Vous recevez dans votre cabinet de médecine générale M. G., 52 ans, qui consulte pour une douleur du genou gauche. La douleur est apparue progressivement il y a une semaine et s’accompagne d’un gonflement du genou.
Vous retrouvez effectivement un genou gauche chaud et gonflé, avec un signe du flot et un signe du glaçon. Il n’y pas d’autre articulation douloureuse ou gonflée.
Le patient rapporte un antécédent similaire au niveau du genou droit il y a six mois, résolutif après la prise d’anti-inflammatoires.
Question 1 - Que recherchez-vous à l’interrogatoire pour orienter votre diagnostic (une ou plusieurs réponses possibles) ?
Votre patient a une douleur et un épanchement du genou. Il faut différencier une douleur inflammatoire (dérouillage matinal > 30 mn, réveils nocturnes non positionnels, douleur augmentée par le repos et soulagée par l’activité, prédominance matinale) qui oriente vers des causes inflammatoires, infectieuses ou néoplasiques ; d’une douleur mécanique (augmentée par l’activité physique et le mouvement, soulagée par le repos, maximale en fin de journée) qui oriente vers des causes mécaniques. La présence de rachialgies inflammatoires ou de diarrhée glairo-sanglante orienterait le diagnostic vers une spondylarthropathie. Un antécédent de traumatisme orienterait le diagnostic vers une cause mécanique (fracture, rupture ligamentaire) ou vers une cause microcristalline (les poussées de goutte ou de chondrocalcinose peuvent être déclenchées par un traumatisme). L’antécédent de diabète n’oriente pas spécifiquement le diagnostic.
M. G. est suivi pour une hypertension artérielle, une dyslipidémie et un antécédent d’ulcère gastrique. Il a été opéré d’une hernie inguinale droite il y a cinq ans, et a subi une appendicectomie et une amygdalectomie dans l’enfance. Il n’y a pas d’antécédent familial notable. Son traitement est le suivant : amlodipine 10 mg/j, ramipril 5 mg/j, atorvastatine 40 mg/j, lansoprazole 30 mg/j. Il ne fume pas et boit 2 verres de vin par jour. Il ne décrit pas de signe associé notamment pas d’altération de l’état général, pas de fièvre, pas de rachialgie, pas de trouble digestif, pas d’antécédent ophtalmologique. Vous complétez votre examen clinique. Les paramètres vitaux sont les suivants : pression artérielle (PA) = 141/86 mmHg ; fréquence cardiaque (FC) = 76/min ; température (T°) = 36,7 °C ; saturation en oxygène (SpO2) = 99 %. L’auscultation cardiopulmonaire et la palpation abdominale sont sans particularité. L’examen cutané retrouve l’aspect suivant : Figure 1 (Source : Salomé Abdellaoui, La Revue du Praticien)
Question 2 - Que pouvez-vous conclure concernant cette lésion cutanée (une ou plusieurs réponses possibles) ?
La lésion élémentaire est une squame.
Le psoriasis est la principale cause de kératodermie palmoplantaire à connaître pour l’EDN.
Cela est possible mais pas le plus probable dans le contexte.
La présentation oriente plutôt vers un psoriasis.
Dans le cadre d’une kératodermie palmoplantaire.
Le patient a une hyperkératose plantaire, ce qui peut s’intégrer dans le cadre d’un psoriasis, avec souvent une atteinte similaire des mains. Le diagnostic d’arthrite septique est peu probable : pas de fièvre, notion d’antécédent similaire résolutif après la prise d’anti-inflammatoires, association à un psoriasis qui rend le diagnostic de spondylarthropathie plus probable.
Vous retrouvez la même atteinte au niveau des mains. La face dorsale des pieds a l’aspect suivant : Figure 2 (Source : Salomé Abdellaoui, La Revue du Praticien)
Question 3 -Quel(s) est/sont le(s) diagnostic(s) possible(s) devant cette photo ?
Pas de lésion évocatrice vésiculeuse ou croûteuse.
Concernant l’atteinte des ongles : on observe une onychodystrophie qui peut s’intégrer à la fois dans le cadre d’un psoriasis et d’une onychomycose. La plupart du temps, des prélèvements mycologiques sont nécessaires pour faire le diagnostic. Concernant l’aspect du 3e orteil : le gonflement observé peut être lié à une dactylite (qui serait confirmée en échographie par l’association d’une arthrite des interphalangiennes proximale et distale et d’une ténosynovite des fléchisseurs). On peut imaginer qu’un tel gonflement pourrait être lié à la fracture d’un orteil ou à une piqûre d’insecte, même si c’est moins probable dans le contexte.
Vous interrogez le patient sur l’aspect de ses ongles et il vous explique qu’il a vu un dermatologue il y a environ trois ans, qui a fait des prélèvements qui ne retrouvaient pas d’éléments fongiques. Ce dermatologue avait également parlé de psoriasis pour l’aspect des mains et des pieds et avait introduit des dermocorticoïdes et des kératolytiques que le patient a arrêtés. Vous revenez à son genou.
Question 4 - Quel(s) examen(s) vous permettrai(en)t d’avancer dans le diagnostic ?
Peu utile dans un diagnostic d’arthrite.
Non spécifique et tableau clinique non évocateur de granulomatose (une cause alternative est plus probable).
Tout épanchement ponctionnable doit être ponctionné afin d’analyser le liquide, de différencier un liquide mécanique d’un liquide inflammatoire et de rechercher des étiologies spécifiques infectieuses ou microcristallines. Une imagerie de l’articulation est primordiale avant de réaliser une ponction et nous permettra de rechercher une atteinte structurale. Une échographie du pied nous permettra de rechercher des synovites infracliniques et de confirmer le diagnostic de dactylite. L’étiologie septique est peu probable dans le contexte.
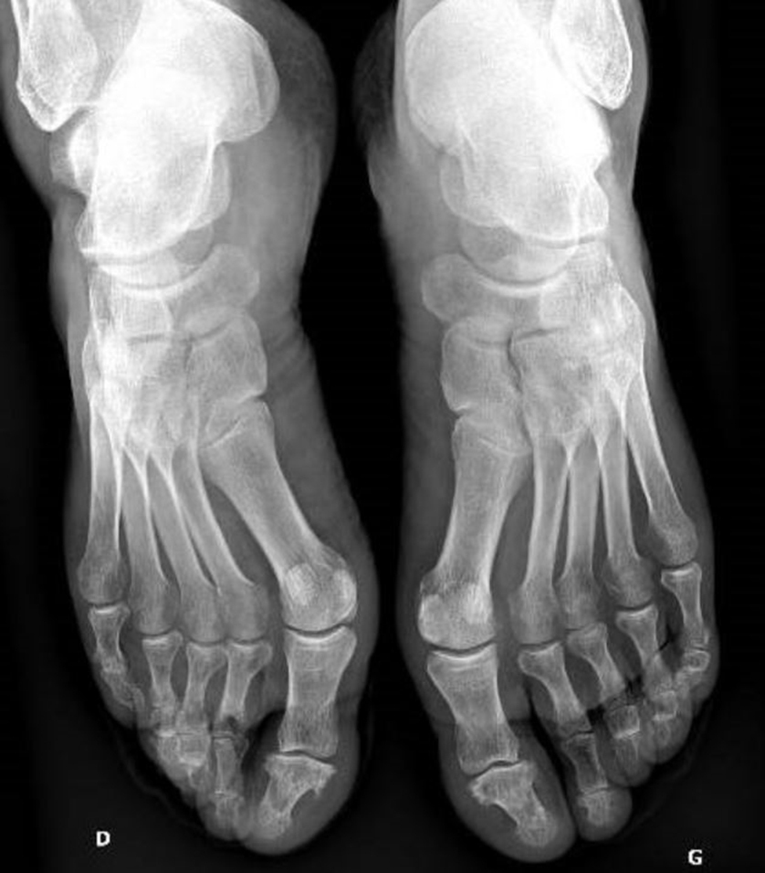
Le patient revient une semaine plus tard avec les examens prescrits. Biologie : hémoglobine = 13,4 g/dL ; leucocytes = 9 G/L avec formule leucocytaire normale ; plaquettes = 238 G/L ; aspartate aminotransférase (ASAT) 24 UI/l ; alanine aminotransférase (ALAT) = 25 UI/l ; gamma-glutamyl transférase (GGT) = 84 UI/L ; phosphatases alcalines (PAL) = 226 UI/L ; bilirubine totale = 8 µmol/L ; créatinine = 81 µmol/L, soit un débit de filtration glomérulaire (DFG) à 96 mL/min ; protéine C réactive (CRP) = 14 mg/L ; uricémie = 401 µmol/L ; facteurs antinucléaires (FAN) = 1/80 ; facteurs rhumatoïdes (FR) et anti-peptides cycliques citrullinés (anti-CCP) négatifs. Ponction du genou : 8 600 éléments, pas de cristaux, culture négative à 48 heures. Les radiographies des genoux sont normales, notamment pas de pincement, pas d’érosion, pas de méniscocalcose. Les radiographies des pieds sont les suivantes : Figure 3 (Source : Salomé Abdellaoui, La Revue du Praticien) L’échographie des pieds confirme la dactylite du 3e orteil droit et ne retrouve pas d’autre anomalie.
Question 5 - Quel est le diagnostic le plus probable ?
Pas de rachialgies inflammatoires, atteinte périphérique.
Ce n’est pas le plus probable au vu du terrain et du tableau.
Pas de cristaux retrouvés à la ponction. Hyperuricémie classique dans le syndrome métabolique.
FAN négatifs.
L’association d’une oligo-arthrite chronique, d’une dactylite, et d’un psoriasis oriente vers le diagnostic de rhumatisme psoriasique. Les radiographies des pieds sont normales à l’exception d’un ostéophyte de la dernière phalange du premier rayon droit, évocateur d’arthrose. Dans le rhumatisme psoriasique évolutif, il est classique de retrouver des lésions destructrices et reconstructrices. Les autres diagnostics sont beaucoup moins probables devant l’absence de marqueurs d’auto-immunité, de cristaux à la ponction, d’érosions caractéristiques radiographiques.
Vous retenez finalement le diagnostic de rhumatisme psoriasique.
Question 6 - Quel(s) élément(s) vous ont permis de retenir ce diagnostic ?
Il est possible d’avoir une association entre un rhumatisme psoriasique et une goutte (certains l’appellent « psout ») compte tenu des terrains souvent similaires entre les deux pathologies (hommes d’âge mûr avec profil hypermétabolique).
Très évocatrice.
L’atteinte unguéale est l’atteinte psoriasique la plus fréquente au cours de rhumatisme psoriasique.
Liquide inflammatoire.
Les radiographies ici sont normales et n’orientent donc pas le diagnostic.
Contre-indiqué par l’antécédent d’ulcère gastrique.
C’est le traitement de première intention.
Déconseillée devant l’hypertension artérielle et le diabète associés, avec risque d’aggravation de l’atteinte cutanée lors de la décroissance.
Pas en première intention.
Les traitements du rhumatisme psoriasique sont les suivants : – les traitements symptomatiques : AINS en première intention sauf contre-indication, antalgiques ; – les traitements de fond : le méthotrexate en première intention, efficace sur l’atteinte articulaire et cutanée. En deuxième intention on peut proposer des biothérapies comme les anti-TNF alpha ; – les traitements locaux : infiltrations locales de corticoïdes, selon le nombre d’articulations concernées.
Il faut différencier une douleur inflammatoire (dérouillage matinal > 30 mn, réveils nocturnes non positionnels, douleur augmentée par le repos et soulagée par l’activité, prédominance matinale) qui oriente vers des causes inflammatoires, infectieuses ou néoplasiques ; d’une douleur mécanique (augmentée par l’activité physique et le mouvement, soulagée par le repos, maximale en fin de journée) qui oriente vers des causes mécaniques.
La présence de rachialgies inflammatoires ou de diarrhée glairo-sanglante orienterait le diagnostic vers une spondylarthropathie.
Un antécédent de traumatisme orienterait le diagnostic vers une cause mécanique (fracture, rupture ligamentaire) ou vers une cause microcristalline (les poussées de goutte ou de chondrocalcinose peuvent être déclenchées par un traumatisme).
L’antécédent de diabète n’oriente pas spécifiquement le diagnostic.