Vous recevez en consultation de rhumatologie Mme X., 68 ans, que vous suivez depuis une dizaine d’années pour une polyarthrite rhumatoïde immuno-positive.

Elle est également suivie pour une hypertension artérielle sous amlodipine 5 mg/j et une dyslipidémie sous atorvastatine 10 mg/j.

Depuis le diagnostic, elle est sous méthotrexate 20 mg par semaine et prednisone (Cortancyl 5 mg/j) avec un bon contrôle de la maladie.

Elle vous consulte car, depuis trois mois, elle note une recrudescence de ses douleurs articulaires, touchant notamment les mains, poignets, articulations métacarpo-phalangiennes (MCP), articulation interphalangienne proximale (IPP) et les pieds.
Question 1 - Parmi les éléments suivants, lequel/lesquels vous orienterai(en)t plutôt vers une poussée inflammatoire de son rhumatisme chronique ?
On considère comme inflammatoire un dérouillage matinal qui dure trente, voire quarante-cinq minutes.
Prédominance nocturne et matinale des douleurs lorsqu’elles sont inflammatoires, en fin de journée lorsqu’elles sont mécaniques.
Liquide mécanique (< 2 000 éléments/mm3).
Caractéristique inflammatoire.
On distingue les douleurs d’horaire mécanique des douleurs d’horaire inflammatoire par les éléments suivants :
La patiente vous rapporte que les douleurs prédominent le matin, avec une raideur qui dure environ deux heures. Elle est réveillée toutes les nuits par les douleurs même lorsqu’elle ne bouge pas.
À l’examen clinique, il y a sept articulations douloureuses et vous objectivez quatre synovites (deux aux MCP et deux aux poignets), que vous retrouvez en échographie avec une hypervascularisation.
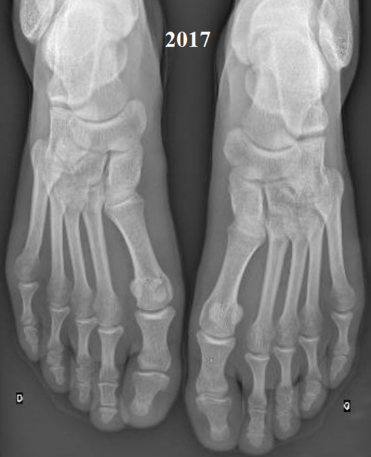
Elle vous montre sa dernière prise de sang avec une protéine C réactive (CRP) à 45 mg/L et vous apporte ses dernières radiographies (fig. 2), que vous comparez aux précédentes (fig. 1).
Figure 1 (Source Salomé Abdellaoui, La Revue du Praticien)
Figure 2 (Source Salomé Abdellaoui, La Revue du Praticien)
Question 2 - Parmi les propositions suivantes, laquelle/lesquelles) est/sont vraie(s) ?
Les douleurs sont d’horaire inflammatoire, avec des gonflements articulaires, un syndrome inflammatoire biologique et une inflammation en échographie.
Il manque l’échelle visuelle analogique (EVA) d’activité de la maladie. Cela n’empêche pas de faire le diagnostic de poussée inflammatoire.
On observe sur la radiographie de 2024 un pincement articulaire de toutes les articulations métatarso-phalangiennes avec des subluxations de ces dernières et des érosions de la tête des 5es métatarsiens, caractéristiques de la polyarthrite rhumatoïde.
La polyarthrite rhumatoïde n’est pas contrôlée et est sévère avec une aggravation structurale, il y a une indication à intensifier le traitement pour préserver les articulations.
Devant le mauvais contrôle de la polyarthrite rhumatoïde, vous aviez choisi d’introduire un traitement par anti-TNF alpha en injections sous-cutanées. La patiente en était très satisfaite, avec une maladie en rémission, ce qui avait permis d’arrêter le traitement par prednisone. Elle prend toujours le méthotrexate 20 mg par semaine.
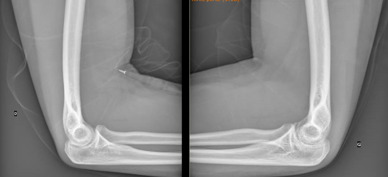
Elle revient vous voir cinq ans après car, depuis quarante-huit heures, elle a le coude gauche très gonflé et douloureux avec un flessum à 30°. Les douleurs la réveillent la nuit avec des frissons. Elle n’a pas pris sa température. Elle n’a pas d’autre articulation douloureuse ou gonflée.
Question 3 - Quelle est l’hypothèse diagnostique la plus probable ? (une seule réponse exacte)
La patiente est sous traitement immunosuppresseur (anti-TNF alpha) et a un tableau d’arthrite aiguë. L’étiologie la plus probable dans ce contexte est donc une arthrite septique, d’autant qu’il y a des éléments septiques (présence de frissons). Il s’agit de l’urgence à éliminer.
La bursite ne serait pas responsable d’un flessum.
La poussée de chondrocalcinose articulaire pourrait être responsable d’un tableau aigu mais ce n’est pas le terrain (habituellement femme plus âgée avec autres antécédents de poussée chondrocalcinosique).
Vous suspectez fortement une arthrite septique chez cette patiente.
La prise des constantes retrouve une température corporelle à 39,1 °C, une pression artérielle à 131/78 mmHg et une fréquence cardiaque à 81/min.
Dans ce contexte, vous l’hospitalisez et organisez rapidement des radiographies, une prise de sang avec des hémocultures et la réalisation d’une ponction articulaire sous échographie.
Sont prélevés 10 cc d’un liquide purulent, envoyés en bactériologie.
Question 4 - Vous proposez la prise en charge suivante dans les prochaines heures (une ou plusieurs réponses exactes) :
La patiente n’a pas d’élément de gravité (pas de choc septique), il n’y a donc pas d’indication à introduire une antibiothérapie probabiliste. L’antibiothérapie sera adaptée aux prélèvements infectieux.
On suspend le traitement immunosuppresseur le temps de la prise en charge de l’infection.
La perfusion d’immunoglobulines intraveineuses peut s’envisager lors d’une infection survenant sur un terrain d’hypogammaglobulinémie. Il ne s’agit pas d’une prise en charge urgente.
Le lavage articulaire s’envisage dans un second temps en cas d’échec du traitement médical ou en l’absence de prélèvement infectieux rentable.
Voir la réponse 1.
La ponction articulaire a mis en évidence un Staphylococcus aureus sensible à la méticilline (SASM).
Vous avez décidé en accord avec les infectiologues d’introduire un traitement par céfazoline par voie intraveineuse.
Question 5 - Quels sont les paramètres que vous devez particulièrement surveiller au cours de l’évolution (plusieurs réponses exactes) ?
Il n’y a pas d’élément spécifique pulmonaire à surveiller dans l’évolution d’une arthrite septique.
Une récupération progressive des amplitudes articulaires est observée lorsque le traitement d’une arthrite septique est efficace. À l’inverse, une majoration du flessum doit faire craindre l’absence d’efficacité du traitement.
La persistance de la fièvre à 48 heures d’une antibiothérapie bien conduite définit une évolution défavorable.
Recherche d’un souffle qui serait évocateur d’une endocardite, à traquer systématiquement lors d’une arthrite septique, a fortiori à S. aureus.
Les signes de choc doivent être recherchés à l’examen
À soixante-douze heures d’antibiothérapie, Mme X. garde des douleurs insomniantes du coude irradiant dans tout le bras.
Elle est toujours fébrile à 38,7 °C et il n’y a aucune amélioration de l’amplitude articulaire de son coude.
Question 6 - Que pouvez-vous proposer (une ou plusieurs réponses exactes) ?
Il y a plusieurs possibilités de prise en charge dans cette situation.
On peut discuter, afin de diminuer l’inoculum bactérien, la réalisation d’une prise en charge chirurgicale par lavage, ou de ponctions articulaires évacuatrices itératives. Ces deux stratégies permettront également de réaliser de nouveaux prélèvements infectieux.
Il n’y a pas d’indication à changer d’antibiothérapie puisque la céfazoline est adaptée à l’antibiogramme du SASM. Il peut parfois être discuté, en accord avec les infectiologues, de majorer la posologie du traitement antibiotique, notamment en fonction du dosage de ce dernier.
Il n’y a pas lieu de reprendre l’anti-TNF alpha ou de proposer une infiltration de corticoïdes dans ce contexte d’infection non contrôlée.
Finalement la patiente a eu une évolution favorable après une nouvelle ponction articulaire puis la réalisation d’un lavage au bloc d’orthopédie et la poursuite de l’antibiothérapie adaptée.
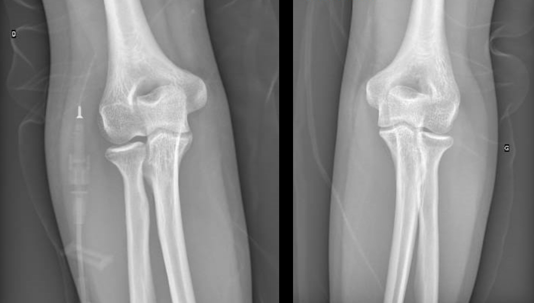
Vous la revoyez quatre mois après la fin de l’antibiothérapie avec des radiographies de contrôle (fig. 3 et 4).
Figure 3 (Source Salomé Abdellaoui, La Revue du Praticien)
Figure 4 (Source Salomé Abdellaoui, La Revue du Praticien)

Il n’y a pas eu d’événements particuliers depuis la fin du traitement, pas de récidive de fièvre ou de douleur.
Elle garde un flessum du coude gauche à 5°, irréductible, qui n’a pas de retentissement fonctionnel.
Elle a eu une poussée de polyarthrite rhumatoïde avec reprise de son traitement par méthotrexate depuis deux mois.
Elle se pose beaucoup de questions quant à cette infection et à la suite de la prise en charge.
Question 7 - Que pouvez-vous lui dire (une ou plusieurs réponses exactes) ?
La reprise du traitement sera discutée collégialement et dépendra de l’activité de la maladie, de la présence d’alternatives thérapeutiques et de la survenue d’autres événements infectieux.
On maintient autant que possible le méthotrexate lors de l’introduction d’une biothérapie, en raison d’un effet synergique et afin de prévenir l’immunisation contre la biothérapie.
On voit sur les radiographies que l’articulation est abîmée avec un pincement articulaire à gauche, il y a donc peu de chance que le flessum récupère totalement.
La polyarthrite rhumatoïde active non traitée a un pronostic articulaire très défavorable, d’autant plus chez cette patiente qui a déjà eu des destructions articulaires.
Il n’y pas de douleur ou de retentissement fonctionnel associé au flessum de coude donc pas d’indication actuelle à une prise en charge chirurgicale. En revanche, l’articulation va probablement évoluer vers une arthrose précoce et possiblement vers la mise en place d’une prothèse dans un second temps.

Exercez-vous aux ECN avec les dossiers progressifs et les LCA de La Revue du Praticien