Un homme âgé de 80 ans est hospitalisé après une chute pour des douleurs du membre inférieur gauche. Il présente une altération de l’état général, avec perte de 10 kg en un mois, et de la fièvre. Il a un antécédent de tuberculose pulmonaire, en 1956. La protéine C réactive (CRP) est à 19 mg/L. Un scanner est réalisé.
Quel est votre diagnostic ?
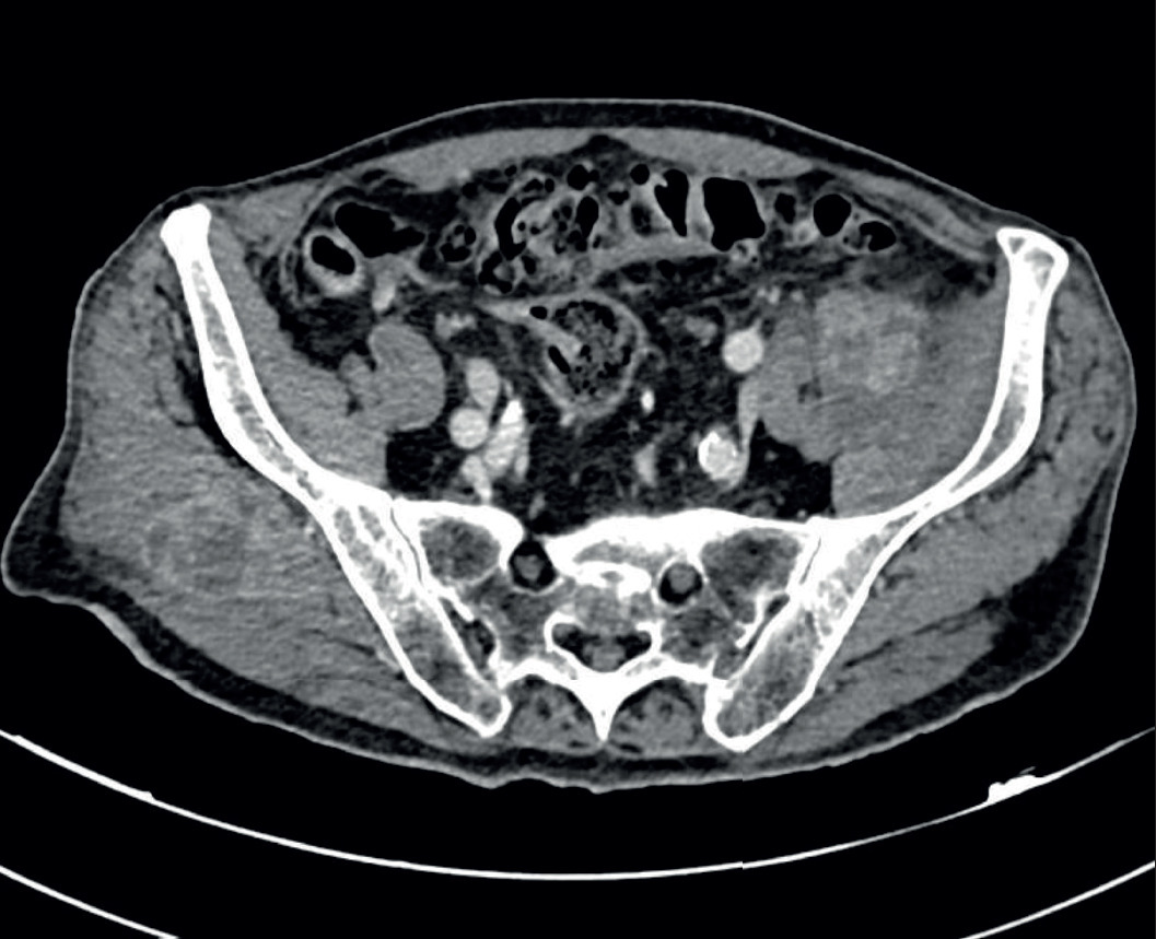
Le scanner montre de multiples formations ganglionnaires à centre hypodense nécrotique rétropéritonéales, intramésentériques, au niveau du pédicule hépatique, des muscles ilio-psoas gauches et fessiers droits. Un TEP scanner 18-FDG montre des lésions hypermétaboliques suggérant un carcinome primitif vésical avec atteinte ganglionnaire sus- et sousdiaphragmatique, encéphalique, pulmonaire et musculaire.
 
Par Olivier Fain, service de médecine interne, hôpital Saint-Antoine, Paris, France.

Exercez-vous aux ECN avec les dossiers progressifs et les LCA de La Revue du Praticien