Objectifs
Connaître les différentes formes de sinusite et les explorations éventuellement nécessaires pour en étayer le diagnostic.
Connaître les arguments cliniques permettant de distinguer une sinusite maxillaire aiguë d’une rhinite ou d’une rhinopharyngite.
Prescrire le traitement approprié, antibiotique et/ou symptomatique, à un patient présentant une sinusite maxillaire aiguë, une rhinite, une rhinopharyngite.
Diagnostiquer et connaître les complications et les principes du traitement d'une ethmoïdite aiguë du nourrisson et de l’enfant.

Rappels anatomiques

Les cavités rhinosinusiennes sont constituées par les fosses nasales et les sinus paranasaux, qui sont des cavités aériques creusées dans les os du massif facial. Ce sont les sinus maxillaires, ethmoïdaux, frontaux et sphénoïdaux. Ils se drainent tous dans les fosses nasales. Seuls les sinus ethmoïdaux sont présents dès la naissance. Les sinus maxillaires, sphénoïdaux et frontaux se développent au cours de la petite enfance et ne sont, en général, pas le siège d’une sinusite avant l’âge de 6 ans. Les rapports anatomiques des sinus paranasaux sont importants à connaître, car ils permettent de comprendre les complications locorégionales des sinusites : les sinus ethmoïdaux et frontaux entrent ainsi en rapport avec l’orbite et l’étage antérieur de la base du crâne, et les sinus sphénoïdaux avec les sinus caverneux et l’étage moyen de la base du crâne.

Nosologie

Par définition, la rhinite désigne une atteinte limitée aux fosses nasales, et la sinusite une atteinte d’une ou plusieurs cavités sinusiennes. Les rhinosinusites atteignent à la fois les cavités nasales et sinusiennes. La tomodensitométrie permet de les distinguer au mieux.
Certaines rhinites aiguës sont d’origine allergique, mais la plupart des rhinosinusites aiguës sont d’origine infectieuse.
La rhinite virale (« rhume »), très fréquente, est due à une infection par un virus de type rhinovirus, influenzae ou coronavirus. Elle peut se compliquer d’une surinfection bactérienne et s’étendre à un ou plusieurs sinus paranasaux : on parle de sinusite rhinogène.
Dans certains cas, l’infection peut prendre naissance dans le sinus et s’extérioriser par la fosse nasale : c’est le cas de la sinusite maxillaire d’origine dentaire.
Les rhinosinusites survenant chez le patient immunodéprimé ou diabétique constituent une entité à part : les mycoses invasives des cavités rhinosinusiennes se développent sur ces terrains fragilisés, et leur gravité impose une prise en charge pluridisciplinaire combinant traitement médical et traitement chirurgical.

Diagnostic d’une rhinosinusite aiguë

Clinique

Rhinite infectieuse

Rhinite infectieuse saisonnière : il s’agit du rhume banal, qui survient souvent dans un contexte épidémique et dure en moyenne entre huit et vingt jours. C’est l’infection nasosinusienne la plus fréquente. Elle entraîne une obstruction nasale, une rhinorrhée claire ou purulente bilatérale ou unilatérale à bascule, des éternuements. Elle s’accompagne souvent d’une fièvre modérée, de céphalées diffuses et d’une asthénie. Il peut exister une pesanteur ou une douleur modérée en regard des sinus maxillaires et frontaux. L’examen ne retrouve qu’une congestion nasale avec des sécrétions claires ou purulentes bilatérales.
Rhinopharyngite de l’enfant : aux symptômes dus à la rhinite s’ajoute une odynophagie plus ou moins marquée. L’examen montre alors un aspect rouge du pharynx et parfois des adénomégalies cervicales.
 

Rhinite allergique intermittente

Les symptômes sont ceux d’une rhinite virale aiguë, mais il n’y a pas de fièvre. Le patient présente souvent des éternuements en salves. L’origine allergique de la rhinite est évoquée devant l’existence d’un terrain atopique et de certains facteurs déclenchants, le caractère saisonnier des symptômes (« rhume des foins ») et l’existence d’une conjonctivite allergique associée.
 

Sinusite

Sinusite maxillaire aiguë : lorsqu’elle survient dans les suites d’une rhinite, le diagnostic est clinique, porté devant la présence d’au moins deux des trois critères majeurs suivants :
  • la présence d’une douleur unilatérale et/ou augmentée lorsque la tête est penchée en avant, et/ou pulsatile, et/ou augmentée en fin de journée et la nuit ;
  • la persistance ou l’augmentation des douleurs sinusiennes infraorbitaires malgré un traitement symptomatique (antalgique, antipyrétique, décongestionnant) prescrit pendant au moins quarante-huit heures ;
  • l’augmentation de la rhinorrhée et le caractère continu de la purulence.
Ces signes ont d’autant plus de valeur qu’ils sont unilatéraux.
La présence de critères mineurs, s’ils sont associés aux signes précédents, renforce la suspicion diagnostique. Ces critères sont :
  • la fièvre persistant au-delà du troisième jour d’évolution de la sinusite ;
  • l’obstruction nasale, les éternuements, la gêne pharyngée, la toux, s’ils persistent au-delà de dix jours.
L’examen peut retrouver du pus au méat moyen. L’examen endobuccal recherche une porte d’entrée dentaire. Une imagerie est réalisée en cas de suspicion de sinusite maxillaire d’origine dentaire (scanner, cone beam dentaire, panoramique dentaire, clichés rétroalvéolaires).
Il existe des formes compliquées : dans certains cas, l’ostium de drainage du sinus est complètement obstrué, et les sécrétions purulentes s’accumulent dans le sinus, entraînant une augmentation des douleurs : on parle, dans ces formes hyperalgiques, de sinusite bloquée maxillaire.
Ethmoïdite aiguë : elle touche fréquemment le jeune enfant mais peut aussi concerner l’adulte. Dans les formes œdémateuses non compliquées, la symptomatologie se limite à des céphalées rétro-orbitaires unilatérales, parfois associées à une rhinorrhée plus importante du côté des douleurs, évoluant dans un contexte fébrile (39-40 °C). L’examen montre un œdème palpébral supéro-interne douloureux (fig. 1) et parfois du pus au méat moyen. La présence de pus conjonctival oriente vers les diagnostics différentiels de conjonctivite ou de dacryocystite.
Parmi les formes compliquées, on distingue les complications préseptales touchant le segment antérieur de l’œil et les complications rétroseptales touchant le cône orbitaire. Les complications préseptales sont les plus fréquentes et de meilleur pronostic que les complications rétroseptales. La tomodensitométrie avec injection de produit de contraste permet de les distinguer au mieux. Les trois principales complications rétroseptales correspondent à une diffusion régionale de l’infection :
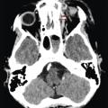
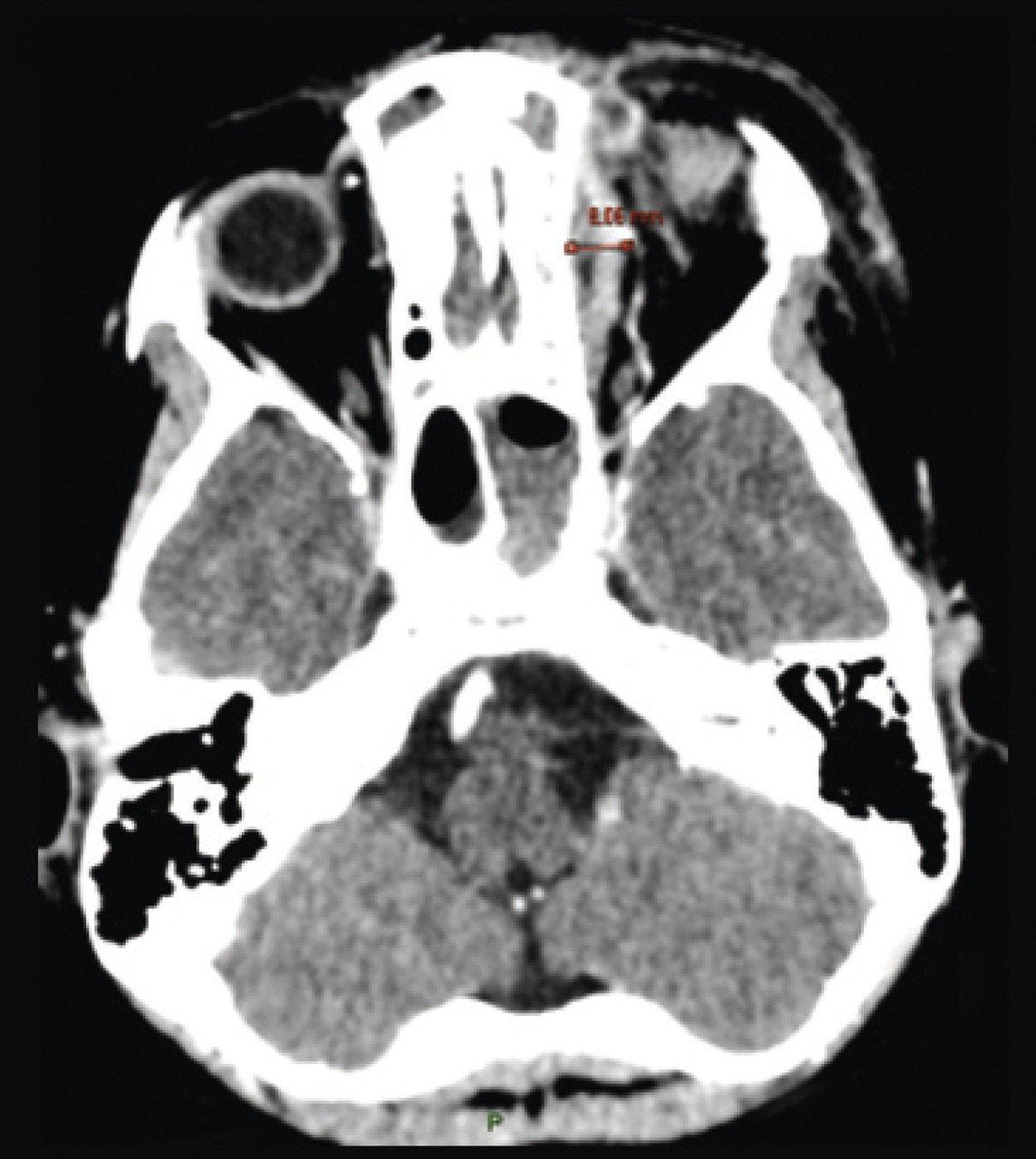
  • forme collectée périorbitaire, définie par la présence d’une collection entre la paroi interne d’orbite et la péri­orbite (fig. 2), suspectée devant l’apparition d’une exophtalmie douloureuse, avec parfois une discrète limitation de la mobilité oculaire ;
  • suppuration intraorbitaire, suspectée devant la présence d’une mydriase paralytique, d’une anesthésie cornéenne ou d’une ophtalmoplégie partielle ou complète ;
  • thrombophlébite du sinus caverneux, due à une diffusion postérieure de l’infection, entraînant l’apparition d’une fièvre oscillante avec frissons et syndrome méningé ainsi que d'une paralysie oculomotrice par atteinte des nerfs oculomoteurs qui traversent le sinus caverneux.
Sinusite frontale  : la symptomatologie est dominée par des céphalées sus-orbitaires unilatérales souvent très intenses évoluant dans un contexte fébrile. La rhino­scopie peut retrouver une issue de pus au méat moyen.
Le caractère hyperalgique fait suspecter une sinusite bloquée frontale. Une extériorisation orbitaire est possible, avec un œdème palpébral supérieur et parfois une exophtalmie et une limitation de la mobilité oculaire. La principale complication à rechercher reste cependant l’atteinte cérébroméningée. Elle peut aller d’une simple réaction méningée à l’empyème sous-­dural, voire à l’abcès cérébral. Ainsi, dans l’évolution d’une sinusite ou d’une rhinosinusite traitée, si une douleur frontale réapparaît, la tomodensitométrie avec injection de produit de contraste est indiquée, à la recherche de ces complications.
Sinusite sphénoïdale : de diagnostic plus difficile, elle est suspectée devant des céphalées mal systématisées, rétro-orbitaires ou occipitales. L’examen fibroscopique peut mettre en évidence un écoulement purulent à l’ostium sphénoïdal. Il faut rechercher les formes compliquées : complications cérébroméningées, avec atteinte du sinus caverneux, en réalisant une tomodensitométrie avec injection et/ou une imagerie par résonance magnétique.
 

Rhinosinusites chez le patient immunodéprimé

La survenue de tout symptôme rhinosinusien chez un patient immunodéprimé (transplanté, pathologie hématologique, infection par le virus de l’immunodéficience humaine [VIH], traitement immunosuppresseur au long cours, grossesse) ou diabétique doit faire rechercher une mycose invasive. Le diagnostic nécessite la réalisation d’un scanner du massif facial, d’une IRM en urgence et de prélèvements bactériologiques et mycologiques des sécrétions et de la muqueuse nasale. L’évolution est souvent rapide, avec une extension aux organes de voisinage (orbite, palais, base du crâne), et le pronostic est sombre.

Examens complémentaires

Aucun examen complémentaire n’est nécessaire dans les rhinites, rhinopharyngites et sinusites maxillaires aiguës non compliquées survenant dans un contexte de rhinite.
Dans toutes les autres situations (doute diagnostique, sinusites maxillaires bloquées ou en échec de traitement à 48 heures, sinusites ethmoïdales, frontales, sphénoïdales, formes de l’immunodéprimé), il faut prescrire un scanner du massif facial avec injection de produit de contraste. Le scanner est préférable aux radiographies standard, dont la valeur diagnostique est faible.
L’IRM cérébrale et du massif facial avec injection de gadolinium trouve sa place dans l’évaluation des complications cérébroméningées et dans les formes de l’immuno­déprimé pour apprécier l’extension des zones de nécrose.
Un prélèvement bactériologique (prélèvement à l’ostium du sinus ou par ponction de sinus) est recommandé dans les sinusites compliquées, en cas d’échec de l’antibiothérapie et dans les formes de l’immunodéprimé.
Dans les sinusites maxillaires où l’origine dentaire est suspectée, il est également nécessaire de prescrire un scanner du massif facial (fig. 3) [souvent complété par un dentascanner, un panoramique dentaire et/ou des clichés rétroalvéolaires] et de faire pratiquer un bilan odontologique.

Attitude thérapeutique et suivi

Le traitement est ambulatoire dans tous les cas, sauf dans les formes compliquées de sinusite où le patient doit être hospitalisé et l’antibiothérapie administrée par voie parentérale. Lorsqu’un traitement ambulatoire est proposé pour une sinusite, une réévaluation après quarante-huit heures de traitement est recommandée pour en apprécier la réponse. Dans l’ethmoïdite aiguë de l’enfant, un traitement ambulatoire est possible dans les formes non compliquées, si l’état général est conservé, sous réserve de la bonne compréhension des consignes de surveillance par les parents et d’un suivi en consultation.

Traitement médical

Mesures symptomatiques

Elles associent un traitement antalgique, des antipyrétiques en cas de fièvre, des décongestionnants nasaux en l’absence de contre-indications. Des lavages de nez au sérum physiologique sont prescrits.
 

Antibiothérapie

Elle est indiquée dans la sinusite maxillaire aiguë répondant aux critères ci-dessus, dans la sinusite maxillaire d’origine dentaire, dans les sinusites ethmoïdales, frontales et sphénoïdales. Le choix de l’antibiothérapie selon les situations cliniques est résumé dans les tableaux 1 et 2. L’efficacité du traitement est appréciée sur la dimi- nution de la fièvre et sur la rémission des symptômes. Il est possible d’adjoindre à l’antibiothérapie une cortico­thérapie en cure courte par voie générale.
Le choix de l’antibiothérapie repose sur les recommandations de bonne pratique de la Société de pathologie infectieuse de langue française actualisées par la HAS en 2021. Les différentes propositions sont résumées, chez l’adulte (tableau 1) et chez l’enfant (tableau 2).

Traitement chirurgical

Un geste chirurgical est indiqué en complément du traitement médical en cas de :
  • sinusite aiguë bloquée maxillaire ou frontale (le sinus est drainé afin de soulager la douleur dans ces formes hyperalgiques) ;
  • ethmoïdite aiguë : dans la forme collectée périorbitaire, le traitement chirurgical passe soit par un abord externe sus-caronculaire, au bord interne de l’œil, soit par un drainage endonasal ;
  • sinusites avec complications intracrâniennes : le sinus concerné doit être drainé (le plus souvent par voie endonasale) afin d’éradiquer la porte d’entrée endocrânienne mais également de disposer d’une documentation bactériologique précise pour guider l’antibiothérapie. S’il existe une collection intracrânienne associée (empyème ou abcès cérébral), un drainage neurochirurgical doit être discuté ;
  • mycoses invasives survenant chez le patient immunodéprimé : le traitement associe des antifongiques par voie générale, la correction maximale de l’immunodépression, l’équilibre du diabète le cas échéant et des débridements chirurgicaux répétés des zones de nécrose. 
Remerciements au Pr Romain Kania.
Points forts
Infections naso-sinusiennes de l’enfant et de l’adulte

La majorité des infections rhinosinusiennes de l’enfant et de l’adulte sont d’origine virale et ne nécessitent pas d’examen complémentaire ni d’antibiothérapie.

Une antibiothérapie est indiquée en cas de sinusite maxillaire aiguë répondant à deux critères majeurs unilatéraux, dans la sinusite maxillaire d’origine dentaire et dans les sinusites ethmoïdales, frontales et sphénoïdales.

Un scanner avec injection de produit de contraste est indiqué en cas de sinusite ethmoïdale, frontale et sphénoïdale, en cas de suspicion de complication, ou en cas de résurgence des symptômes.

Des symptômes rhinosinusiens chez un patient immunodéprimé ou diabétique doivent faire rechercher une mycose invasive.

Le traitement chirurgical est indiqué en cas de complication ou non-résolution de la sinusite quelle que soit sa localisation. En cas de sinusite d’origine dentaire, le traitement de la porte d’entrée dentaire doit être associé.

Dans cet article

Ce contenu est exclusivement réservé aux abonnés