Un patient de 82 ans se présente aux urgences ophtalmologiques pour un ptosis de l’œil droit d’apparition brutale après chute de sa hauteur.

Il a comme antécédent médical une cardiopathie ischémique stentée, un diabète de type 2, une dyslipidémie, une hypertension artérielle. D’un point de vue chirurgical il a été opéré de la cataracte des deux yeux et d’une hernie inguinale à gauche.

Il vous raconte qu’il s’est pris les pieds dans son tapis et qu’il s’est cogné la tête sur le sol sans perdre connaissance.

En soulevant la paupière de l’œil droit voici ce que vous voyez (figure 1) :

Figure 1 (note : il s'agit d'un exemple, et non pas du patient en question / source : G. Kielwasser).
Question 1 - Vous constatez : 
L’œil droit est dirigé en bas et en dehors, il existe donc une divergence ou exotropie de l’œil droit ainsi qu’une légère hypotropie. Une hypertropie est un œil dirigé vers le haut tandis qu’une hypotropie est un œil dirigé vers le bas.
Question 2 - Ce patient a donc :
Devant la position de l’œil en en dehors et en bas on peut conclure à la fonctionnalité du muscle droit externe innervé par le nerf VI responsable de l’abduction et de l’oblique supérieur innervé par le nerf IV responsable de l’abaissement. De plus, il existe un ptosis par paralysie du muscle releveur de la paupière supérieure. On peut donc conclure à une paralysie du III droit qui innerve le droit médial supérieur et inférieur, l’oblique inférieur et le releveur de la paupière supérieure.
Le patient a donc une paralysie du nerf III droit.
Question 3 - D’un point de vue clinique vous recherchez impérativement :
Devant une paralysie du III il faut rechercher des signes en faveur des étiologies nécessitant un traitement en urgence.
Il faut rechercher un syndrome fissuraire d’un anévrysme de la communicante postérieure qui se traduit par une paralysie du III progressive, douloureuse, partielle, avec une atteinte de la pupille en mydriase.
Il faut également rechercher une exophtalmie qui dans le contexte post-traumatique suggérerait une fistule carotido-caverneuse.
Il faut rechercher d’autres signes neurologiques associés en faveur d’un accident vasculaire cérébral (AVC).
Il faut également rechercher des signes fonctionnels en faveur d’une maladie de Horton.
Au final, l’examen retrouve une atteinte isolée du III droit non douloureuse sans mydriase. Il n’y a pas d’autre déficit moteur. L’acuité visuelle est mesurée à 10/10 Pa2 au niveau de l’œil droit et 8/10 au niveau de l’œil gauche ; la pression intraoculaire est normale à 13 et 14 mmHg. L’examen orthoptique confirme l’atteinte du nerf III à droite.
Question 4 - En urgence vous réalisez les examens complémentaires suivants :
Devant une paralysie du III on réalise de principe une imagerie cérébrale à la recherche d’une compression du nerf III. On recherche également des signes en faveur d’une maladie de Horton.
La mesure de l’HbA1c en urgence est inutile ici, le patient est diabétique connu, il faudra la vérifier afin de vérifier le bon contrôle du diabète si on suspecte une cause microvasculaire.
La mesure de la fonction rénale est nécessaire afin de vérifier si l’injection de produit de contraste est possible.
Dans l’attente du scanner cérébral, Mme P. vient vous chercher car son mari répond à ses questions de manière incohérente. Vous l’envoyez aux urgences générales.
À l’arrivée aux urgences, il a des troubles de la conscience, se plaint de céphalées, vomissements et douleurs abdominales. L’infirmière vous donne ses constantes : hypotension à 80/50 ; fréquence cardiaque (FC) à 90 bpm. La glycémie capillaire est mesurée à 0,48 g/L et la température (T°) à 37,2°C.
Il est confus désorienté avec un Glasgow à 13/15.
Cliniquement on retrouve un pli cutané avec une langue rôtie.
L’examen cardiopulmonaire est sans particularité. L’abdomen est souple, dépressible mais douloureux dans son ensemble. L’examen neurologique ne retrouve pas de signe de focalisation. 
Question 5 - Vous suspectez :
Un hématome parenchymateux donnerait un signe de focalisation.
Le patient est apyrétique, il ne peut être en sepsis ni avoir une méningite infectieuse. Le tableau d’insuffisance surrénale aiguë peut donner un syndrome méningé avec signes de Brudzinski, une raideur de nuque mais sans fièvre.
Le surdosage en metformine ne donne pas d’hypoglycémie. Il peut donner une acidose lactique en lien avec une insuffisance rénale qui va certes avec les douleurs abdominales, les troubles de conscience, mais ne va pas avec l’hypotension, l’hypoglycémie.
Vous suspectez une insuffisance surrénale aiguë.
Question 6 - Sur l’examen biologique vous retrouvez :
Ici, on ne connaît pas encore la cause de l’insuffisance surrénale aiguë (périphérique ou centrale), même si l’on suspecte une cause centrale.
On peut donc s’attendre de manière générale à une insuffisance rénale aiguë (augmentation de la créatininémie), hyponatrémie et hyperkaliémie. Il peut exister une acidose métabolique et donc diminution des bicarbonates.
De plus, même si ici l’on suspecte une cause centrale, il existe les mêmes anomalies biologiques lors d’une cause périphérique mais en moindre mesure.
Question 7 - Vous réalisez, de plus :
La mesure du cortisol est nécessaire pour confirmer l’insuffisance surrénale aiguë et ne dépend pas du rythme circadien s’il existe une insuffisance de sécrétion, le dosage de l’ACTH permettra d’orienter plutôt vers l’origine centrale ou périphérique. La mesure de la TSH permettra également d’orienter vers une cause centrale.
Le test au Synacthène est indiqué lors d’un traitement prolongé par corticothérapie avant un éventuel arrêt afin de vérifier l’absence d’insuffisance surrénale par mise au repos des glandes surrénales.
Question 8 - Votre prise en charge est la suivante :
Il faut hospitaliser le patient en réanimation, lui administrer une dose de charge d’hydrocortisone sans attendre les résultats puis immédiatement après mettre un pousse-seringue d’hydrocortisone en intraveineuse continue. C’est une urgence !
Le patient est en insuffisance surrénale aiguë, il faut l’hydrater avec du sérum salé isotonique (NaCl 0,9 %) et non du G5 %. L’hydratation rentre dans le traitement d’une insuffisance surrénale aiguë même s’il n’y a pas d’insuffisance rénale associée.
Question 9 - Vous réalisez les examens d’imagerie suivants :
Il faut rechercher la cause de l’insuffisance surrénale aiguë. On veut rechercher des lésions au niveau de l’hypophyse ou au niveau des surrénales.
Le scanner sans injection permettra de mettre en évidence un hématome hypophysaire, tandis que l’injection apportera du contraste au niveau et permettra une analyse plus fine du parenchyme à la recherche d’une éventuelle ischémie.
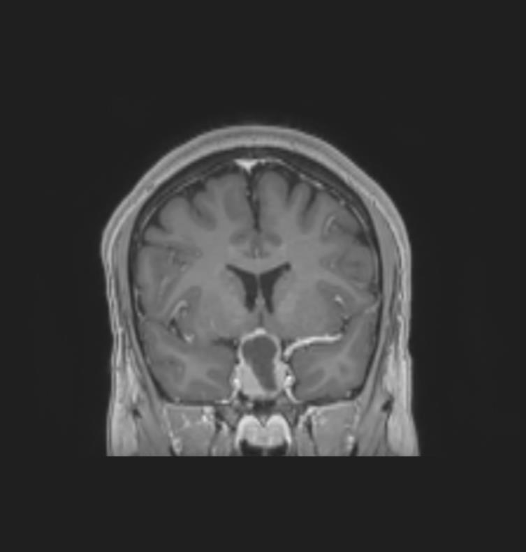
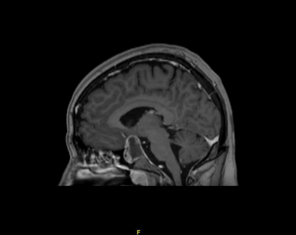
Le patient bénéficie également d’une imagerie par résonance magnétique (IRM) cérébrale devant un doute sur le scanner. Voici deux coupes (figures 2 et 3) :
Figure 2 (source : G. Kielwasser)

 

Figure 3 (source : G. Kielwasser)

 

Question 10 - Les réponses justes à propos de ces coupes sont les suivantes :
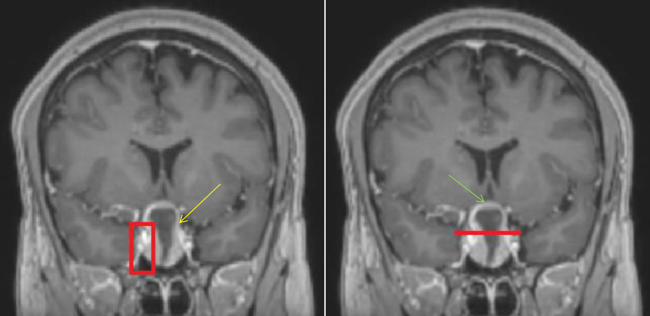
Sur la coupe coronale d’IRM en séquence T1 avec injection de gadolinium ci-dessous (figure 2 bis), on constate :
Figure 2 bis (source : G. Kielwasser)

– sur l’image de gauche, que les sinus caverneux sont visibles de part et d’autre de la fosse pituitaire avec les vaisseaux rehaussés par le gadolinium. La flèche jaune pointe la masse hétérogène (centre hyposignal, périphérie hypersignal), en lien avec l’apoplexie pituitaire qui correspond à une hémorragie au sein du macro-adénome hypophysaire ;
– sur l’image de droite, que la ligne rouge correspond à une limite approximative de la loge pituitaire que l’hypophyse ne devrait pas dépasser. La flèche verte pointe le chiasma optique comprimé par la masse.
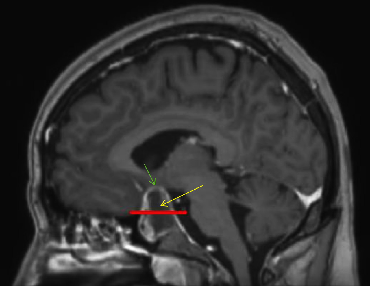
Figure 3 bis (source : G. Kielwasser)

Sur cette coupe sagittale en T1 avec injection de gadolinium (figure 3 bis), on observe les mêmes structures que sur la coupe précédente, avec la flèche jaune pointant le macroadénome hypophysaire hémorragique et la ligne rouge représentant la limite virtuelle de la loge pituitaire. La flèche verte pointe le chiasma optique comprimé par la masse.
Question 11 - Les autres structures pouvant être touchées dans le sinus caverneux sont :
Les structures présentes dans le sinus caverneux sont les nerfs III, IV, V1, V2, VI, le faisceau sympathique responsable de la motricité pupillaire et l’artère carotide interne.
Vous revoyez le patient un mois plus tard en contrôle d’ophtalmologie. Il  a été traité chirurgicalement et est substitué d’un point de vue hormonal.
Question 12 - Le champ visuel préopératoire aurait pu trouver :
Un macro-adénome hypophysaire est responsable le plus souvent d’une compression du chiasma optique. Le chiasma optique est la zone de décussation des fibres nerveuses en provenance de la rétine nasale qui est responsable du champ visuel temporal.
Un syndrome chiasmatique se traduit donc au champ visuel par une hémianopsie bitemporale.
On retrouve une hémianopsie/quadranopsie latérale homonyme en cas de lésion en arrière du chiasma.
Un scotome cæcocentral se retrouvera en cas de lésion pré-chiasmatique (neuropathie optique inflammatoire, compressive, glaucomateuse).
Vous réalisez également ce test (figure 4) :
Figure 4 (source : G. Kielwasser)
Question 13 - À propos de la figure 4, les réponses justes sont :
Il s’agit d’un test de Hess-Lancaster, l’œil pathologique est celui qui a le plus petit carré (limitations oculomotrices). En cas de motilités oculaires normales, les traits rouges sont superposés aux quatre côtés du grand carré. Si le trait est en dedans, il y a une paralysie/parésie ; si le trait est en dehors, il y a une hyperaction. Au niveau de l’œil gauche, on voit les hyperactions compensatrices des agonistes controlatéraux.
Il persiste donc une diplopie par compression du III droit secondaire à l’apoplexie pituitaire.
Vous revoyez encore le patient trois mois après, le contrôle de l’IRM est rassurant. Il n’y a plus de diplopie ni lésion au champ visuel.
En revanche, il a une acuité visuelle à 8/10 au niveau de l’œil gauche. Il rapporte, en effet, une baisse d’acuité visuelle progressive lentement depuis trois mois. 
Question 14 - On pourrait suspecter :
La rétinopathie diabétique, si elle n’est pas compliquée, ne donne pas de baisse d’acuité visuelle, c’est l’œdème maculaire diabétique qui provoque cette dernière.
Le patient a été opéré de la cataracte, il peut donc avoir une cataracte secondaire qui est l’opacification de la capsule postérieure.
Ici le délai est trop long (2 ans) pour suspecter un syndrome d’Irvine-Gass qui correspond à un œdème maculaire postopératoire d’une chirurgie de cataracte.
Il a en effet une cataracte secondaire de l’œil gauche.
Question 15 - Vous lui proposez, d’un point de vue thérapeutique :
Le traitement d’une cataracte secondaire est la capsulotomie au laser Yag qui consiste à ouvrir la capsule postérieure. Elle est réalisée en consultation.
Le traitement par photocoagulation rétinienne se fait au laser Argon et est indiqué notamment dans la rétinopathie diabétique ou en cas d’occlusion de la veine centrale de la rétine ischémique.

Exercez-vous aux ECN avec les dossiers progressifs et les LCA de La Revue du Praticien