Une patiente de 52 ans consulte pour une tuméfaction périanale ulcérée, indolore, apparue depuis six mois (fig. 1).

La tumeur d’Abrikossoff, ou tumeur à cellules granuleuses, est une tumeur bénigne rare dérivée des cellules de Schwann. Elle peut toucher divers organes, principalement la bouche mais aussi la région génitale, l’arbre respiratoire et le tube digestif, avec une prédilection pour l’œsophage. L’atteinte anorectale est exceptionnelle (moins d’une trentaine de cas rapportés).

Souvent asymptomatique, elle survient majoritairement chez des adultes entre 20 et 60 ans, avec une possible prédominance féminine. Au niveau anal, elle se présente généralement comme un nodule unique, ferme, sous-cutané ou sous-muqueux, bien limité, mesurant moins de 2 cm. La transformation maligne est exceptionnelle mais doit être suspectée en cas de taille supérieure à 3 cm, de croissance rapide et/ou d’ulcération. L’imagerie permet de préciser la taille et les rapports anatomiques.

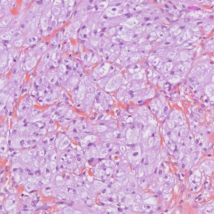
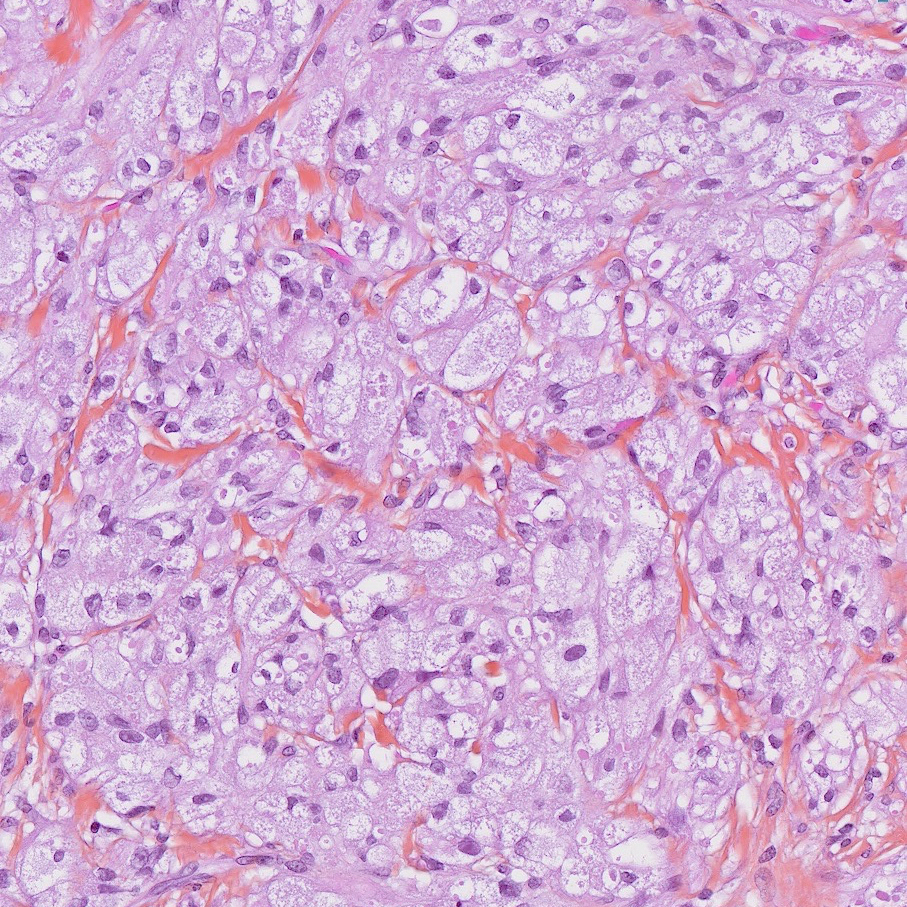
Le diagnostic formel repose sur l’histologie : cellules polygonales à cytoplasme granuleux éosinophile, à coloration PAS (Periodic Acid Schiff) positive (fig. 2). L’immuno-histochimie est caractéristique.

Les principaux diagnostics différentiels sont les diverses tumeurs cutanées (neurofibrome, lipome, schwannome…), le kyste sébacé, l’hidradénome papillifère, le molluscum contagiosum et les carcinomes.

Le traitement repose sur l’exérèse. La récidive est exceptionnelle en cas de marges saines. 

Pour en savoir plus
Ma J, Cheng Y, Li X, et al. Rare case of granular cell tumor of perianal region: A case report and literature review. J Int Med Res 2021;49(1):300060520982689.
Mehta CH, Kantzler EJ, Suzuki M, et al. A Rare Case of Granular Cell Tumor of the Anus. Clin Case Rep 2024;12(12):e9688.

Une question, un commentaire ?

promo