièrent une prise en charge chirurgicale par vitrectomie. Le pronostic visuel des endophtalmies est généralement mauvais.

Traumatologie oculaire

 

Brûlure oculaire

Les brûlures chimiques par les bases (ciment, soude) sont les plus toxiques, car elles peuvent entraîner des séquelles graves et des atteintes oculaires profondes (uvéites), même à distance. Elles entraînent une nécrose de liquéfaction.
Les brûlures chimiques par acides sont généralement moins graves, sauf en milieu industriel où les acides sont parfois très concentrés. Les séquelles oculaires sont généralement plus superficielles. Elles entraînent une nécrose de coagulation, autolimitant le phénomène de brûlure.
Le traitement des brûlures chimiques repose sur un lavage oculaire abondant en urgence pendant au moins quinze minutes, un avis spécialisé en urgence, et des corticoïdes en collyre hors contre-indication.
Les brûlures thermiques (soudure) sont moins graves que les précédentes et guérissent rapidement avec un traitement symptomatique local de kératite.

 

 

 

Kératite traumatique avec ou sans projection de corps étranger

Si la kératite est supérieure, il faut penser à éliminer un corps étranger sous-palpébral en retournant la paupière supérieure à l’aide d’un abaisse-langue (fig. 2). Une kératite traumatique peut cependant aussi être centrale (corps étranger cornéen superficiel : paille de fer). L’ablation du corps étranger et un traitement symptomatique sont nécessaires. La vérification du statut sérologique et de la vaccination antitétanique du patient doit toujours être effectuée, dans un contexte traumatique.

 

 

 

 

Perforation du globe oculaire

Une perforation du globe doit être suspectée dans un contexte de traumatisme récent, d’œil rouge, douloureux et « mou » (hypotonie oculaire). Une prise en charge spécialisée en hospitalisation doit être réalisée sans délai.

 

 

 

 

Contusion du globe oculaire

Une contusion doit faire rechercher un épisode traumatique récent (balle de squash, volant de badminton, coup de poing) et une fracture du plancher orbitaire ou de la face associée. Un examen du fond d’œil dilaté doit être réalisé pour éliminer une complication (décollement de rétine). Un certificat médical initial (CMI) daté et signé à visée médicolégale est remis au patient en précisant l’évaluation de l’incapacité temporaire de travail (ITT).

 

 

Cas particuliers : les causes d’œil blanc douloureux

 

Neuropathie optique inflammatoire

La neuropathie optique rétrobulbaire (NORB) est une pathologie inflammatoire du nerf optique qui peut se présenter sous la forme clinique d’un œil douloureux avec BAV. Les douleurs ont en réalité davantage une localisation supra- ou péri-orbitaire, et sont majorées par la mobilisation des globes oculaires. L’examen à la lampe à fente et l’examen du fond d’œil ne retrouvent aucune anomalie particulière (pas de signes inflammatoires). L’adage consacré à cette atteinte ophtalmologique est bien connu : « La neuropathie optique rétrobulbaire, c’est lorsque le médecin et le patient ne voient rien. » Il faut savoir l’évoquer chez une femme ou un homme jeune, dans un contexte de sclérose en plaques connue ou suspectée.

 

 

 

Pathologies des paupières

La blépharite, le chalazion et l’orgelet sont responsables d’une inflammation palpébrale douloureuse sans atteinte oculaire à proprement parler.

 

 

 

 

Atteintes neurologiques ou ORL

Une névralgie faciale (nerf trijumeau V), une algie vasculaire de la face (migraines ophtalmiques) ou une atteinte des sinus (sinusite frontale ou maxillaire) peuvent être à l’origine de douleurs péri-oculaires.

 

 

 

 

Amétropies mal corrigées

Une amétropie mal corrigée (hypermétropie et astigmatisme en particulier) ou une insuffisance de convergence peut se traduire par un œil douloureux et une impression de flou visuel (asthénopie accommodative). Dans ce cas, l’ophtalmologiste vérifie la réfraction sous cycloplégique si nécessaire et prescrit de nouvelles lunettes.

 

 

Points forts
Infections et inflammations oculaires

POINTS FORTS À RETENIR

L’examen ophtalmologique doit systématiquement être bilatéral et comparatif.

Un œil rouge, douloureux, avec baisse de l’acuité visuelle est une urgence ophtalmologique qui nécessite un avis et un traitement spécialisé rapide.

Une hémorragie sous-conjonctivale doit faire rechercher une hypertension artérielle. En cas de notion de traumatisme, un examen ophtalmologique est nécessaire pour éliminer un corps étranger intra-oculaire.

Un œil rouge et/ou douloureux peut être une manifestation ophtalmologique d’une pathologie générale : uvéites, sclérites et épisclérites.

Les principales causes d’uvéites sont les suivantes : maladies infectieuses (tuberculose, syphilis, toxoplasmose, infections locorégionales dentaires ou des sinus), maladies systémiques inflammatoires (spondylarthropathies, arthrites juvéniles, polyarthrite rhumatoïde, sarcoïdose).

Message auteur

Infections et inflammations oculaires

Qu'est ce qui peut tomber à l'examen ?

ECN 2017 : cas d’un patient diabétique avec une rétinopathie diabétique proliférante compliquée d’hémorragie intravitréenne et d’œdème maculaire diabétique. À la fin du cas, le patient peu observant présente des douleurs oculaires après avoir été perdu de vue pendant trois ans. Il fallait évoquer le glaucome néovasculaire.

ECN 2016 : cas d’un patient diabétique traité pour une rétinopathie diabétique et un œdème maculaire diabétique, puis opéré de la cataracte.

ECN 2007 : glaucome primitif à angle ouvert découvert chez un patient d’âge relativement jeune. Il était demandé de décrire l’examen clinique ophtalmologique conduit et les principaux éléments recherchés. Le dossier s’intéressait ensuite surtout à la prise en charge globale du patient glaucomateux (permis de conduire, aptitude au travail, recherche de comorbidités éventuelles).

ECN 2004 : patiente jeune avec symptômes de baisse d’acuité visuelle et surtout d’amputation partielle du champ visuel. Il s’agissait d’une neuropathie optique rétrobulbaire (NORB). L’essentiel du dossier était cependant axé sur la prise en charge diagnostique et thérapeutique d’une sclérose en plaques sous-jacente, assez classique dans ce contexte.

Autres dossiers possibles : contexte de maladies inflammatoires articulaires ou de sarcoïdose révélées par une uvéite (généralement antérieure aiguë dans un dossier d’ECN).

Dans un contexte de septicémie et/ou endocardite, devant une baisse d’acuité visuelle concomitante au sepsis, il faut savoir évoquer une endophtalmie endogène par dissémination (mais peu probable à notre sens de retrouver cela dans un dossier d’internat).

Pour en savoir plus

Monographie Urgences ophtalmologiques. Rev Prat 2012;62(9):1247-64.
Polycopié national du Collège des ophtalmologistes universitaires de France, mis à jour en 2021. Chapitre «Infections et inflammations oculaires», P. Labalette.
Sève P. Œil et maladies systémiques. L. Kodjikian (éd.), Lavoisier-Médecine Sciences Publications. Décembre 2013.
AFSSAPS. Collyres et autres topiques antibiotiques dans les infections oculaires superficielles. Recommandations de l’Agence française de sécurité sanitaire des produits de santé, juillet 2004.

Dans cet article

Ce contenu est exclusivement réservé aux abonnés