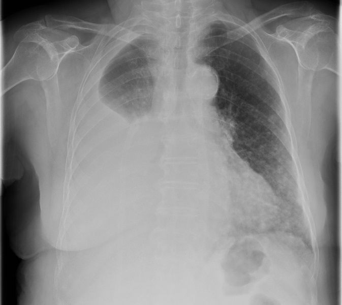
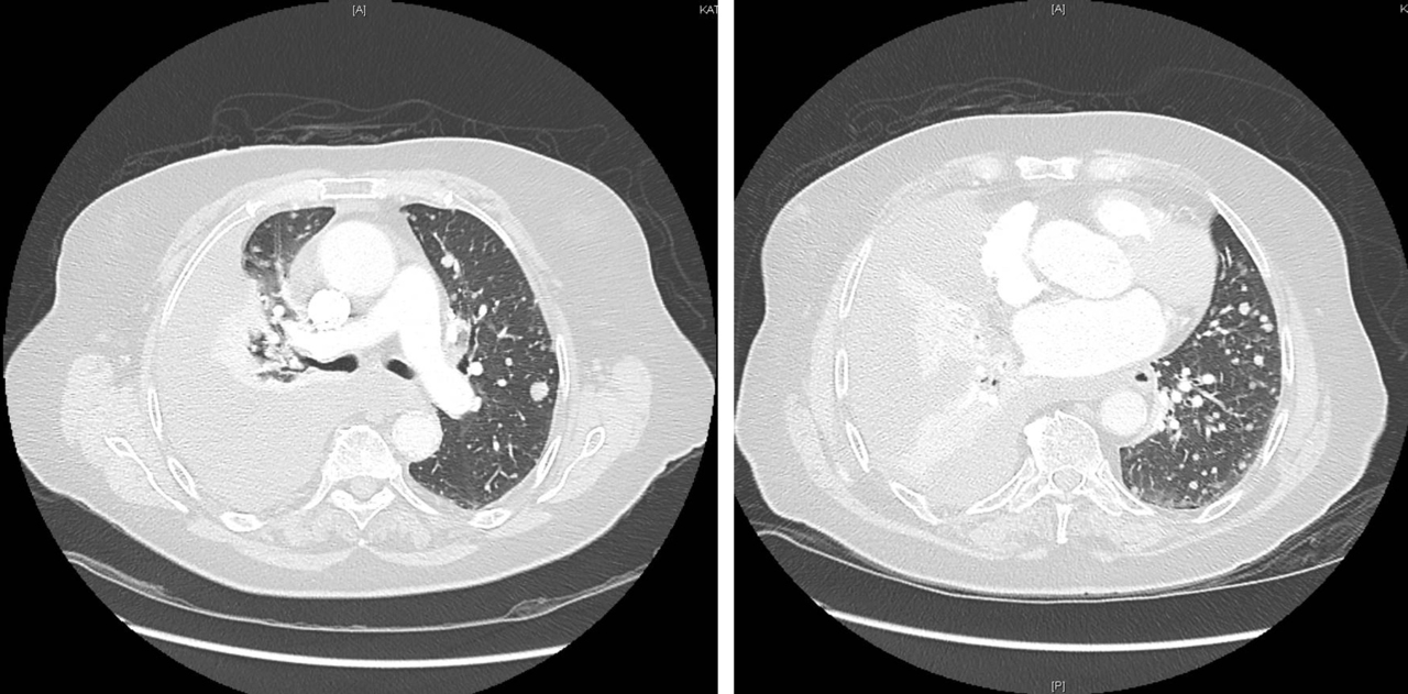
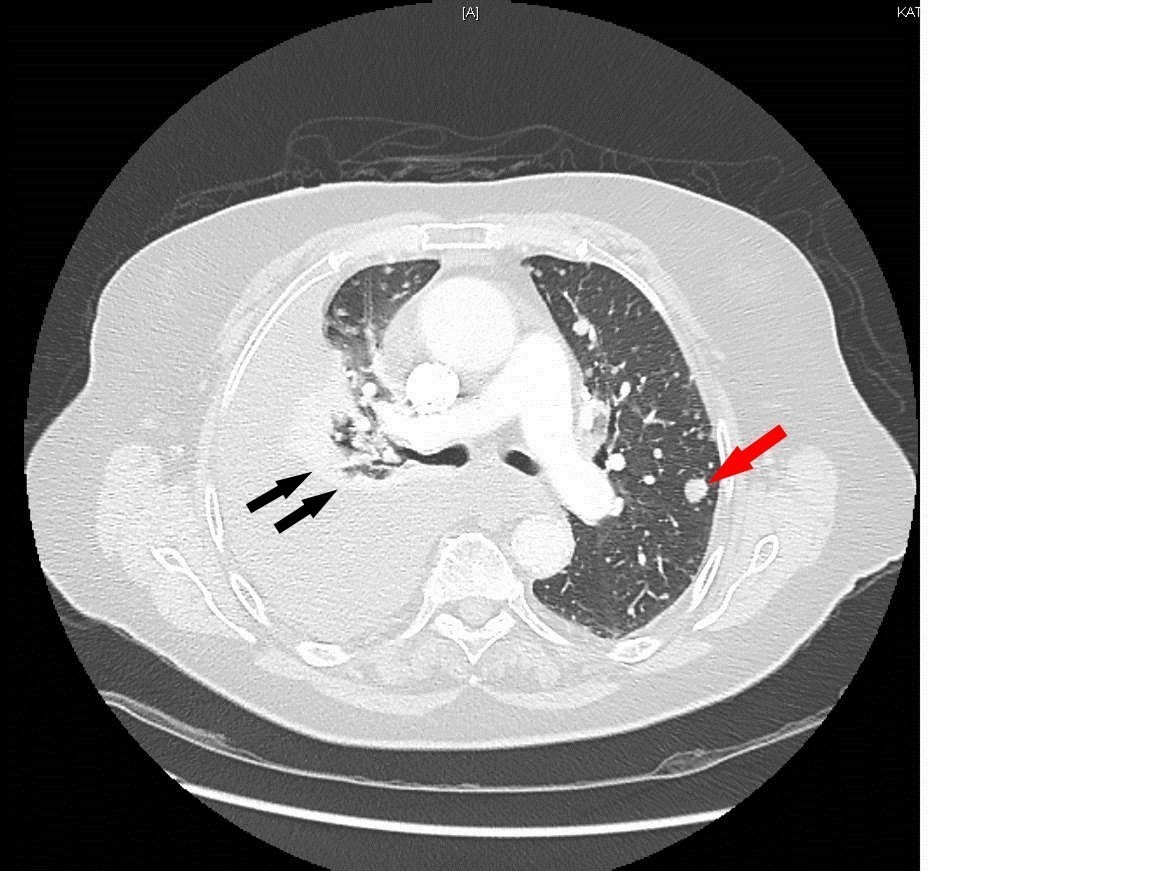
Mme K. est admise aux urgences pour exploration d’une douleur thoracique. Cette femme de 76 ans est suivie en cardiologie depuis dix ans pour un rétrécissement aortique, une hypertension artérielle (HTA) et une dyslipidémie. Elle est parfaitement autonome à domicile. Elle fume un demi-paquet de cigarettes par jour depuis trente ans. Elle est traitée par rivaroxaban (anti-Xa) depuis six semaines pour une thrombose veineuse profonde (TVP) du membre inférieur droit survenue à l’occasion d’un voyage en voiture. Le reste de son traitement comporte de la simvastatine et de l’hydrochlorothiazide.
Depuis trois jours, elle présente une douleur thoracique croissante, latéralisée à droite et survenue sans facteur déclenchant évident.
Depuis trois jours, elle présente une douleur thoracique croissante, latéralisée à droite et survenue sans facteur déclenchant évident.
Question 1 - Parmi les propositions suivantes, quels diagnostics vous semblent compatibles avec ce tableau clinique ?
Le siège de la douleur est atypique mais n’élimine pas formellement un syndrome coronarien surtout chez un sujet âgé (pouvant se manifester de manière atypique), présentant de nombreux facteurs de risque cardiovasculaire (âge, HTA, dyslipidémie, tabagisme actif).
À évoquer en priorité car TVP récente et douleur thoracique. Le traitement anticoagulant en cours n’élimine pas une migration embolique (surtout en cas de mauvaise observance).
À évoquer devant une douleur thoracique latéralisée.
La douleur thoracique n’est pas évocatrice.
À évoquer devant une douleur thoracique latéralisée chez une patiente avec tabagisme important.






