Vous recevez à votre cabinet de cardiologie Mme N., 78 ans, qui vous est adressée par son médecin traitant dans le cadre d’un suivi général.

Elle a comme antécédent une hystérectomie, un diabète de type 2 traité par metformine, un ulcère gastrique il y a cinq ans, ainsi qu’un asthme.

Vous réalisez une auscultation cardiaque qui retrouve un souffle systolique.
Question 1 - Quelle(s) proposition(s) vous semblent exactes ?
Une résistance à l’éjection ventriculaire correspond à un rétrécissement aortique (RA), dont le souffle est systolique.
Une abolition du B2 indique un RA serré.
Il s’agit d’un souffle d’insuffisance mitrale (IM).
Au-dessus de 70 ans, la cause la plus probable est dégénérative (maladie de Mönckeberg).
Un éclat du B2 peut se rencontrer dans les IM évoluées.
Un souffle systolique doit faire évoquer un RA ou une IM. Les détails sémiologiques de ces souffles sont à maîtriser.
Vous suspectez un RA. À l’interrogatoire, vous apprenez que Mme N. a fait plusieurs syncopes à l’emporte-pièce au cours de la dernière année.
Question 2 - Quel(s) examen(s) complémentaire(s) est/sont indiqué(s) ?
Il peut être normal ou retrouver des signes d’hypertrophie ventriculaire gauche ou des troubles de la conduction.
Davantage réalisé en routine, ses seules indications restent la discordance entre la clinique et l’échocardiographie transthoracique (ETT) [patient très peu échogène].
Non indiquée dans cette situation.
C’est l’examen clé.
Indiqué dans les autres valvulopathies, elle n’apporte pas d’élément dans le RA.
L’ETT est l’examen clé dans le rétrécissement aortique. Elle permet de confirmer le diagnostic, de quantifier le degré de sévérité et d’apprécier les signes de retentissement sur le reste de la structure cardiaque.
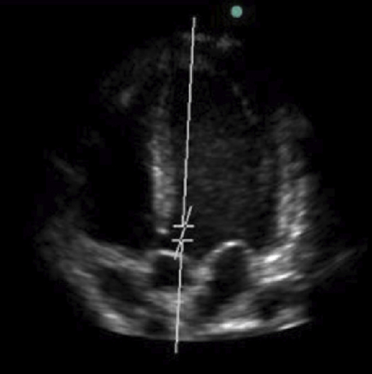
Vous réalisez une ETT. Celle-ci retrouve une valve aortique calcifiée avec les valeurs suivantes : Vmax à 3,8 m/s, gradient moyen à 32 mmHg et surface aortique à 0,55 cm²/m². On note également un index cardiaque abaissé, à 1,5 L/min/m² .
Figure 1 (Elon Zerah, La Revue du Praticien)
Question 3 - À propos de cet examen, vous affirmez (une ou plusieurs réponses exactes) :
Une ETT se réalise en plaçant le patient en décubitus latéral gauche pour rapprocher le cœur de la paroi thoracique et augmenter l’échogénicité.
On distingue les 2 oreillettes, les 2 ventricules ainsi que l’aorte, il s’agit donc bien d’une coupe apicale 5 cavités.
On visualise la valve tricuspide entre l’oreillette droite et le ventriculaire droit, la valve mitrale entre l’oreillette gauche et le ventricule gauche, ainsi que la valve aortique dans la chambre de chasse ventriculaire gauche. La valve pulmonaire ne peut pas être visualisée sur cette coupe :
Figure 2 (Elon Zerah, La Revue du Praticien)
Pour que le RA soit serré, il faut obtenir un de ces trois critères :
– Vmax > 4 m/s
– gradient moyen > 40 mmHg
– surface aortique < 1 cm² ou 0,6 cm²/m².
L’administration de dobutamine augmente le débit cardiaque, donc la quantité de sang qui passe par la valve aortique rétrécie. Logiquement, cela s’accompagne d’une augmentation du gradient de pression aorte-ventricule gauche. Dans le cas présent de RA associé à un bas débit, l’administration de dobutamine permettrait d’augmenter le gradient moyen au-dessus de 40 mmHg.
Il faut maîtriser les principales coupes à l’ETT pour identifier les différentes structures anatomiques intra-cardiaques : apicales 2, 3, 4 et 5 cavités, para-sternale grand axe et sous-costale.
L’ETT retrouve un RA serré.
Question 4 - Quelle est votre attitude thérapeutique (une ou plusieurs réponses exactes) ?
Un RA serré symptomatique (syncope ici) impose un remplacement valvulaire.
Oui, par coronarographie ou coroscanner, pour ne pas méconnaître une sténose coronaire qui pourrait être corrigée pendant l’intervention.
Désormais, on peut proposer un remplacement percutané par TAVI à tout patient de plus de 75 ans, ayant de ce fait un risque opératoire évalué comme intermédiaire.
Cette pratique est quasiment abandonnée en raison d’un risque élevé de resténose précoce.
Les bioprothèses nécessitent un traitement anticoagulant durant les trois premiers mois.
Chez cette patiente, il convient de réaliser un remplacement valvulaire par bioprothèse aortique ou par TAVI en fonction de l’avis d’une réunion médico-chirurgicale dédiée.
Le bilan préopératoire, comprenant notamment une coronarographie, ne retrouve pas d’anomalie. Vous décidez de réaliser un remplacement valvulaire aortique par bioprothèse. L’intervention se passe bien et Mme N. rentre à son domicile.
Vous la revoyez quatre mois plus tard alors que vous êtes de garde aux urgences. Elle consulte devant l’apparition d’une fièvre et une asthénie évoluant depuis plusieurs jours. Vous constatez une hyperthermie à 40 °C, une fréquence cardiaque régulière à 124 battements par minute (bpm) et une tension artérielle à 72/34 mmHg. La patiente est eupnéique et la saturation percutanée en air ambiant est à 96 %. La tension reste basse malgré la perfusion de 1 000 mL de sérum salé isotonique.
Question 5 - Quelle(s) proposition(s) est/sont exacte(s) ?
Il s’agit sûrement d’une tachycardie sinusale provoquée par la fièvre (on considère que la fréquence cardiaque augmente de 10 bpm par degré de température en plus).
L’hypotension non corrigée par le remplissage dans un contexte de fièvre oriente vers le choc septique.
Systématiques en cas de fièvre, d’autant plus importantes en cas de suspicion d’endocardite pour identifier le germe responsable.
L’endocardite sur prothèse peut être précoce (< 1 an) ou tardive (> 1 an).
Le TEP-scan n’est pas réalisable dans les trois premiers mois suivant la chirurgie.
Tout syndrome infectieux chez un patient porteur de valve doit faire suspecter une endocardite infectieuse.
Les hémocultures reviennent positives à Staphylococcus aureus. L’antibiogramme n’est pas disponible. Vous réalisez une ETT ainsi qu’une ETO qui confirment la présence d’une végétation de 0,8 x 0,4 mm appendue à l’équivalent de cusp coronaire gauche de la bioprothèse aortique. La patiente se stabilise sur le plan hémodynamique après traitement adéquat et vous l’hospitalisez en service de cardiologie.
Question 6 - Quelle(s) proposition(s) est/sont exacte(s) ?
Une endocardite infectieuse à S. aureus sur bioprothèse impose un traitement antibiotique intraveineux de six semaines.
Il s’agit du traitement probabiliste de l’endocardite infectieuse sur prothèse valvulaire < 1 an, qui comprend l’association de vancomycine, gentamicine et rifampicine.
L’indication opératoire de l’endocardite dépend de nombreux critères. L’endocardite précoce sur prothèse n’en fait pas partie à elle seule. De plus, la bioprothèse est fonctionnelle sur l’ETT d’entrée.
L’antibioprophylaxie de l’endocardite infectieuse se limite seulement aux patients avec cardiopathie à haut risque devant recevoir des soins dentaires avec manipulation de la gencive ou de la région péri-apicale ou en cas d’effraction de la muqueuse.
En cas d’endocardite infectieuse du cœur gauche, les emboles seront systémiques (cérébraux surtout ++). Les endocardites du cœur droit sont responsables d’emboles pulmonaires.
L’endocardite infectieuse sur prothèse est une maladie à part entière dont les spécificités sont à maîtriser. Le risque est le même, peu importe le type de prothèse (biologique, mécanique, TAVI). Leur pronostic est plus sévère que celui des endocardites infectieuses sur valve native.
Alors que Mme N. était sortante d’hospitalisation avec un traitement par oxacilline à poursuivre au domicile, vous la retrouvez au sol dans sa chambre. Elle reprend rapidement ses esprits et vous dit n’avoir aucun souvenir de ce qu’il s’est passé alors qu’elle se dirigeait vers la salle de bain.
Question 7 - Quel diagnostic est le plus probable (une seule réponse exacte) ?
L’endocardite infectieuse est plutôt responsable de fuite massive que de sténose. De plus, la prothèse était fonctionnelle à l’ETT d’entrée.
Aucun argument pour dans le contexte, notamment pas de cardiopathie à risque (ischémique notamment).
La syncope semble brutale avec reprise de conscience rapide n’orientant pas vers une épilepsie.
L’endocardite aortique peut être responsable de troubles de la conduction par abcès septal indiquant une intervention chirurgicale en urgence. Pour cette raison, il faut surveiller quotidiennement l’ECG des patients ayant une endocardite infectieuse au niveau de la valve aortique.
Aucun argument dans le contexte, ce n’est pas le diagnostic le plus probable.
Toujours penser à l’abcès septal dans l’endocardite aortique.

Exercez-vous aux ECN avec les dossiers progressifs et les LCA de La Revue du Praticien