Vous recevez un soir aux urgences Mme D., 67 ans, pour une douleur basithoracique bilatérale.
Elle n’a pas d’antécédent en dehors d’une pneumonie récidivante depuis trois mois.
Elle ne prend aucun traitement.
La douleur dure depuis plusieurs jours, d’intensité progressivement croissante, actuellement à 9/10 malgré des antalgiques de palier 1. Elle ne rapporte pas d’élément déclencheur.
Les paramètres vitaux sont les suivants : pression artérielle (PA) = 123/76 mmHg ; fréquence cardiaque (FC) = 99 bpm ; saturation en oxygène (SpO2) = 97 % en air ambiant ; température (T°) = 37,1 °C.
L’examen clinique cardiopulmonaire est normal. L’électrocardiogramme (ECG) montre une tachycardie sinusale.
Elle n’a pas d’antécédent en dehors d’une pneumonie récidivante depuis trois mois.
Elle ne prend aucun traitement.
La douleur dure depuis plusieurs jours, d’intensité progressivement croissante, actuellement à 9/10 malgré des antalgiques de palier 1. Elle ne rapporte pas d’élément déclencheur.
Les paramètres vitaux sont les suivants : pression artérielle (PA) = 123/76 mmHg ; fréquence cardiaque (FC) = 99 bpm ; saturation en oxygène (SpO2) = 97 % en air ambiant ; température (T°) = 37,1 °C.
L’examen clinique cardiopulmonaire est normal. L’électrocardiogramme (ECG) montre une tachycardie sinusale.
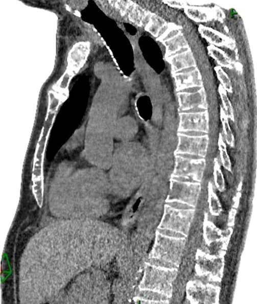
Question 1 - Quel(s) examen(s) complémentaire(s) demandez-vous en première intention ?
Bilan de douleur thoracique > 65 ans.
Éliminer l’embolie pulmonaire devant la douleur et la tachycardie sinusale.
Probabilité non forte d’embolie pulmonaire.

Le Collège de cardiologie propose la réalisation systématique d’un ECG, d’un dosage de la troponine ultrasensible et d’une radiographie thoracique.
Ici, la probabilité clinique d’embolie pulmonaire (douleur thoracique, tachycardie sans syndrome coronarien aigu [SCA]) indique la réalisation de D-dimères avant la réalisation de l’angioscanner.