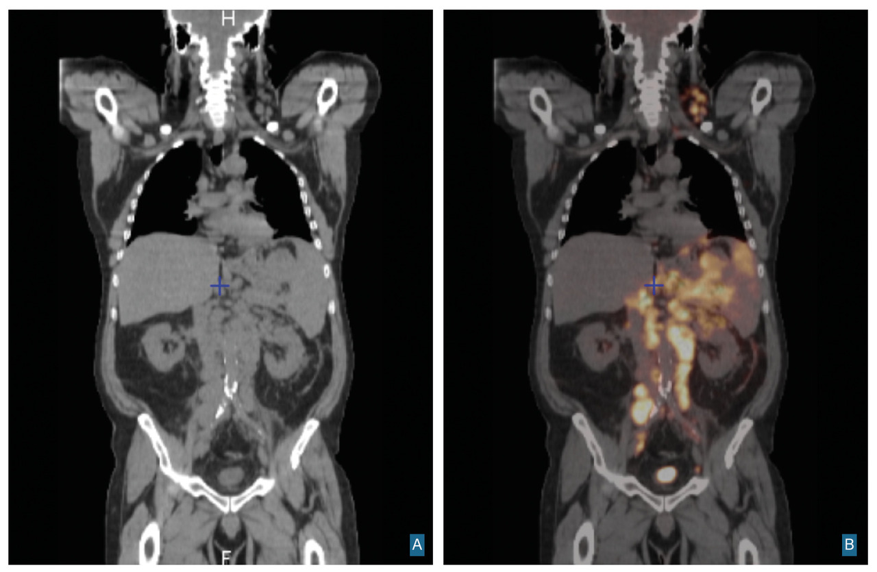
La tomographie à émission de positons ou TEP-scan est un examen scintigraphique fondé sur l’injection d’un radiotraceur (18-fluorodéoxyglucose [18-FDG]) contenant du glucose (et non de l’iode), émetteur de positons ; c’est une imagerie fonctionnelle qui se superpose à l’imagerie anatomique donnée par le scanner. Le diabète ne constitue pas une contre-indication mais doit être équilibré au moment de l’examen pour une interprétation fiable des images. De même, les perfusions de glucose sont prohibées douze heures avant l’examen.
Le TEP-scan permet de détecter des atteintes non visibles en imagerie conventionnelle : atteinte de l’os, de la moelle osseuse, d'autres organes extralymphatiques. Son niveau de résolution est de 5 à 10 mm. L’avidité des cellules pour le glucose marqué varie en fonction du type histologique et du nombre de cellules en cycle (indice mitotique).
Cet examen est utile dans le suivi des patients sous traitement et permet de faire la distinction entre une masse résiduelle non active et une maladie résiduelle active. Il peut également identifier une atteinte médullaire. Des phénomènes inflammatoires (infections) peuvent être à l’origine de faux positifs. Les frissons, le stress peuvent également conduire à modifier la distribution du glucose vers des régions riches en graisse brune (cou). L’utilisation de bêtabloquants avant l’examen peut limiter ce phénomène.
Le TEP-scan permet de détecter des atteintes non visibles en imagerie conventionnelle : atteinte de l’os, de la moelle osseuse, d'autres organes extralymphatiques. Son niveau de résolution est de 5 à 10 mm. L’avidité des cellules pour le glucose marqué varie en fonction du type histologique et du nombre de cellules en cycle (indice mitotique).
Cet examen est utile dans le suivi des patients sous traitement et permet de faire la distinction entre une masse résiduelle non active et une maladie résiduelle active. Il peut également identifier une atteinte médullaire. Des phénomènes inflammatoires (infections) peuvent être à l’origine de faux positifs. Les frissons, le stress peuvent également conduire à modifier la distribution du glucose vers des régions riches en graisse brune (cou). L’utilisation de bêtabloquants avant l’examen peut limiter ce phénomène.