Monsieur A., 53 ans, est adressé aux urgences par son médecin traitant pour des douleurs abdominales fébriles. Celles-ci sont localisées en fosse iliaque gauche et hypogastre. Elles évoluent depuis quelques jours mais sont devenues plus intenses depuis vingt-quatre heures.
Le patient n’est pas allé à la selle depuis quarante-huit heures mais il conserve des gaz. Il n’a pas de nausées.
Cliniquement, il a une température à 38,2 °C, l’abdomen n’est pas distendu mais la palpation retrouve une franche douleur en fosse iliaque gauche et en hypogastre sans défense. Il n’y a pas de signe fonctionnel urinaire.
Dans ses antécédents, on retient une appendicectomie dans l’enfance, une hypertension artérielle (HTA) traitée par bisoprolol et un diabète insulino-dépendant nécessitant des injections d’insuline sous-cutanées dans la cuisse.
Voici son bilan biologique : globules blancs (GB) = 15 G/L ; hémoglobine (Hb) = 13,7 g/dL ; plaquettes = 300 G/L ; protéine C réactive (CRP) = 80 mg/L ; sodium (Na) = 140 mmol/L ; potassium (K+) = 4,6 mmol/L ; créatininémie = 101 µmol/L.
Le patient n’est pas allé à la selle depuis quarante-huit heures mais il conserve des gaz. Il n’a pas de nausées.
Cliniquement, il a une température à 38,2 °C, l’abdomen n’est pas distendu mais la palpation retrouve une franche douleur en fosse iliaque gauche et en hypogastre sans défense. Il n’y a pas de signe fonctionnel urinaire.
Dans ses antécédents, on retient une appendicectomie dans l’enfance, une hypertension artérielle (HTA) traitée par bisoprolol et un diabète insulino-dépendant nécessitant des injections d’insuline sous-cutanées dans la cuisse.
Voici son bilan biologique : globules blancs (GB) = 15 G/L ; hémoglobine (Hb) = 13,7 g/dL ; plaquettes = 300 G/L ; protéine C réactive (CRP) = 80 mg/L ; sodium (Na) = 140 mmol/L ; potassium (K+) = 4,6 mmol/L ; créatininémie = 101 µmol/L.
Question 1 - Devant ce tableau clinique, quelle(s) est/sont votre/vos hypothèse(s) diagnostique(s) ?
Le diagnostic est possible, il peut en effet donner des douleurs fébriles en fosse iliaque gauche, d’autant que le patient pratique des injections sous-cutanées d’insuline dans sa cuisse, ce qui peut être une porte d’entrée de l’infection.
Le patient conserve un transit sous forme de gaz, son abdomen n’est pas distendu, il n’a pas de nausée ni de vomissement. Il n’est donc pas en occlusion.
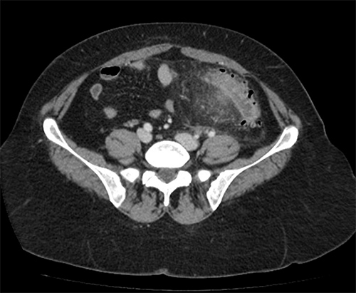
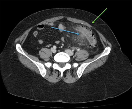
Le diagnostic est tout à fait possible, à évoquer ici en première intention devant l’âge (> 40 ans) et la symptomatologie (douleurs fébriles en fosse iliaque gauche et hypogastre).
La torsion du cordon spermatique donne des douleurs d’apparition brutale et non progressive. Par ailleurs, elle est très rare chez l’adulte. Les deux pics de fréquence sont chez le nourrisson et l’adolescent.
Le patient n’ayant pas de signe fonctionnel urinaire et ayant une douleur en fosse iliaque gauche, cette hypothèse est peu probable.






– de la localisation de la douleur en fosse iliaque gauche ;
– du syndrome inflammatoire : fièvre à 38,5 °C avec hyperleucocytose à la biologie ;
– de l’argument de fréquence de cette pathologie à cet âge (la prévalence des diverticules sigmoïdiens est de plus en plus importante avec l’âge, après 40 ans).