Les tumeurs rénales sont probablement parmi les dernières tumeurs à être prises couramment en charge sans diagnostic histologique certain. Le dogme de traiter toute masse solide rénale comme un cancer est encore largement appliqué. Une tumorectomie d’une masse solide rénale de moins de 4 cm, une néphrectomie d’une masse solide de plus 7 cm, ou la surveillance d’une tumeur rénale chez un sujet fragile sont encore souvent réalisées sans histologie. Il existe cependant une littérature médicale fournie concernant la biopsie des masses solides rénales et, à ce sujet, les choses ont un peu évolué : le comité de cancérologie de l’Association française d’urologie a précisé en 2016 les indications des biopsies des masses rénales (v. tableau).1 La biopsie est actuellement recommandée lorsque le diagnostic histologique est susceptible de modifier la prise en charge thérapeutique d’une tumeur du rein. Les recommandations européennes et nord-américaines reprennent cette notion.2, 3 Peut-on aller plus loin ? La bonne question à poser aujourd’hui devrait être : pourquoi ne pas faire de biopsie à une tumeur solide rénale ?
La technique de biopsie est-elle standardisée ?
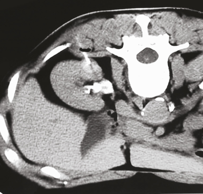
La biopsie des masses rénales est actuellement bien standardisée et codifiée. Elle est généralement réalisée par un radiologue, sous anesthésie locale, en externe ou en ambulatoire. Le guidage classique est un guidage tomodensitométrique (fig. 1). Certaines masses rénales faciles d’accès peuvent être biopsiées sous guidage échographique. Au moins deux prélèvements sont réalisés en évitant les zones de nécrose. Pour les tumeurs avec plusieurs contingents radiologiques, les contingents radiologiques différents doivent être prélevés. Une aiguille fine coaxiale (18 gauges) est utilisée pour protéger le trajet de ponction d’une contamination tumorale.3 Il est recommandé que le patient soit à jeun pour prévenir les nausées et vomissements réflexes éventuels. Un contrôle tomodensitométrique post-biopsie est réalisé avant le départ du patient pour vérifier l’absence de saignement rénal. Un rendez-vous de consultation est programmé avec l’urologue référent pour la communication du diagnostic et la décision de la réunion de concertation pluridisciplinaire d’oncologie.
Quelle est la morbidité de la biopsie ?
La morbidité liée à la pratique d’une biopsie percutanée des masses rénales est faible.1, 4 Les complications les plus fréquentes sont les hématomes périrénaux (< 5 %), les douleurs lombaires (< 3 %) et l’hématurie (< 3 %).1, 5 Les complications majeures (faux anévrismes, choc, pneumothorax) sont rares mais possibles. Elles font partie de l’information du patient avant la biopsie par l’urologue et le radiologue. Il n’a pas été rapporté de contamination du trajet par la tumeur en cas de carcinome rénal.2
Quelles sont les contre-indications de la biopsie ?
La biopsie est contre-indiquée, comme toutes les biopsies, chez les sujets ayant des troubles de la coagulation, sous anticoagulant ou en cas d’infection en cours, notamment urinaire. Après analyse du rapport bénéfice-risque une biopsie peut être réalisée sous aspirine 75 mg.La biopsie est contre-indiquée en cas de suspicion de carcinome urothélial compte tenu du risque de contamination du trajet de la biopsie par la tumeur. Ce risque n’a pas été décrit pour les carcinomes rénaux.La biopsie ne doit pas être indiquée ni réalisée en cas de suspicion clinique et radiologique d’angiomyo- lipome. L’angiomyolipome typique, tumeur bénigne, a un risque hémorragique et son diagnostic, dans les formes typiques, est uniquement radiologique.
Dans quels cas la biopsie a-t-elle peu d’intérêt ?
Le diagnostic d’angiomyolipome typique est radiologique (échographie, tomodensitométrie [TDM], imagerie par résonance magnétique [IRM]) et ne nécessite pas de biopsie.La biopsie a peu d’intérêt clinique et peu de renta- bilité pour les tumeurs kystiques rénales simples. En revanche, pour les kystes rénaux atypiques (Bosniak 3 ou 4), une biopsie de la composante solide peut être discutée.3 Pour les très petites tumeurs rénales (< 1,5 cm), la biopsie peut être difficile à réaliser ou à risque (tumeur antérieure, pôle supérieur rénal gauche). Le taux de biopsies non contributives des très petites tumeurs rénales (< 1,5 cm) est plus élevé.6 De plus, ces très petites tumeurs sont rarement agressives. Dans notre centre nous proposons en première intention, après une imagerie complète (TDM, IRM), une surveillance radiologique tous les 6 mois et une biopsie en cas d’augmentation de taille sur deux examens d’imagerie.La biopsie a peu d’intérêt clinique chez un patient fragile chez qui le diagnostic histologique ne changera pas la prise en charge, notamment en cas d’abstention et de surveillance.2, 3
Quels sont les résultats de la biopsie ?
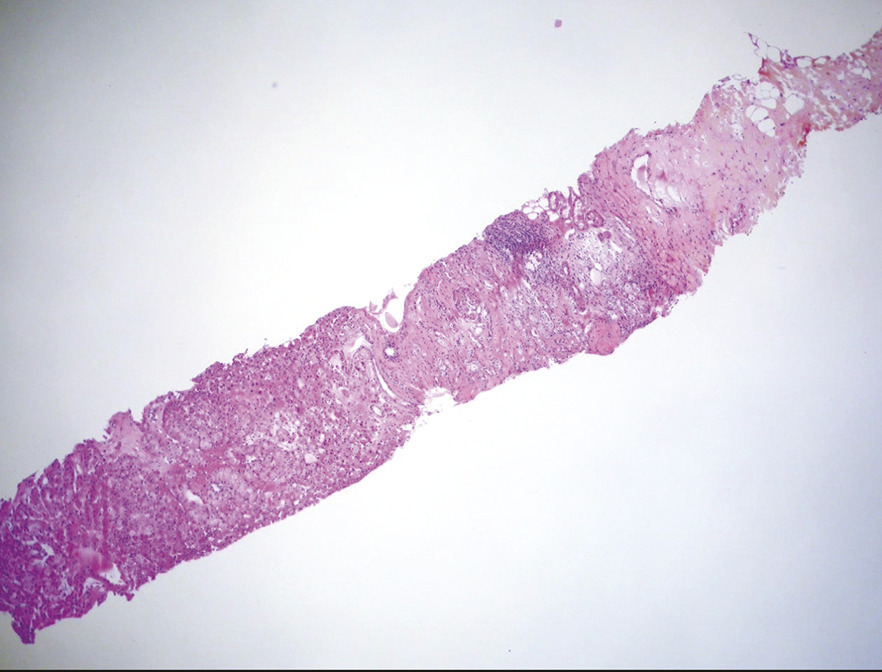
Il a longtemps été reproché à la biopsie percutanée des masses rénales une faible performance. Actuellement il est reconnu que la biopsie standardisée a une performance, une sensibilité (99 %) et une spécificité (99 %) élevées pour le diagnostic de malignité (fig. 2).1, 2La biopsie a une performance de 90 % pour le sous-type histologique, et de plus de 95 % pour les tumeurs solides de moins de 4 cm. Pour la détermination du grade tumoral la performance de la biopsie est de 43-93 %. Pour les tumeurs de moins de 4 cm, la biopsie peut déterminer un faible ou un haut grade avec une fiabilité de plus de 85 %.1, 5 La détermination du grade (faible grade, par exemple) peut influencer la décision d’une surveillance d’une petite tumeur, d’une tumorectomie chez un patient insuffisant rénal, d’un traitement ablatif chez un patient à risque opératoire. Le taux de biopsies non significatives (échec, biopsie blanche) avec la technique de biopsie actuelle est de moins de 10 %.5 Dans ces cas, une seconde biopsie peut être proposée et réalisée en fonction du contexte clinique et radiologique, avec une rentabilité de plus de 80 %.5
La biopsie améliore-t-elle la prise en charge du patient ?
La biopsie permet dans la majorité des cas un diagnostic fiable des masses rénales (bénignité ou malignité, sous-type tumoral, grade tumoral) au prix d’une faible morbidité. Ce diagnostic peut être fait et communiqué au patient avant toute décision thérapeutique.Avec la biopsie la décision thérapeutique ou de prise en charge peut être discutée et validée en réunion de concertation pluridisciplinaire (RCP) avant d’être proposée au patient. Puis le patient, avec le résultat de la biopsie et l’avis de la RCP, est informé au mieux du projet thérapeutique.L’attitude thérapeutique doit être adaptée aux résultats de la biopsie : une tumeur bénigne peut ne pas nécessiter de traitement chirurgical ; un carcinome papillaire, à risque de multifocalité significatif, impose un examen de toute la surface rénale en cas de chirurgie conservatrice ; une tumeur de haut grade peut remettre en question un traitement conservateur et faire discuter une lymphadénectomie lors de la chirurgie ; une tumeur agressive, de haut grade ou avec une composante sarcomatoïde peut remettre en question un abord cœlios- copique. Une modification de l’attitude thérapeutique en raison du résultat de la biopsie a été rapportée dans 10 à 40 % des cas.7, 8Il est actuellement difficile de proposer des traitements chirurgicaux (tumorectomie, néphrectomie) sans diagnostic fiable et sans validation en RCP. La chirurgie des masses rénales ne doit plus être à la fois diagnostique et thérapeutique.Les bénéfices de la biopsie des masses rénales sont supérieurs aux risques. Elle doit être discutée et proposée à tous les patients ayant une masse rénale indéterminée.
Références
1. Bensalah K, Albiges L, Bernhard JC, et al. Recommandations en onco-urologie 2016-2018 du CC-AFU: cancer du rein. Prog Urol 2016;27:S27-S52.
2. Campbell S, Uzzo RG, Allaf ME, et al. Renal mass and localized renal cancer: AUA guideline. J Urol 2017;198:520-9.
3. Ljunberg B, Albiges L, Bensalah K, et al. EUA Renal cell carcinoma. EAU guidelines, 2017. http://uroweb.org/guideline/renal-cell-carcinoma/
4. Derweesh IH. Percutaneous biopsy of renal masses – When is it necessary? J Urol 2015,196:542-3.
5. Marconi L, Dabestani S, Lam TB et al. Review and meta-analysis of diagnostic accuracy of percutaneous renal tumor biopsy. Eur Urol 2016 69:660-73.
6. Jeon HG, Seo SI, Jeong BC, et al. Percutaneous kidney biopsy for a small renal mass: a critical appraisal of results. J Urol 2016,195:568-73.
7. Neuzillet Y, Lechevallier E, Andre M, Daniel L, Coulange C. Accuracy and clinical role of fine needle percutaneous biopsy with computerized tomography guidance of small (less than 4.0 cm) renal masses. J Urol 2004;171:1802-5.
8. Richard PO, Jewett MA, Bhatt JR, et al. Renal tumor biopsy for small renal masses: a single-center13-year experience. Eur Urol 2015,68:1007-13
2. Campbell S, Uzzo RG, Allaf ME, et al. Renal mass and localized renal cancer: AUA guideline. J Urol 2017;198:520-9.
3. Ljunberg B, Albiges L, Bensalah K, et al. EUA Renal cell carcinoma. EAU guidelines, 2017. http://uroweb.org/guideline/renal-cell-carcinoma/
4. Derweesh IH. Percutaneous biopsy of renal masses – When is it necessary? J Urol 2015,196:542-3.
5. Marconi L, Dabestani S, Lam TB et al. Review and meta-analysis of diagnostic accuracy of percutaneous renal tumor biopsy. Eur Urol 2016 69:660-73.
6. Jeon HG, Seo SI, Jeong BC, et al. Percutaneous kidney biopsy for a small renal mass: a critical appraisal of results. J Urol 2016,195:568-73.
7. Neuzillet Y, Lechevallier E, Andre M, Daniel L, Coulange C. Accuracy and clinical role of fine needle percutaneous biopsy with computerized tomography guidance of small (less than 4.0 cm) renal masses. J Urol 2004;171:1802-5.
8. Richard PO, Jewett MA, Bhatt JR, et al. Renal tumor biopsy for small renal masses: a single-center13-year experience. Eur Urol 2015,68:1007-13