Mme G., 28 ans, est amenée aux urgences par son ami pour des symptômes d’asthme qui ne cèdent pas au traitement habituel. Elle est asthmatique depuis l’enfance, traitée par salbutamol en aérosol doseur à la demande et prend de temps en temps du budésonide 200 μg lorsqu’elle se sent gênée. Une sensibilisation aux phanères de chat a été documentée à l’époque, avec déclenchement de symptômes asthmatiques typiques au contact de ces derniers. Elle a déjà été hospitalisée il y a un an pour un asthme aigu grave. Elle fume 10 cigarettes par jour depuis 8 ans.
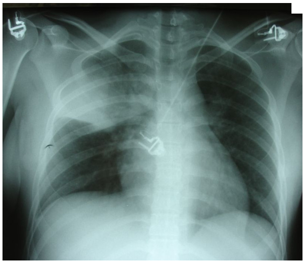
La patiente vous dit que depuis quelques jours elle est enrhumée et que depuis 24 heures elle se sent très fatiguée, essoufflée à l’effort et qu’elle tousse beaucoup. À l’entrée, la patiente a du mal à répondre aux questions. Elle est fébrile à 39 °C. Sa fréquence respiratoire (FR) est à 30/min et la fréquence cardiaque (FC) à 125 bpm. L’auscultation révèle des râles sibilants diffus et des râles crépitants apicaux droits. Le débit expiratoire de pointe est à 43 % de la théorique. La saturation artérielle en oxygène (SpO2) est à 88 %. La radiographie est la suivante. Figure 1.
Near fatal asthma des Anglo-Saxons. Tableau d’insuffisance respiratoire suraiguë chez des hommes jeunes généralement percevant peu leurs symptômes malgré la gravité du tableau.
Exacerbation d’asthme car :
– augmentation progressive des symptômes durant au moins deux jours et nécessitant une modification du traitement ;
– non calmée par les bronchodilatateurs utilisés de façon fréquente et en quantité importante ;
– sans retour à l’état habituel.
Il existe bien entendu un facteur déclenchant infectieux participant à la sévérité des symptômes.
Critères de sévérité :
Figure 2.
Question 2 - Comment interpréter la radiographie (une ou plusieurs réponses exactes) ?
On verrait une scissure dense et visible radiologiquement correspondant à une inflammation avec petit épanchement de la scissure.
On verrait une collection encapsulée infectieuse ou tumorale de la scissure.
Le lobe supérieur droit est ici touché. Deux descriptions de sémiologie radiologique sont possibles. La partie médiale correspond à une image alvéolaire : elle est floue (nuageuse, cotonneuse), mal limitée, avec bronchogramme aérien (bronches toujours ventilées). La partie plus latérale est davantage condensée et renvoie à une atélectasie segmentaire. En effet, l’image est dense, opaque, sans bronchogramme aérien (bronches pleines) et rétractile (scissure attirée vers le haut).
Pour rappel, à l’auscultation, le murmure vésiculaire normal correspond au passage d’air dans les bronches et les alvéoles. Dans le syndrome alvéolaire, les alvéoles sont les seules atteintes, ce qui se traduit par des crépitants (comme des dizaines de petites bulles qui éclatent, bruit de pas dans la neige). La condensation pure est un comblement total des alvéoles avec les bronches toujours ventilées. À l’auscultation, cela se traduit par un souffle tubaire, bruit d’air qui passe dans les bronches, avec phénomène de résonance, car les alvéoles autour sont pleines. À la radiologie, une image dense serait observée comme dans l’atélectasie, mais avec bronchogramme aérien +++. Pour l’atélectasie, les bronches sont pleines donc silence auscultatoire.
Question 3 - Quelle est l’étiologie la plus probable de la fièvre ?
Asthme = pathologie inflammatoire oui, mais localisée aux bronches, sans retentissement aigu inflammatoire systémique tel que la fièvre.
Plutôt bilatérale et interstitielle.
Oui, début brutal, condensation alvéolaire monolobaire, d’ailleurs plutôt en faveur du pneumocoque.
Image radiologique de condensation alvéolaire typique de pneumopathie infectieuse aiguë plutôt bactérienne comme le pneumocoque.
Vous concluez à une pneumopathie infectieuse aiguë.
Question 4 - Quel est le germe le plus probablement en cause ici ?
Plutôt retrouvé dans la bronchopneumopathie chronique obstructive (BPCO) et impliqué dans les exacerbations de cette dernière.
Plutôt retrouvé dans la BPCO et impliqué dans les exacerbations de cette dernière.
Pneumonie de l’enfant ou dans le cadre de pneumonie nosocomiale.
Germe hospitalier impliqué dans les pneumonies nosocomiales ou les exacerbations de BPCO après colonisations hospitalières des patients les plus sévères.
Face à une pneumonie aiguë communautaire, plusieurs tableaux caricaturaux s’opposent :
– la pneumonie à pneumocoque d’une part, pouvant être impliquée chez tout type de patient (tout âge, avec ou sans comorbidité), sans transmission interhumaine (colonisation de l’oropharynx), avec début brutal, fièvre élevée et tableau radiologique de pneumopathie franche lobaire aiguë ;
– à l’opposé, les germes atypiques (Mycoplasma et Chlamydia pneumoniæ) chez les personnes plutôt jeunes avec début progressif, atteinte radiologique bilatérale et interstitielle, dans un contexte épidémique (transmission interhumaine) ;
– et pour finir, la légionellose, chez les personnes plus âgées, comorbides (alcooliques, diabétiques, immunodéprimés) avec atteinte alvéolaire volontiers bilatérale et contamination par voie respiratoire ou par inhalation d’aérosol d’eau contaminée.
À noter : l’utilisation récente en routine clinique des PCR multiplex a révélé la place importante des pneumonies d’étiologie virale. Un virus est identifié dans les voies aériennes chez un quart à la moitié des cas de PAC de patients hospitalisés (Jain S, Self WH, Wunderink RG, et al. Community-Acquired Pneumonia Requiring Hospitalization among US Adults.NEJM 2015;373(5):415-27). Les virus influenza et les paramyxovirus (virus respiratoire syncytial, métapneumovirus humain et para-influenza) sont prédominants, de même que le SARS-CoV-2 notamment avant la période vaccinale.
Question 5 - Comment traitez-vous l’urgence respiratoire (une ou plusieurs réponses exactes) ?
Saturation O2 < 90 %.
Jamais pour traiter une détresse respiratoire asthmatique.
Le traitement d’une exacerbation asthmatique sévère comprend l’administration de bronchodilatateurs de courte durée d’action par voie nébulisée (voir sous-cutanée ou intraveineuse en cas d’échec de la voie nébulisée) et d’une corticothérapie systémique. La corticothérapie nébulisée n’est pas indiquée ici, car elle est moins efficace. Il y a peu d’effets secondaires à une administration systémique de courte durée des corticoïdes (déséquilibre glycémique chez les diabétiques principalement), et la pneumopathie bactérienne n’est pas une contre-indication tant qu’une antibiothérapie est démarrée en parallèle.
La ventilation non invasive est indiquée dans l’exacerbation de BPCO et l’œdème aigu du poumon principalement pour traiter une détresse respiratoire aiguë.
On recourt à une ventilation mécanique uniquement en cas d’échec du traitement médical conventionnel avec épuisement respiratoire manifeste ou imminent...
La patiente va mieux sur le plan respiratoire après l’administration d’aérosols de bronchodilatateur et n’a plus de signe de lutte. Elle nécessite une oxygénothérapie à 2 L/m. Les PCR rapides nasopharyngées de routine pour le diagnostic microbiologique et l’antigénurie légionnelle sont négatives.
La patiente ne rapporte pas d’allergie médicamenteuse.
Question 6 - Quel sera votre traitement anti-infectieux à initier aux urgences en première intention ?
PCR grippe négative.
Les PCR de routine sont, avec le prélèvement nasopharyngé, utilisées pour diagnostiquer les virus comme la grippe, le SARS-CoV-2, le rhinovirus, le virus respiratoire syncytial (VRS), le virus para-influenzæ, le métapneumovirus ou encore Mycoplasma pneumoniæ.
En France, l’antibiothérapie des infections respiratoires basses a été récemment mise à jour par la HAS : Choix et durée d’antibiothérapies : pneumonie aiguë communautaire de l’adulte en ambulatoire.
Pour résumé, devant une pneumonie aiguë communautaire (PAC) sans signe de gravité chez l’adulte :
• Suspicion de pneumocoque : amoxicilline
• Suspicion de pathogène atypique ou échec de l’antibiothérapie initiale (72 h) : clarythromycine
• Durée 7 jours maximum, possibilité d’arrêt à 5 jours ou à 3 jours si les critères de stabilité clinique (apyrexie, PA systolique ≥ 90 mmHg, Fréquence cardiaque ≤ 100 bpm, Fréquence respiratoire ≤ 24/min, SpO2 ≥ 90 % ou PaO2 ≥ 60 mmHg en air ambiant) sont vérifiés par le médecin et information délivrée au patient.
• Si comorbidités et échec à 72 h : Avis spécialisé, discuter l’hospitalisation
L'état de la patiente s’améliore sous traitement. Vous en profitez pour éclaircir son histoire asthmatique. Elle décrit un asthme dans l’enfance qui ne l’a pas trop gênée, avec environ deux crises par an surtout lorsqu’elle était en contact avec le chat de sa grand-mère au cours des vacances scolaires. Depuis l’âge de 24 ans elle est employée dans un salon comme coiffeuse. C’est à partir de cette période et quelques mois après le début de son contrat que son asthme a empiré. Elle décrit des symptômes et une utilisation de bêta-2 mimétique quotidienne ainsi qu’une gêne nocturne, sauf le week-end.
Question 7 - Durant l’enfance, quel traitement auriez-vous proposé à la patiente ?
Traitement de la crise.
Exposition au chat identifiée comme facteur déclenchant.
Question 8 - Quel est le contrôle de son asthme actuel ?
L’asthme est contrôlé si :
• les symptômes d’asthme sont contrôlés (évaluation par l’interrogatoire sur les 4 dernières semaines) [tableau suivant] ;
• les exacerbations sont rares : < 2 cures de corticothérapie systémique l’année précédente ;
• il n’y a pas d’obstruction bronchique : VEMS/CV > 0,7 et VEMS ≥ 80 %.
Figure 3.
La patiente réalise une spirométrie simple au cours de son séjour à l’hôpital.
Question 9 - Interprétez l’examen ci-dessus (une ou plusieurs réponses exactes).
Rapport de Tiffeneau < 70 % de la valeur moyenne théorique (ici 50 %).
Il faut une pléthysmographie pour cela (mesure du volume résiduel [VR] et de la capacité pulmonaire totale [CPT]).
Gain > 200 mL et 12 % (ici gain de 1 210 mL, soit gain de 73 % de la valeur préventoline).
Il faut une pléthysmographie pour cela (mesure du VR et de la CPT).
Il faut un test au CO.
Une spirométrie simple permet de mesurer les volumes mobilisables par le patient au cours de manœuvres respiratoires, soit le volume expiré maximal par seconde (VEMS) et la capacité vitale (CV). Les volumes non mobilisables, le volume résiduel (VR), volume qui reste dans les poumons à la fin de l’expiration totale, et la capacité pulmonaire totale (CPT [CV + VR]), sont mesurés par dilution en pléthysmographie.
L’asthme comme la BPCO sont suspectés devant une baisse du rapport de Tiffeneau (VEMS/CV < 0,7). Cette mesure est la plus représentative de l’obstruction bronchique dans la mesure où elle évalue la capacité d’un individu à expirer, fonction ventilatoire bronchique première. L’air entre dans les poumons de manière active par la contraction diaphragmatique et ressort par les bronches passivement. De manière physiologique, plus de 70 % des volumes mobilisables doivent pouvoir être chassés des poumons en une seconde.
L’asthme est un trouble obstructif réversible à la différence de la BPCO (gain de 12 % et 200 mL du VEMS mesuré après bronchodilatateur ou corticothérapie). Attention piège ! Les 12 % se mesurent à partir des valeurs mesurées en volumes et non des valeurs en % de la théorique.
Le VEMS et le débit expiratoire maximal médian (DEMM) à 25/75 (entre 25 et 75 % de la capacité vitale forcée) peuvent être également diminués dans le syndrome restrictif et ne représentent pas de bon marqueur du trouble obstructif.
La capacité vitale est en spirométrie le reflet d’une restriction si elle est < 80 %, mais doit être confirmée en pléthysmographie par une CPT < 80 %, car il existe de faux positifs (obésité, mauvaise manœuvre…).
Figure 5.
Question 10 - Quel facteur favorisant l’asthme identifiez-vous chez cette patiente ?
Moyen mnémotechnique pour retenir les facteurs favorisants l’asthme (POLICIER, car l’interrogatoire doit être policier !) :
• Profession : allergènes professionnels (couleurs) ;
• Obésité ;
• Lieu de vie : habitat (pneumallergènes : acariens…) ;
• Infection : rhinopharyngite, pneumonie ;
• Cigarettes ;
• Iatrogénie : bêtabloquants, AINS (syndrome de Widal) ;
• Environnement : animaux (chats, chiens), milieu urbain (pollution), milieu rural (pollens…) ;
• RGO/Rhinite allergique.
Question 11 - Dans sa situation, la patiente peut prétendre à (une ou plusieurs réponses exactes) :
Sans délai de carence et correspondant à 60 % du salaire pour les 28 premiers jours puis à 80 % à partir du 29ejour.
Une maladie est dite professionnelle (MP) lorsqu’elle est la conséquence directe de l’exposition d’un travailleur à un risque physique, chimique ou biologique, ou résulte des conditions dans lesquelles il exerce son activité professionnelle. L’accident du travail (AT) est défini ainsi : « Est considéré comme AT, quelle qu’en soit la cause, l’accident survenu par le fait ou à l’occasion du travail, à toute personne salariée ou travaillant à quelque titre ou en quelque lieu que ce soit, pour un ou plusieurs employeurs ou chefs d’entreprise. » Le caractère brutal, violent, distingue donc l’AT de la MP qui est d’évolution lente et prolongée.
Question 12 - Comment peut-on définir son asthme actuel ?
Dans l’asthme professionnel (AP), selon le mécanisme impliqué, on oppose :
• les asthmes avec période de latence dont le mécanisme supposé est immunologique. La période de latence entre le début de l’exposition et la survenue de l’asthme correspond au temps nécessaire à l’acquisition d’une sensibilisation à l’agent causal. Cette catégorie regroupe : les AP dont le mécanisme dépend des IgE (impliquant la plupart des agents de haut poids moléculaire et quelques agents de bas poids moléculaire) et les AP dont le mécanisme IgE dépendant ne peut être démontré (impliquant essentiellement les agents de bas poids moléculaire tels que les isocyanates, les acrylates, etc.) ;
• les asthmes sans période de latence (encore appelé syndrome d’irritation aigu bronchique ou syndrome de Brooks) dont le mécanisme ne semble pas immunologique. Ils surviennent après une exposition accidentelle unique à un irritant respiratoire (vapeur, gaz, fumée) sur le lieu de travail ou à faibles doses répétées.
L’asthme aggravé par le travail, défini comme un asthme préexistant aggravé sur le lieu du travail.
Question 13 - Pourquoi la patiente peut-elle bénéficier d’une reconnaissance en maladie professionnelle (une ou plusieurs réponses exactes) ?
Asthme professionnel (tableau 66 des maladies professionnelles). Exposition aux allergènes professionnels reconnus dans cette profession (persulfates alcalins [produit de décoloration capillaire], teintures capillaires, produits de permanente). Délai de prise en charge < 7 jours (délai entre la fin de l’exposition et le début des symptômes).
Il faut appartenir au régime général (salariés du secteur privé comme cette patiente, ou fonctionnaires) ou au régime agricole pour pouvoir bénéficier du statut de maladie professionnelle. Dans le régime des indépendants il n’y a pas de cotisation pour la maladie professionnelle…
La présomption d’origine sous-entend que le patient n’a pas à faire la preuve du lien de causalité entre la profession et la maladie. Si l’assurance maladie à un doute, un médecin-conseil peut mener l’enquête.
Si la maladie professionnelle est reconnue : prise en charge à 100 % des soins relatifs à l’asthme et reclassement professionnel possible.
Question 14 - Quel traitement de fond peut être justifié chez cette patiente (une ou plusieurs réponses exactes) ?
Traitement à associer au traitement de fond.
Jamais à l’inverse de la BPCO.
Le traitement de fond de l’asthme (à ne pas confondre avec celui de la BPCO) doit comprendre, aux stades persistants, systématiquement au minimum un corticoïde inhalé, jamais de bronchodilatateur de longue durée d’action seul. L’association corticoïde et bronchodilatateur de longue durée d’action seul peut être utilisé en fonction du contrôle de l’asthme. On débute donc un traitement de fond puis l’adaptation se fait selon le contrôle de la maladie. Si patient non contrôlé, passage au palier supérieur, si patient totalement contrôlé après 3 à 6 mois de traitement, un palier inférieur peut être tenté.
Les anticorps anti-IgE sont réservés à l’asthme allergique persistant sévère mal contrôlé par un traitement combiné, avec élévation des IgE totaux.
La patiente vous demande quelles sont les mesures complémentaires vaccinales à associer à la prise en charge de l’asthme pour éviter que cela se reproduise sachant qu’elle est à jour concernant les vaccins recommandés de population générale.
Vaccination anti-pneumoccique pour les asthmes sévères, par PREVENAR20.
Corticoïdes.
Calendrier des vaccinations et recommandations vaccinales 2025 (Institut de veille sanitaire) :
• vaccination contre la coqueluche si projet parental ;
• vaccination antigrippale et anti-SARS-CoV-2 annuelle : asthme et BPCO quelle que soit la sévérité de la maladie. ;
• vaccination contre le pneumocoque s’il existe une insuffisance respiratoire chronique (PaO2 < 70 mmHg) ou si l’asthme est sévère ;
• vaccination contre Hæmophilus influenzæ de type b : fait partie des vaccins recommandés en population générale donc la patiente a déjà été vaccinée dans l’enfance.
– augmentation progressive des symptômes durant au moins deux jours et nécessitant une modification du traitement ;
– non calmée par les bronchodilatateurs utilisés de façon fréquente et en quantité importante ;
– sans retour à l’état habituel.
Il existe bien entendu un facteur déclenchant infectieux participant à la sévérité des symptômes.
Critères de sévérité :