objectifs
Argumenter les principales hypothèses diagnostiques et justifier les examens complémentaires pertinents. Argumenter l'attitude thérapeutique et planifier le suivi de l'évolution.

Définition

Les vomissements se définissent comme des rejets actifs du contenu gastrique ou intestinal par la bouche, secondaires à des contractions du diaphragme et de la musculature abdominale. Ils ont souvent un caractère pénible et peuvent être associés à une sensation de malaise (de type vagal avec pâleur). Ils peuvent être alimentaires, bilieux ou hémorragiques.
Ils sont à différencier :
  • des régurgitations, rejets alimentaires réalisés sans effort, souvent postprandiaux et de faible quantité, observées essentiellement chez le jeune nourrisson (âge < 6 mois). Elles sont parfois accompagnées d’une éructation (rot) qui survient de façon physio­logique en raison du volume d’air dégluti par un nourrisson lors de la tétée ;
  • du mérycisme, phénomène de rumination observé chez des sujets qui font remonter de façon volontaire ou automatique des aliments de l’estomac jusque dans la bouche, puis à nouveau mâchés et déglutis. Celui-ci peut être en relation avec un authentique reflux gastro-œsophagien pathologique, ou bien être de mécanisme psychogène chez des enfants victimes d’une carence affective.

Démarche diagnostique

Les vomissements sont un symptôme fréquent, peu spécifique, pouvant révéler de nombreuses pathologies dont certaines peuvent être sévères, ou être à l’origine de complications sévères (déshydratation, dénutrition, œsophagite). La démarche étiologique doit donc être rigoureuse, essentiellement clinique, fondée sur l’inter­rogatoire puis sur l’examen.

Interrogatoire et étude du carnet de santé

Ils permettent de préciser :
  • les caractéristiques des vomissements :
. âge de début : intervalle libre par rapport à la naissance, après la diversification ou l’introduction de type d’aliment particulier (lait de vache, gluten, légumes ou fruits),
. horaire par rapport aux repas,
. aspect : vomissements bilieux, alimentaires, hémorragiques,
. fréquence : répétés, journaliers, épisodiques,
. caractère douloureux,
. facteurs déclenchants : changements de position, effort, toux, consommation d’un type d’aliment riche en protéines (viande, poisson…), en fructose (fruits, légumes, miel…),
. abondance : difficile à apprécier par l’interrogatoire car souvent majorée par les parents ;
  • l’alimentation de l’enfant :
. mode de préparation et de reconstitution des biberons,
. nombre de prises alimentaires et quantités,
. historique de l’alimentation depuis la naissance, avec le type d’allaitement (au sein ou artificiel), les changements de lait, les dates d’introduction des type d’aliments particuliers (lait de vache, gluten, légumes ou fruits) ;
  • l’association à d’autres symptômes :
. généraux : fièvre et/ou contexte infectieux, soif, anorexie, amaigrissement, malaise,
. digestifs : diarrhée ou au contraire transit ralenti, douleurs abdo­minales, rectorragies, dysphagie, voire blocages alimentaires,
. respiratoires : toux, bronchopneumopathie à répétition,
. neurologiques : retard de développement, voire régression psychomotrice, céphalées, troubles oculomoteurs (diplopie),
. analyse des courbes de croissance : cassure de la courbe de poids, infléchissement de la taille, augmentation trop rapide ou au contraire stagnation du périmètre crânien ;
  • les antécédents du patient et de la famille :
. grossesse normale ou pathologique,
. naissance prématurée, hypotrophie,
. régurgitations précoces après la naissance,
. traumatisme récent,
. développement psychomoteur,
. prise de médicaments ou de toxiques.

Examen clinique

Il recherche :
  • un retentissement des vomissements :
. déshydratation, en cas de vomissements aigus et abondants,
. dénutrition en cas de vomissements chroniques chez le jeune nourrisson,
. encombrement respiratoire avec toux quinteuse, dyspnée, râles bronchiques à l’auscultation ;
  • des signes orientant vers une cause :
. fièvre, altération de l’état général (teint gris, apathie…),
. odeur acétonique de l’haleine,
. foyer infectieux ORL : rhinopharyngite, otite, angine,
. météorisme abdominal, sensibilité ou douleur provoquée à la palpation, défense voire contracture, orifices herniaires, hépato­mégalie,
. anomalies des organes génitaux (hernie inguinale, douleur du cordon spermatique, trouble de la différenciation sexuelle),
. troubles de la conscience, raideur méningée, fontanelle tendue, trouble de l’équilibre ou de la marche, anomalies des paires crâniennes.

Examens complémentaires

Il n’y a pas d’examen complémentaire à réaliser de façon systématique devant des vomissements chez l’enfant. Des examens complémentaires peuvent être demandés pour confirmer une orientation clinique, d’où l’importance d’un interrogatoire et d’un examen rigoureux, ou parfois pour apprécier le retentissement des vomissements (ionogramme sanguin, gaz du sang).

Causes

En pratique, il faut distinguer les vomissements aigus ou récents et les vomissements chroniques ou récidivants, bien que certaines causes puissent appartenir aux deux catégories.

Vomissements aigus ou récents

Il est important de ne pas méconnaître une urgence chirurgicale ou médicale.

Affections chirurgicales

De nombreuses affections chirurgicales peuvent entraîner des vomissements, et nécessitent en général une prise en charge urgente.
Sténose hypertrophique du pylore (SHP) : c’est une affection fréquente (1 pour 400 naissances) atteignant plus souvent le garçon (3 fois sur 4) avec parfois un caractère familial (15 % des cas). Une hypertrophie progressive du muscle pylorique (dont la cause reste inconnue) provoque un obstacle sur lequel les contractions de l’estomac viennent buter. La sténose hypertrophique du pylore apparaît chez le nourrisson âgé de 3 à 5 semaines (intervalle libre pouvant varier de 10 jours à 3 mois après la naissance) présentant des vomissements de lait (jamais bilieux), en jets. La symptomatologie s’aggrave progressivement, avec des vomissements de plus en plus tardifs après les tétées chez un nourrisson dont l’appétit est conservé ou qui est même affamé, accompagnés d’une diminution du nombre de selles. Le retentissement sur l’état général est variable, avec une stagnation ou une perte de poids, une déshydratation lorsque les vomissements sont fréquents, voire une dénutrition lorsqu’ils sont moins abondants mais se prolongent plusieurs jours avant que le diagnostic ne soit posé.
L’examen clinique recherche un météorisme épigastrique avec clapotage à jeun lié à la stase gastrique, et, après un biberon, des ondulations péristaltiques visibles à jour frisant, transversales, parcourant l’hypochondre de gauche à droite. Ces signes ne sont présents que dans les formes évoluées. La palpation retrouve de façon inconstante une masse ferme et mobile, oblongue, au niveau de l’hypochondre droit correspondant à l’olive pylorique.
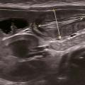
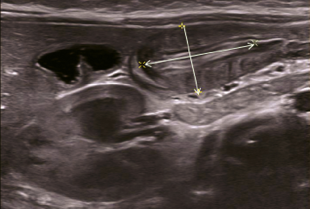
Une radiographie d’abdomen sans préparation (ASP), faite au moins une heure après la dernière tétée, montre un estomac qui reste plein avec un niveau hydro-aérique gastrique, associé à une rareté de l’aération du grêle. Cet abdomen sans préparation n’est plus recommandé depuis janvier 2009 par la Haute Autorité de santé (HAS). Le diagnostic repose sur l’échographie abdominale (fig. 1) qui montre l’olive pylorique avec une image en cible (coupe transversale) ou en sandwich (coupe longitudinale). Les mensurations du muscle pylorique sont augmentées (longueur > 17 mm, diamètre total > 13 mm, épaisseur musculaire > 4 mm). L’estomac est en stase avec de rares passages transpyloriques. En cas de mensurations limites, l’échographie sera refaite après 24 ou 48 heures montrant alors des signes plus francs. Le transit œsogastroduodénal n’est plus réalisé pour le diagnostic de sténose du pylore.
Le bilan est complété par un ionogramme sanguin et une gazo­métrie montrant une alcalose hypochlorémique, désordres hydro- électrolytiques qu’il faudra corriger par une réhydratation intraveineuse avant l’anesthésie générale nécessaire à l’intervention chirurgicale (pylorotomie extramuqueuse).
Invagination intestinale aiguë : elle doit être évoquée chez un enfant présentant brutalement des accès de douleurs intenses paro­xystiques, associés à des vomissements et un refus d’alimentation. La palpation abdominale recherche le boudin d’invagination en fosse iliaque droite, souvent difficile à mettre en évidence. La radiographie d’abdomen sans préparation peut évoquer le diagnostic devant une fosse iliaque déshabitée, mais c’est l’échographie abdo­minale, indispensable devant ce tableau clinique, qui établit le diagnostic en montrant une image en cocarde (coupe transversale) ou en sandwich (coupe longitudinale) correspondant à l’invagination. Le lavement radio-opaque confirme l’invagination et permet le plus souvent sa réduction. En cas de contre-indication, dans les formes vues tardivement (occlusion, perforation digestive), ou d’échec du lavement, l’intervention chirurgicale en urgence permettra la désinvagination et la résection éventuelle d’une lésion intestinale. On retiendra que toute occlusion intestinale aiguë du petit enfant est une invagination intestinale jusqu’à preuve du contraire.
Appendicite aiguë et péritonite : l’appendicite aiguë est une urgence chirurgicale fréquente, de diagnostic parfois difficile. Typiquement, l’enfant présente une douleur spontanée et récente de la fosse iliaque droite, d’intensité croissante, associée à une fébricule et parfois des vomissements. Des selles liquides peuvent se voir initialement. L’examen clinique recherche une défense à la palpation. On peut trouver sur le bilan biologique un syndrome inflammatoire (polynucléose, protéine C réactive [CRP] élevée), sur la radiographie d'abdomen sans préparation des niveaux hydro-aériques et/ou une calcification (stercolithe) au niveau de la fosse iliaque droite, mais celle-ci n’est plus recommandée (HAS, janvier 2009). L’échographie peut visualiser un épaississement inflammatoire de l’appendice, parfois le stercolithe voire un abcès. La présentation clinique peut être aspécifique au début, et c’est alors l’évolution, montrant la persistance de douleurs de plus en plus intenses et l’apparition d’une défense nette de la fosse iliaque droite, qui confirmera le diagnostic.
En cas de localisation inhabituelle de l’appendice, la symptomatologie peut être atypique, avec des signes urinaires (appendicite pelvienne), hépatiques (appendicite sous-hépatique), un psoïtis (appendicite rétrocæcale), ou une occlusion fébrile (appendicite mésocœliaque),
Chez le nourrisson, l’appendicite est rare mais de diagnostic difficile, se manifestant par des selles liquides, des vomissements et de la fièvre, évoquant une gastro-entérite aiguë, mais avec une altération de l’état général (asthénie, teint gris) et un météorisme abdominal douloureux qui doivent alerter.
Le tableau de péritonite est généralement de diagnostic facile, avec des douleurs abdominales intenses, des vomissements, une fièvre, et une contracture à la palpation abdo­minale. Une hypothermie et/ou une leucopénie sont parfois observées, réalisant un signe de gravité supplémentaire. L’intervention, réalisée en urgence, permettra de confirmer le diagnostic et de réaliser l’appendicectomie. En l’absence d’appendicite, une autre cause (notamment un diverticule de Meckel infecté) sera recherchée.
Occlusion intestinale : un syndrome occlusif est défini par des vomissements bilieux associés à des douleurs abdominales et un arrêt des matières et des gaz.
Chez le nouveau-né, l’occlusion peut survenir dès la naissance (malformation congénitale du tube digestif) et nécessite généralement une intervention chirurgicale plus ou moins urgente.
En cas d’occlusion haute (vomissements bilieux, météorisme sus-ombilical, élimination possible de méconium), il faut évoquer une sténose ou une atrésie du grêle siégeant souvent au niveau du duodénum.
En cas d’occlusion basse (vomissements plus tardifs, absence d’émission du méconium, météorisme abdominal diffus, nombreux niveaux hydro-aériques sur l’abdomen sans préparation), le lavement opaque peut être utile pour orienter vers un iléus méconial (complication néonatale de la mucoviscidose), une atrésie iléale ou colique, une maladie de Hirschsprung.
En cas de vomissements bilieux d’apparition brutale associés à des douleurs abdominales survenant après un intervalle libre, un volvulus du grêle sur malrotation intestinale doit être évoqué. Son pronostic est très sombre en cas de retard à la prise en charge, avec une nécrose possible de tout l’intestin grêle. La moindre suspicion de ce diagnostic doit faire réaliser une échographie abdominale avec Doppler (étude des vaisseaux mésentériques en recherchant une rotation anormale de la veine autour de l’artère) et conduire à l’intervention chirurgicale en extrême urgence.
Chez le nourrisson et l’enfant, un tableau occlusif doit faire évoquer une hernie inguinale étranglée, une occlusion sur bride (si antécédent de chirurgie abdominale), une malrotation intestinale compliquée d’un volvulus (au même titre que le nouveau-né), une invagination intestinale de cause secondaire (diverticule de Meckel, lymphome digestif, purpura rhumatoïde…). Une occlusion fébrile est généralement due à une appendicite aiguë, parfois un diverticule de Meckel infecté.
Un épisode subocclusif chez un nourrisson constipé et météorisé depuis la naissance doit faire évoquer une maladie de Hirschsprung (retard d’émission du méconium à la naissance, distension aérique mais absence d’aération rectale sur l’abdomen sans préparation, disparité de calibre colique au lavement opaque, absence de réflexe recto-anal inhibiteur à la manométrie, absence de cellules ganglionnaires sur la biopsie rectale).
Torsion du cordon spermatique ou torsion d’annexe : une torsion est évoquée devant des douleurs abdominales brutales, associées parfois à des vomissements. La palpation du canal inguinal et du testicule fera le diagnostic de torsion du cordon spermatique, et l’écho-Doppler du pelvis celui de torsion de l’annexe, parfois favorisée par la présence d’un kyste ou d’une tumeur ovarienne. Il faut noter que beaucoup d’adolescents ne localisent pas directement la douleur au niveau des organes génitaux pour des raisons de pudeur. C’est pourquoi l’examen des organes génitaux externes et des orifices herniaires doit être systématique devant tout vomissement accompagné de douleurs abdominales. Le traitement chirurgical est urgent en raison du risque de nécrose du testicule ou de l’ovaire.

Affections médicales

Origine alimentaire : une erreur diététique doit être recherchée systématiquement chez le jeune nourrisson. Il peut s’agir d’une erreur quantitative (volume) ou qualitative (reconstitution du biberon).
Causes infectieuses : en cas de fièvre, on recherche une infection qui peut s’accompagner de vomissements, parfois au premier plan, notamment chez le nourrisson :
  • infections ORL : rhinopharyngite, otite, angine ;
  • infections pulmonaires : broncho-pneumopathies virales, pneumonie lobaire aiguë (fièvre à 39-40 °C, vomissements avec parfois syndrome pseudo-appendiculaire associé ou syndrome méningé) ;
  • gastro-entérites aiguës : les vomissements peuvent précéder l’apparition de la diarrhée ;
  • hépatites virales : vomissements, douleurs abdominales, rarement ictère ;
  • infections urinaires hautes (pyélonéphrite) chez le nourrisson ;
  • méningites virales ou bactériennes et méningo-encéphalite : les signes méningés peuvent être frustes ou absents chez le nourrisson.
Causes digestives ou urinaires : elles sont évoquées lorsque les vomissements sont associés à des douleurs abdominales ou lombaires :
  • lésions aiguës gastroduodénales (gastrite, ulcère) : douleur épigastrique, vomissements parfois hémorragiques ;
  • purpura rhumatoïde : douleurs abdominales, lésions purpuriques ;
  • pancréatite : douleur épigastrique intense, transfixiante ;
  • cholécystite, angiocholite : douleur de l’hypochondre droit, ictère ;
  • lithiase rénale : douleur lombaire, du flanc ou inguinale.
Causes neurologiques : elles sont à évoquer en cas de vomissements faciles, en jets, volontiers matinaux, associés à des céphalées, des troubles de la conscience ou du comportement. L’imagerie cérébrale par tomodensitométrie est alors l’examen utile qui permet de rechercher :
  • une hémorragie cérébroméningée spontanée ou post-traumatique, en particulier l’hématome sous-dural chez le nourrisson ;
  • une hypertension intracrânienne aiguë pouvant être en relation avec une thrombophlébite cérébrale (post-otitique), un processus tumoral, une origine toxique (vitamine A, tétracycline), une hydrocéphalie en poussée.
Autres causes :
  • respiratoires, à évoquer en cas de toux associée : infection (coqueluche, VRS) ou toux chronique émétisante (allergie, mucoviscidose) ;
  • toxiques : médicaments (digitaliques, théophylline, acide salicylique, vitamine D), ingestion accidentelle de produit toxique ou caustique (les vomissements sont peu spécifiques d’un produit, mais témoignent en revanche de la réalité de l’ingestion lorsque celle-ci n’a pas été constatée) ;
  • métaboliques : le diabète décompensé et de nombreuses maladies métaboliques héréditaires (v. infra) peuvent se présenter par des tableaux aigus comportant des vomissements ;
  • grossesse chez l’adolescente.
En cas de vomissements sanglants, après avoir éliminé une épistaxis déglutie, on évoque :
  • une cause œsophagienne (œsophagite peptique ou virale) ;
  • une cause gastrique (gastrite à Helicobacter pylori ou gastrite médicamenteuse) ou un ulcère gastrique ou duodénal (anti- inflammatoire non stéroïdien [AINS] et acide salicylique).
En cas d’hématémèses massives, il faut évoquer une hémorragie en relation avec un ulcère duodénal ou par rupture de varices œsophagiennes (hypertension portale).

Vomissements chroniques ou récidivants

Les causes des vomissements chroniques ou récidivants sont en règle médicales. Toutefois, certaines pathologies diges­tives chirurgicales, donnant habituellement des vomissements aigus, peuvent se révéler sur un mode intermittent d’évolution prolongée.

Erreurs diététiques

Les erreurs de régime sont recherchées systématiquement devant des vomissements chez le nourrisson. On recherche une erreur quantitative (rations excessives à évoquer devant une courbe de poids trop belle) ou qualitative (mauvaise reconstitution, introduction trop précoce de farines, de légumes...).

Causes digestives

Le reflux gastro-œsophagien : dans les premiers mois de vie, le dispositif antireflux est incomplètement efficace autorisant à la fois des rots et des régurgitations, correspondant au reflux de liquide gastrique (en règle générale acide) vers l’œsophage. Ce phénomène physiologique devient pathologique lorsqu’il se prolonge et/ou entraîne des complications.
Le reflux gastro-œsophagien se traduit le plus souvent par de simples régurgitations, ne nécessitant alors pas d’examens complémentaires pour son diagnostic qui reste clinique. Lorsque les vomissements deviennent prédominants, une autre étiologie est à rechercher.
Le reflux gastro-œsophagien peut entraîner des complications qui peuvent nécessiter des investigations complémentaires et un avis spécialisé :
  • douleur rétrosternale lors de l’alimentation, voire hématémèse et anémie, qui font évoquer une œsophagite (fig. 2) ;
  • bronchopneumopathies à répétition et toux nocturne ;
  • malaises graves du nourrisson avec apnée (réflexe vagal) et/ou cyanose (inhalation) ;
  • problèmes ORL : otites chroniques, dyspnée laryngée, enroue­ments fréquents... ;
  • troubles du sommeil ;
  • mauvaise prise de poids (anorexie, refus du biberon).
La plicature gastrique : elle correspond à un estomac se positionnant en bissac, la partie inférieure de l’estomac se pliant et remontant devant sa partie supérieure, séparant ainsi la cavité gastrique en deux poches, l’une correspondant à la grosse tubérosité et l’autre à l’antre. Lors de la tétée, la première poche, de capacité réduite, est rapidement remplie, expliquant que les régurgitations ou des vomissements surviennent en cours du biberon.
Le traitement est postural, l’enfant étant couché sur le ventre pendant 1 à 2 heures après chaque repas. Fréquente dans les premières semaines de vie, cette anomalie s’atténue progressivement dans les premiers mois de vie (diversification, modification des rapports anatomiques).
Les vomissements des intolérances alimentaires se voient dans :
  • l’intolérance au gluten ou maladie cœliaque. Le tableau classique associe après l’âge de 6 mois des vomissements, une diarrhée chronique, un météorisme abdominal et une dénutrition avec cassure de la courbe de poids. Parfois, les symptômes sont moins francs, avec des vomissements au premier plan chez un enfant météorisé. Le diagnostic repose sur la présence d’anticorps antitransglutaminase dans le sérum et d’une atrophie villositaire totale à la biopsie intestinale. Il sera confirmé par la disparition des symptômes sous régime sans gluten ;
  • l’allergie aux protéines du lait de vache. Les vomissements sont habituels dans la forme aiguë dite réaginique (type I) où ils peuvent apparaître isolement après la prise de protéines du lait de vache ou associés à d’autres symptômes (diarrhée profuse, éruption urticarienne, bronchospasme, état de choc...). Dans la forme entéropathique (type IV), les vomissements sont associés généralement à une diarrhée chronique et une mauvaise prise pondérale. Le diagnostic repose sur les tests allergologiques (dosage des IgE spécifiques dans le sérum, tests cutanés) qui sont inconstants dans la forme de type IV et sur la disparition des symptômes après régime d’exclusion ;
  • le syndrome d’entéropathie par intolérance aux protéines alimentaires (SEIPA) entraîne des vomissements profus associés à un état léthargique, apparaissant de brutalement entre 1 et 4 heures après la consommation de certains aliments. Le diag­nostic est difficile car les marqueurs d’allergie (tests cutanés, IgE spécifiques sériques) sont habituellement négatifs, et repose essentiellement sur la séquence clinique. Les aliments en cause sont variés, et peuvent être repérés par les parents qui les éliminent alors de l’alimentation de l’enfant. L’évolution est généralement progressivement favorable, mais l’acquisition d’une tolérance des aliments incriminés met souvent plusieurs années.
Les causes chirurgicales : des vomissements récidivants peuvent parfois être révélateurs d’une pathologie chirurgicale (v. supra) :
  • une sténose du pylore peut être diagnostiquée chez un nourrisson au-delà d’un mois de vie devant des vomissements persistants avec dénutrition et déshydratation ;
  • une malrotation intestinale peut être à l’origine de volvulus inter­mittents avec douleurs et vomissements postprandiaux. Une opacification digestive (transit œsogastroduodénal, lavement baryté) est nécessaire pour diagnostiquer la malrotation intestinale et indiquer l’opération avant la survenue d’un volvulus complet avec risque de nécrose intestinale ;
  • la maladie de Hirschsprung, ou plus rarement une pseudo-occlusion intestinale chronique (POIC), peut parfois être évoquée devant des épisodes subocclusifs suivis de débâcles de selles liquides chez un nourrisson présentant depuis la naissance une constipation avec météorisme abdominal.

Causes métaboliques

Les vomissements peuvent être au premier plan du tableau clinique dans de nombreuses maladies métaboliques héréditaires. Chacune d’entre elles est rare mais nécessite un diagnostic rapide car pouvant mettre rapidement en jeu le pronostic vital. Les éléments d’orientation vers une origine métabolique sont une consanguinité parentale, le jeune âge, une hépatomégalie, des troubles neuro­logiques (convulsions, coma), une hypoglycémie, une stagnation pondérale. Le bilan, effectué en phase aiguë, doit rechercher une acidose, une cytolyse et/ou une insuffisance hépatique, une hyper­ammoniémie, et prélever du plasma et des urines pour des chromatographies des acides aminés et des acides organiques.
L’anomalie peut porter sur le métabolisme :
  • des glucides :
. fructosémie congénitale : vomissements, malaises post-prandiaux par hypoglycémie et hépatomégalie après l’introduction des fruits et légumes dans l’alimentation (saccharose = glucose + fructose) ;
. galactosémie congénitale : vomissements dès les premières semaines de vie (lait contenant du lactose = glucose + galactose), avec ictère persistant et hépatomégalie, parfois syndrome hémor­ragique (insuffisance hépatocellulaire). Le diagnostic est réalisé par spot test et dosage sanguin de l’activité galactose-1-phosphate-uridyl-transférase;
  • des acides aminés :
. acidémies organiques : vomissements et troubles neurologiques, accompagnés d’une acidose et d’une hyperammoniémie ;
. anomalies du cycle de l’urée : accès de vomissements avec troubles du comportement, accompagnés d’une hyperammoniémie et d’une cytolyse hépatique ;
– des acides gras et des corps cétoniques :
. troubles de la bêta-oxydation des acides gras : accès de vomissements avec troubles neurologiques, signes cardiaques et musculaires, acidose lactique ;
. déficits de la cétogenèse ou de la cétolyse.

Causes endocriniennes

L’insuffisance surrénalienne par hyperplasie congénitale des surrénales doit être évoquée dans les premières semaines de vie devant des vomissements, une mauvaise prise de poids et une déshydratation avec troubles hémodynamiques et un syndrome de perte de sel. On retrouve chez la fille une virilisation des organes génitaux externes.

Causes neurologiques

Une hypertension intracrânienne doit être évoquée devant des vomissements faciles, en jets, survenant surtout le matin, associés à des signes neurologiques, des troubles du comportement, éventuellement une augmentation du périmètre crânien chez le nourrisson. Le fond d’œil, s’il peut être réalisé en urgence, montre un œdème papillaire en cas d’hypertension intracrânienne avec parfois des hémorragies rétiniennes évocatrices d’une étiologie traumatique (syndrome du bébé secoué). L’imagerie cérébrale montre un œdème cérébral, un hématome sous-dural, une tumeur de la fosse postérieure, une sténose de l’aqueduc de Sylvius, exceptionnellement un accident vasculaire. L’hypertension intra­crânienne bénigne est évoquée en cas d’œdème au fond d’œil avec imagerie normale.
Les migraines sont fréquentes chez l’enfant, mais sous-diag­nostiquées. Elles sont à l’origine de céphalées récidivantes avec vomissements dans plus de la moitié des cas.
Le vertige ou torticolis paroxystique bénin survient épisodiquement avant 3 ans et se traduit par un vertige avec vomissement survenant lors d’un changement de position brusque, pouvant durer de quelques minutes à plusieurs heures.

Vomissements acétonémiques ou vomissements périodiques avec cétose

Ils surviennent sans cause apparente ou après un jeûne ou une affection banale chez un grand enfant. Ils entraînent une intolérance gastrique avec vomissements incoercibles, odeur acétonémique de l’haleine, cétonémie et cétonurie, reflets du déficit énergétique. Les accès durent plusieurs jours, entraînant parfois une déshydratation, et peuvent se répéter plus ou moins fréquem­ment pendant plusieurs années. Un bilan est nécessaire afin d’éliminer une cause neurologique, digestive ou métabolique.

Origine psycho-affective

Les vomissements peuvent être observés chez le jeune nourrisson dans le cadre de difficultés alimentaires avec un conflit mère-enfant, associé ou non à un forcing alimentaire. Ils peuvent aussi être mis sur le compte de certains changements à l’intérieur de la famille (conflits, mise en nourrice, travail maternel, modification du mode de vie ou des repas...).
Chez l’enfant plus grand, les vomissements peuvent être le témoin d’une souffrance psychologique ou de phénomène de conversion. Les vomissements sont habituels dans l’anorexie mentale.
Points forts
Vomissements du nourrisson, de l'enfant et de l'adultePartie : Nourrisson et enfant

Chez le nourrisson, de très nombreuses affections aiguës ou chroniques peuvent entraîner ders vomissements.

Les infections communes sont les causes les plus fréquentes de vomissements aigus chez le nourrisson.

Des vomissements bilieux témoignent d’une cause chirurgicale jusqu’à preuve du contraire.

Une occlusion fébrile est le plus souvent due à une appendicite aiguë.

Les vomissements répétés peuvent être responsables en eux-mêmes d’une alcalose : en cas d’acidose, il faut évoquer une cause métabolique.

Les erreurs diététiques sont fréquemment responsables de vomissements chez le petit nourrisson.

En cas de vomissements chroniques ou récidivants associés à des troubles neurologiques, il faut évoquer une hypertension intracrânienne ou une cause métabolique.

Les vomissements psychogènes sont un diagnostic d’élimination.

Pour en savoir
F. Gottrand, D. Turck. Gastroentérologie pédiatrique. Doin Ed. 2016. 
J.-L. Jouve, P.-Y. Mure. Urgences chirurgicales de l’enfant. Doin Ed. 2012.

Dans cet article

Ce contenu est exclusivement réservé aux abonnés