Diagnostiquer une tumeur vésicale.
Le cancer de la vessie occupe en France la cinquième place en termes d’incidence (14/100 000 habitants/an en France) et la septième au rang des décès tous cancers confondus. Il est en termes de fréquence le deuxième cancer urologique après celui de la prostate. L’âge moyen au diagnostic est de 70 ans, avec un ratio homme-femme d’environ 4/1.
Devant la fréquence et les caractères récidivants des tumeurs vésicales, leur prise en charge est un enjeu de santé publique. La prévention du cancer de la vessie passe par la lutte contre le tabagisme et l’exposition professionnelle aux carcinogènes urinaires.

Anatomopathologie

L’urothélium est l’épithélium de revêtement de l’arbre urinaire, le tapissant des cavités excrétrices rénales au méat urétral. Les tumeurs urothéliales peuvent donc toucher de façon synchrone ou métachrone les voies excrétrices supérieures (5-10 % des tumeurs urothéliales), la vessie ou l’urètre. L’urothélium vésical est le siège principal des tumeurs urothéliales en raison de sa surface plus importante et du temps de contact prolongé avec les carcinogènes urinaires.
Le cancer de la vessie est dans plus de 90 % des cas un carcinome urothélial, issu de la transformation maligne de l’urothélium qui borde la lumière de l’appareil urinaire (cavités pyélo-calicielles, uretère, vessie, urètre).
Il faut différencier les tumeurs vésicales n’infiltrant pas le muscle (TVNIM) [détrusor], et celles infiltrant le muscle (TVIM).
Les TVNIM représentent environ 75-85 % des cas, avec comme principal risque la récidive (60-70 % à un an) et la progression vers une TVIM dans 10-20 % des cas.
Dans 15-25 % des cas il s’agit donc d’une tumeur d’emblée infiltrante (TVIM), pouvant être associée à un envahissement ganglionnaire dans 20-60% des cas, et/ou d’emblée métastatique dans 7 % des cas.
Dans moins de 10 % des cas, les tumeurs de vessie peuvent être :
un adénocarcinome épidermoïde, retrouvé dans les inflammations vésicales chroniques, notamment chez les patients sondés à demeure, les infections urinaires chroniques, ou la bilharziose urinaire ;
un adénocarcinome ;
un carcinome neuro-endocrine ;
une tumeur conjonctive, bénigne (léiomyome) ou maligne (sarcome).

Carcinogènes

Tabac
Environ 50 % des tumeurs de vessie sont imputables au tabagisme. Les fumeurs ont 4 fois plus de risque de développer un carcinome urothélial vésical. Ce risque est dépendant du nombre de cigarettes fumées et de la durée de l’exposition. L’arrêt de la consommation de tabac permet une diminution du risque de survenue de carcinome urothélial, qui rejoint celui des non-fumeurs après 20 ans de sevrage.

Exposition professionnelle

En France, 2-14 % des cancers de la vessie ont une origine professionnelle (tab. 15 ter et 16 bis du régime général et tab. 10 du régime agricole). Sont principalement concernés les métiers de la teinture, du caoutchouc, du goudron et de la métallurgie.
Les principales substances incriminées sont :
les amines aromatiques, interdites en France depuis 1989, qui étaient principalement employées dans l’industrie des colorants, des matières plastiques, du caoutchouc ;
les nitrosamines, retrouvées dans l’industrie des colorants, du tannage de cuir, du caoutchouc ;
les hydrocarbures aromatiques polycycliques, retrouvés dans la production d’aluminium, de coke, la combustion du charbon, les fonderies d’acier et de fer, la préparation des goudrons ;
l’arsenic, employé comme insecticide, herbicide, fongicide et pour le tannage du cuir.
La Société française de médecine du travail recommande la mise en place d’un dépistage 20 ans après le début de l’exposition par la réalisation d’une cytologie urinaire tous les 6 mois.

Autres facteurs de risque

Ce sont :
la radiothérapie pelvienne ;
le cyclophosphamide (chimiothérapie), pouvant également être responsable de cystite hémorragique. Le temps de latence après l’exposition varie de 6 à 13 ans.
Signes cliniques évocateurs

Hématurie macroscopique

Retrouvée dans 80 % des cas, elle est la circonstance de découverte de la tumeur vésicale la plus fréquente. Elle est le plus souvent terminale, mais peut être totale avec présence de caillots pouvant conduire à une rétention aiguë d’urine et une déglobulisation.
Toute hématurie macroscopique doit faire rechercher une tumeur de vessie et/ou des voies excrétrices supérieures.

Symptômes de la phase de remplissage (antérieurement signes fonctionnels urinaires irritatifs)

Une pollakiurie diurne et/ou une nycturie et/ou des urgenturies sont présentes dans 20 % des cas. Des symptômes de la phase de remplissage isolés même en l’absence d’hématurie macro­scopique doivent faire évoquer le diagnostic de tumeur vésicale.

Signes d’extension locorégionaux ou à distance

Ce sont :
douleurs lombaires pouvant témoigner d’une urétéro-hydronéphrose par envahissement du méat urétéral ou par compression extrinsèque par des métastases ganglionnaires ;
douleurs osseuses (métastases osseuses) ;
altération de l’état général (asthénie, anorexie et amaigrissement).
Examen clinique
Interrogatoire

Interrogatoire

Il permet de rechercher :
des facteurs de risque tels que tabagisme, exposition professionnelle, irradiation pelvienne, etc. ;
une hématurie macroscopique, des signes irritatifs vésicaux (pollakiurie, urgenturie) ;
une altération de l’état général, des signes évocateurs d’une extension loco-régionale et, à distance, des signes en faveur d’une anémie chronique (asthénie, dyspnée d’effort).

Examen physique

Il est peu contributif en cas de TVNIM.
L’examen recherche à la palpation abdominale une masse hypo­gastrique en cas de tumeur volumineuse ou d’un globe vésical. La palpation lombaire recherche une douleur par mise en tension des voies excrétrices supérieures.
Les touchers pelviens sont réalisés à la recherche d’un blindage pelvien signant une extension extra-vésicale.
La palpation des aires ganglionnaires recherche des adénopathies.
On recherche également des signes en faveur d’une anémie (pâleur conjonctivale, etc.).

Examens complémentaires

Cytologie urinaire à la recherche de cellules néoplasiques

Cytologie urinaire à la recherche de cellules néoplasiques

Il s’agit d’un examen anatomo-pathologique du sédiment urinaire, différent de l’examen cytobactériologique des urines (ECBU). Les cytologies urinaires permettent également le grading cellulaire selon la classification de l’Organisation mondiale de la santé 2004, score histo-pronostique distinguant des carcinomes de bas et haut grade.
Elles possèdent de bonnes sensibilité et spécificité pour les tumeurs de haut grade, moindres pour celles de bas grade. Leur négativité n’exclut donc pas le diagnostic de tumeur de vessie. Leur positivité traduit généralement la présence d’une tumeur de haut grade de la voie excrétrice urinaire mais non spécifique à la vessie (tumeurs des voies excrétrices supérieures).

Échographie vésicale par voie sus-pubienne

Réalisée vessie en réplétion, elle a une bonne sensibilité pour les tumeurs de vessie dont la taille est supérieure à 5 mm (sensibilité : 84 %). Elle permet également d’explorer un éventuel retentissement sur le haut appareil (dilatation des cavités pyélo- calicielles) pouvant traduire une infiltration du muscle vésical ou une localisation au niveau du trigone avec envahissement du méat urétéral correspondant.
Elle reste cependant dépendante de l’opérateur et de la morphologie du patient (peu échogène si obèse), et est de moins en moins réalisée depuis l’avènement de l’uro-tomodensitométrie (uro-TDM).

Uro-TDM

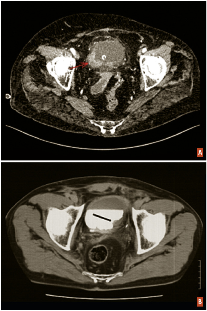
L’uro-TDM est une tomodensitométrie abdomino-pelvienne avec et sans injection de produit de contraste associée à une acquisition en temps tardif permettant une exploration de la voie excrétrice dans sa totalité. Elle a une sensibilité supérieure à l’échographie vésicale pour le diagnostic de tumeur urothéliale, y compris de petite taille. Elle permet d’apprécier le retentissement sur le haut appareil et la découverte de lésions synchrones, ainsi que l’extension loco-régionale et ganglionnaire (fig. 2).

Urétro-cystoscopie

L’urétro-cystocopie, ou fibroscopie vésicale, permet l’exploration endoscopique de la vessie (fig. 3). Elle est réalisée en consultation sous anesthésie locale, après vérification de la stérilité des urines et permet de confirmer la présence d’une tumeur de vessie mais aussi de préciser le nombre, la taille, la topographie et l’aspect de la tumeur (papillaire, sessile, ou plage érythémateuse en cas de carcinome in situ). Elle permet aussi d’éliminer les diagnostics différentiels de tumeur vésicale en échographie, notamment l’existence d’un caillot sanguin intra-vésical.

Résection transurétrale de la vessie

La résection transurétrale de vessie (RTUV) est l’examen indispensable dans la prise en charge des tumeurs vésicales. Elle a à la fois un rôle diagnostique en permettant l’analyse anatomo-pathologique de la tumeur, permettant de faire la distinction entre TVNIM et TVIM, et un rôle thérapeutique en procédant à l’ablation de la tumeur.
Les conditions de sa réalisation sont les suivantes :
anesthésie générale au bloc opératoire ou rachianesthésie ;
contrôle de la stérilité des urines ;
arrêt ou relais impératif des anticoagulants ;
résection profonde permettant d’emporter du muscle vésical, afin d’en rechercher une potentielle infiltration qui signe une tumeur de vessie infiltrant le muscle (TVIM) ;
cartographie endovésicale pour les anatomo-pathologistes ;
L’analyse histologique des copeaux de résection est indispensable afin de préciser :
le type histologique (carcinome urothélial dans 90 % des cas, adénocarcinome, carcinome neuro-endocrine) ;
le stade en fonction de la classification TNM (fig. 5, tableau).
le grade cellulaire selon la classification de l’OMS 2004 : bas ou haut grade.

Bilan d’extension

Tumeurs de vessie n’infiltrant pas le muscle
Les TVNIM étant des tumeurs non infiltrantes, aucun bilan d’extension n’est nécessaire. Cependant, une uro-TDM est recommandée afin de rechercher une tumeur urothéliale synchrone du haut appareil, en particulier si la lésion vésicale est volumineuse et/ou de haut grade. Cette oro-TDM est à réaliser tous les 2 ans dans le cadre du suivi de ces tumeurs.

Tumeurs vésicales infiltrant le muscle

Examen clinique
Il comprend les touchers pelviens à la recherche d’un blindage pelvien et la palpation des aires ganglionnaires.

TDM thoraco-abdomino-pelvienne avec injection de produit de contraste et temps tardif urinaire

Elle est réalisée sous réserve d’une fonction rénale normale et :
évalue l’extension loco-régionale, l’infiltration de la graisse péri- vésicale, les rapports avec les organes de voisinage ;
recherche un envahissement métastatique ganglionnaire, principalement ilio-obturateur ou iliaque ;
recherche l’existence de métastases à distance, principalement hépatiques, pulmonaires ou osseuses ;
recherche la présence d’une tumeur synchrone des voies urinaires supérieures.

Scintigraphie osseuse

Elle est indiquée en cas de point d’appel clinique, et à confronter à un scanner centré sur la zone hyperfixante en cas de doute diagnostique.

Prise en charge thérapeutique des carcinomes urothéliaux vésicaux

Quel que soit le stade ou le grade tumoral, certaines mesures communes sont à mettre en place :
arrêt de l’exposition aux carcinogènes vésicaux (sevrage tabagique, reclassement professionnel, etc.) ;
demande de prise en charge à 100 % dans le cadre de la liste des ALD 30 ;
certificat médical initial pour la reconnaissance en maladie professionnelle en cas d’exposition professionnelle ;
discussion du dossier en réunion de concertation pluridisciplinaire (RCP) ;
consultation d’annonce ;
mise en place d’un programme personnalisé de soins à remettre au patient.

Tumeurs de vessie n’infiltrant pas le muscle

La prise en charge thérapeutique des TVNIM consiste en un traitement local, représenté par la résection transurétrale de vessie plus ou moins associée à des instillations endovésicales (immunothérapie ou chimiothérapie) en fonction des risques de récidive et de progression vers une TVIM.
Les facteurs de risque de récidive des TVNIM sont :
les tumeurs multifocales ;
les tumeurs de taille > 3 cm ;
les antécédents de tumeurs vésicales et le délai entre les récidives.
Les facteurs de risque de progression vers une TVIM sont :
le stade pT1;
les tumeurs de haut grade ;
la présence d’un carcinome in situ associé.
Il existe une classification permettant de stratifier les TVNIM en fonction de leur risque évolutif :
tumeur à faible risque (tumeur de bas grade, pTa, unique, < 3 cm, non récidivante) ;
tumeur à risque intermédiaire (pTa de bas grade, multifocal, > 3 cm, récidivant, pT1 de bas grade) ;
tumeur à haut risque (tumeur pTa ou pT1 de haut grade, pT1 récidivant, Cis).

Résection transurétrale de vessie

Son intérêt est double, diagnostique (examen anatomo-pathologique) et thérapeutique pour les TVNIM.
En cas de tumeur de stade pT1 et/ou de haut grade, une 2e résection transurétrale de vessie est recommandée afin de procéder à une nouvelle résection de la zone tumorale pour ne pas méconnaître une sous-stadification d’une TVNIM en TVIM. La résection transurétrale de vessie de « second look » est également recommandée en cas de première résection incomplète avec absence de muscle détrusor sur les copeaux de résection.
La résection peut s’accompagner d’un photodiag­nostic dynamique par fluorescence (fig. 6) permettant d’en améliorer la qualité et donc de prévenir les récidives. L’instillation intravésicale pré-résection transurétrale de vessie d’acide hexamino-lévulinate permet de faciliter le repérage des zones tumorales, notamment en cas de tumeurs planes (Cis) en rendant ces zones fluorescentes lorsque la résection transurétrale de vessie est réalisée en lumière bleue. Cette technique est recommandée dans certaines situations à risque (tumeurs multi­focales, > 3 cm, de haut grade).
Instillations endovésicales
L’objectif des instillations endovésicales est de prévenir la récidive d’une TVNIM, et la progression vers une TVIM.
Deux types d’instillations peuvent être proposés :
la chimiothérapie intravésicale par mitomycine C. La mito­mycine C a une activité cytotoxique directe contre les cellules tumorales endovésicales. Elle diminue le risque de récidive des TVNIM mais n’a pas d’effet sur le risque de progression. Son utilisation est recommandée en cas de TVNIM de risque intermédiaire ;
l’immunothérapie par instillation de bacille de Calmette et Guérin (BCG). La BCG-thérapie entraîne une réaction immunitaire antitumorale locale. Elle diminue le risque de récidive et de progression des TVNIM, en particulier en cas de Cis. Son profil de tolérance est cependant moins bon que la chimiothérapie intra­vésicale. La BCG-thérapie est recommandée en cas de TVNIM à haut risque.

Suivi

La surveillance repose sur :
la cystoscopie, sous anesthésie locale en consultation ;
les cytologies urinaires ;
l’uro-TDM en cas de facteurs de risque de récidive ou de progression.
Compte tenu du risque de récidive et de progression, la durée de suivi recommandée est longue : 10 ans (TVNIM de faible risque) ; à vie (TVNIM de risque intermédiaire et haut).

TVIM

TVIM non métastatiques

TVIM non métastatiques

Une chimiothérapie néo-adjuvante à base de sels de platine est actuellement recommandée pour permettre l’éradication de micrométastases. Son utilisation permet une amélioration de la survie d’environ 6 % à 5 ans.
Le traitement de référence est cependant chirurgical. Il s’agit :
d’une cystoprostatectomie totale chez l’homme (emportant la vessie, la prostate et les vésicules séminales) ;
d’une pelvectomie antérieure chez la femme (exérèse en bloc de la vessie, de l’utérus, des annexes, de la paroi antérieure du vagin).
Ce geste d’exérèse doit être associé à un curage ilio-obturateur et iliaque bilatéral étendu.
La dérivation des urines peut être réalisée de deux manières :
par une entérocystoplastie (ou vessie de remplacement) qui consiste en la création d’une néo-vessie à l’aide d’une anse intestinale détubulée. Cette technique permet la préservation de la fonction mictionnelle et une conservation de l’image corporelle. Cette technique est contre-indiquée en cas d’envahissement de l’urètre pour l’homme et du col vésical pour la femme, de maladie inflammatoire intestinale et d’insuffisance rénale chronique sévère ;
par une urétérostomie cutanée trans-iléale qui consiste en un prélèvement d’un segment d’iléon amené à la peau sous forme d’une stomie. Les deux uretères sont anastomosés à ce segment d’iléon.
En cas de contre-indication à la chirurgie, une radio-chimiothérapie concomitante peut être indiquée. Cependant, son efficacité sur le contrôle de la maladie est inférieure à celle du traitement chirurgical de référence.

TVIM métastatiques

Le traitement de référence est la chimiothérapie à base de sels de platine. Malgré ces traitements, le pronostic est extrêmement réservé, avec une médiane de survie de 14 à 15 mois.

Suivi

L’objectif est de prévenir et de traiter précocement une récidive locale ou métastatique. L’examen clinique et la réalisation de scanners thoraco-abdomino-pelviens réguliers sont recommandés.

Les tumeurs de vessie peuvent faire l’objet d’une question pour l’ECN, dans le cadre du bilan d’une hématurie macroscopique, amenant à faire le diagnostic d’un carcinome urothélial vésical. Le sujet pourra être également croisé avec des questions sur la prise en charge de l’addiction au tabac (v. item no 73), ou l’exposition professionnelle et les procédures de reconnaissance en maladie professionnelle.

Mais aussi :

Points forts
Tumeurs vésicales

POINTS FORTS À RETENIR

Dans plus de 90 % des cas il s’agit d’un carcinome urothélial. Il faut distinguer les TVNIM (tumeur n’infitrant pas le muscle vésical) et les TVIM (tumeur infiltrant le muscle vésical) dont le pronostic et la prise en charge sont très différents.

Terrain : homme, âge > 50 ans, tabagisme, exposition professionnelle.

Signes cliniques évocateurs : hématurie macroscopique dans 80 % des cas.

Bilan diagnostique : cytologies urinaires, urétro-cystoscopie, uroscanner.

La résection transurétrale de vessie a un rôle diagnostique et thérapeutique. Elle permet de réaliser le bilan lésionnel, d’effectuer la cartographie tumorale, de faire le diagnostic histologique, le grading cellulaire et, en emportant du muscle vésical, de faire la distinction entre TVNIM et TVIM.

Message auteur

Tumeurs vésicales

Pour en savoir
Babjuk M, Böhle A, Burger M, Compérat E, Kaasinen E, Palou J, et al. Guidelines on non-muscle-invasive bladder cancer (Ta, T1 and CIS). European of Urology 2015. http://uroweb.org/wp-content/uploads/EAU-Guidelines-Non-muscle-invasive-Bladder-Cancer-2015-v1.pdf

Witjes JA, Compérat E, Cowan NC, De Santis M, Gakis G, James N, et al. Guidelines on muscle-invasive and metastatic bladder Cancer. European of Urology 2015. http://uroweb.org/wp-content/uploads/EAU-Guidelines-Muscle-invasive-and-Metastatic-Bladder-Cancer-2015-v1.pdf

Pfister C, Roupret M, Neuzillet Y, Larré S, Pignot G, Quintens H, et al. ; les membres du CCAFU. Recommandations en onco-urologie 2013 du CCAFU : tumeurs de la vessie. Prog Urol, 2013;23:S105-S125, suppl. 2. http://urofrance.org/nc/science-et-recherche/base-bibliographique/ article/html/recommandations-en-onco-urologie-2013-du-ccafu-tumeurs- de-la-vessie.html

Irani J. Prise en charge des tumeurs de vessie n'infiltrant pas le muscle (TVNIM). Prog Urol 2009;19,4:248-53.

Dans cet article

Ce contenu est exclusivement réservé aux abonnés