Vous recevez aux urgences M. D., 56 ans. M. D. est sans domicile fixe, il vous dit habiter dans sa voiture, mais ne se souvient plus depuis quand. Il n’a aucun suivi médical. Il est né en France et n’a jamais voyagé à l’étranger. L’interrogatoire est difficile, vous comprenez qu’il boit de l’alcool quotidiennement : 3 bières de 50 cL/j et une demi-bouteille de whisky. Sa dernière bière remonte à il y a 2 heures.

Il dit ne prendre aucun médicament et avoir été hospitalisé il y a 6 mois parce qu’il était « gonflé » et qu’il avait craché du sang.

Il consulte aujourd’hui pour des douleurs abdominales depuis 48 heures avec des sueurs. Son corps est « trop chaud ».

Cliniquement, vous observez un abdomen distendu et mat avec de nombreux vaisseaux abdominaux visibles, des angiomes stellaires au niveau du tronc et une érythrose palmaire. Il n’y a pas de flapping ni d’astérixis. Il y a de légers œdèmes des membres inférieurs.

Ses constantes : pression artérielle (PA) = 110/63 mmHg ; fréquence cardiaque (FC) = 90 bpm ; saturation en oxygène (SpO2) = 97 % ; température (T°) = 38,6 °C.
Question 1 - Vous évoquez le(s) diagnostic(s) suivant(s) :
Hypothèse possible devant les crépitants à l’auscultation et les œdèmes des membres inférieurs, mais le tableau fait plutôt évoquer une décompensation œdémato-ascitique de cirrhose.
M. D. a des signes d’hypertension portale (circulation veineuse collatérale) et d’insuffisance hépatocellulaire (angiomes stellaires, érythrose palmaire). L’hospitalisation d’il y a 6 mois pour hémorragie digestive et décompensation œdémato-ascitique est un autre indice en faveur de ce diagnostic
À évoquer SYSTÉMATIQUEMENT chez un cirrhotique avec de la fièvre.
Il n’y a pas de flapping.
M. D. ne tremble pas, n’est pas tachycarde ni hypertendu. Il n’a pas de signe physique en faveur d’un sevrage et sa dernière bière remonte à il y a 2 heures.
Vous évoquez une infection du liquide d’ascite chez un patient probablement cirrhotique.
Question 2 - Afin d’étayer votre diagnostic, vous réalisez l’examen (ou les examens) complémentaire(s) suivant(s) :
Un cirrhotique avec de la fièvre doit bénéficier d’un bilan infectieux complet : hémocultures, examen cytobactériologique des urines (ECBU), radiographie de thorax et ponction d’ascite exploratrice s’il y a de l’ascite.
Pour confirmer une infection du liquide d’ascite, on réalise une ponction EXPLORATRICE, qui peut être réalisée quel que soit le bilan d’hémostase. Par contre, pas de ponction évacuatrice lors d’une infection, ni sans résultat d’hémostase !
Il n’y a aucun signe en faveur d’une détresse respiratoire.
Même si on évoque une infection du liquide d’ascite, tout cirrhotique avec de la fièvre doit bénéficier d’un bilan infectieux complet (v. réponse 1). Deux infections concomitantes peuvent exister.
Voici les analyses biologiques de M. D. :
– numération formule sanguine (NFS) : hémoglobine (Hg) = 9,8 g/dL ; volume globulaire moyen (VGM) = 106 fL ; plaquettes 90 G/L ; leucocytes = 12 G/L dont 10 G/L de polynucléaires neutrophiles (PNN) ; taux de prothrombine (TP) = 45 % ;
– ionogramme : sodium (Na) = 132 mmol/L ; potassium (K) = + 4,2 mmol/L ; créatininémie 50 μmol/L ; albumine = 21 g/L ; préalbumine 0,16 g/L ;
– bilan hépatique : alanine aminotransférase (ALAT) = 100 UI/L ; aspartate aminotransférase (ASAT) = 121 UI/L ; bilirubine = 45 μmol/L ; gamma-glutamyl transférase (GGT) = 200 UI/L (N : 10-45) ; lactate déshydrogénase (LDH) = 560 UI/L (N : 190-450 UI/L) ;
– ascite : 750 leucocytes/mm3 dont 40 % de PNN. Absence de germe au direct.
– hémocultures : absence de germe au direct. 
ECBU : leucocytes à 5,10 x 3/mL. Pas de germe au direct.
Radiographie de thorax : émoussement du cul-de-sac pleural droit.
Question 3 - Concernant les résultats biologiques :
Attention ! Le diagnostic d’infection du liquide d’ascite se fait sur le nombre de PNN dans l’ascite et non le nombre de leucocytes : elle est définie par un nombre de PNN > 250/mm3 dans l’ascite.
Ici, anémie avec volume globulaire moyen (VGM) augmenté donc anémie macrocytaire. Devant une macrocytose, il faut d’abord éliminer une consommation excessive d’alcool, une insuffisance rénale, une dysfonction thyroïdienne, avant d’évoquer une carence en vitamine B12 ou folates. La macrocytose de M. D. est en lien avec sa cirrhose.
Non indiquée. Les transfusions de plaquettes sont indiquées lorsqu’il y a une thrombopénie < 20 G/L en cas d’événement hémorragique, ce qui n’est pas le cas ici.
Une anémie ferriprive est microcytaire (VGM 80 fL).
La cholestase est souvent présente en cas de consommation d’alcool chronique.
Vous diagnostiquez donc une infection du liquide d’ascite chez M. D., responsable d’une décompensation œdémato-ascitique a minima.
Question 4 - Concernant votre prise en charge thérapeutique :
L’antibiothérapie recommandée pour l’infection du liquide d’ascite est une mono-antibiothérapie par céfotaxime, quinolone ou Augmentin.
Pas d’endoscopie en urgence sans signe d’hémorragie digestive. De plus, il existe souvent une anémie chez le patient cirrhotique, qui est en rapport avec un hypersplénisme.
Le TP est souvent abaissé chez les cirrhotiques à cause d’un déficit en facteur V (non vitamino-K dépendant), qui est synthétisé par le foie.
La perfusion d’albumine à J1 et J3 fait partie intégrante du traitement de l’infection du liquide d’ascite.
On ne déplète pas dans un contexte septique.
Après avoir initié une antibiothérapie par céfotaxime et perfusé de l’albumine pour traiter l’infection du liquide d’ascite, M. D. est monté dans le service d’hépatologie pour la suite de la prise en charge.
Quelques heures après, vous êtes appelé par le service car M. D. trémule des extrémités. Il est tachycarde à 120 bpm, hypertendu à 150/80 mmHg et en sueur.
Question 5 - Concernant votre prise en charge :
Ici, tableau de sevrage plutôt. Le delirium tremens est associé à des hallucinations visuelles.
Il permet d’identifier la gravité du syndrome de sevrage et de décider une hydratation per os ou par voie intraveineuse (v. figure 1).
Le diazépam horaire est la prise en charge du delirium tremens. Ici, M. D. est en sevrage, on met des benzodiazépines type oxazépam, moins hépatotoxique, toutes les 4 heures environ pour diminuer les tremblements et les signes de manque et prévenir un delirium tremens.
La supplémentation en vitamine B1 permet de diminuer le risque d’encéphalopathie de Gayet-Wernicke, celle en vitamine PP de limiter le risque d’encéphalopathie pellagreuse. La carence en vitamine B6 favorise les crises convulsives et le risque de neuropathie périphérique.
On évite de perfuser avec du G5 % les alcooliques en sevrage car cela augmente le risque d’encéphalopathie de Gayet-Wernicke en aggravant le déficit en vitamine B1.
Voici le score de Cushman (figure 1) :
Figure 1 - Score de Cushman
M. D. est maintenant hospitalisé depuis 48 h. Après hydratation IV, vitaminothérapie et oxazépam, son syndrome de sevrage est rentré dans l’ordre.
La culture du liquide d’ascite est négative à 48 h.
Question 6 - Concernant l’infection du liquide d’ascite :
Il faut vérifier que le taux de PNN a diminué de 50 %, critère d’efficacité du traitement.
Perfusion d’albumine à J1 et J3 indiquée.
La plupart du temps, on ne retrouve pas de germe lors de l’infection du liquide d’ascite. Le critère diagnostique est uniquement le taux de PNN > 250/mm3 dans l’ascite.
Il n’y a aucune contre-indication hémostatique à la ponction d’ascite exploratrice !
Non indiqué. Le mécanisme de l’infection du liquide d’ascite est le plus souvent la translocation bactérienne.
La ponction d’ascite réalisée à 48 h montre une diminution de 50 % des PNN. Vous poursuivez donc l’antibiothérapie par céfotaxime pour une durée totale de 7 jours. Avant qu’il sorte d’hospitalisation, vous décidez de réaliser un bilan de sa cirrhose.
Question 7 - Afin de réaliser le bilan de sa cirrhose :
Indispensable pour rechercher des signes d’hépatopathie chronique.
Seuls les virus des hépatites B et C (VHB, VHC) sont pourvoyeurs de cirrhose. Les causes de cirrhose peuvent être intriquées, donc même s’il y a ici une cause évidente qui est l’alcool, il faut rechercher d’autres causes.
Il n’est pas nécessaire de confirmer histologiquement la cirrhose en cas de signes cliniques d’hypertension portale et d’insuffisance hépatocellulaire associée.
La stéatose hépatique non alcoolique est une des grandes causes de cirrhose, elle est évoquée en cas de surcharge pondérale ou de syndrome métabolique. On peut réaliser un bilan lipidique complet pour chercher des arguments en faveur d’un syndrome métabolique. Même si ici il y a une cause évidente de cirrhose (l’alcool), il peut y avoir plusieurs causes de cirrhose intriquées.
Le dosage de l’alphafœtoprotéine n’est plus indiqué pour dépister le carcinome hépatocellulaire (CHC). Ici, M. D. a une cirrhose évoluant depuis on ne sait pas combien de temps, il faut donc le dépister pour le CHC, mais par échographie uniquement.
L’échographie abdominale montre un foie à contours bosselés, avec une hypertrophie du segment I et une hypotrophie du segment IV, compatible avec une hépatopathie chronique. Le tronc porte est perméable. Il n’y a pas de lésion focale suspecte.
Les sérologies VHB et VHC sont négatives.
Nous sommes maintenant à J10 de l’hospitalisation, M. D. n’est plus fébrile et son infection du liquide d’ascite a été traitée avec succès. Malgré cela, il garde une ascite de moyenne abondance.
Question 8 - Afin de traiter cette ascite :
Concernant les diurétiques, on peut débuter par du spironolactone 75 mg ou par une bithérapie d’emblée spironolactone et furosémide, mais pas par le furosémide seul. On débute à petites doses, qu’on augmente graduellement si besoin. On peut aller jusqu’à 400 mg de spironolactone et 160 mg de furosémide.
Le régime pauvre en sel permet de ralentir la formation de l’ascite.
La restriction hydrique peut entraîner une insuffisance rénale fonctionnelle et ne favorisera pas le contrôle de l’ascite.
Une ascite est réfractaire lorsqu’elle récidive malgré un traitement médical maximal, ce qui n’est pas le cas ici, car nous initions tout juste le traitement médical.
À J15 de son hospitalisation, l’infirmière vous signale que M. D. a eu deux épisodes de méléna dans la nuit.
Ses constantes : PA = 90/60 mmHg ; FC = 110 bpm ; SpO2 = 97 %, T° = 36,5.
Vous avez fait réaliser une numération formule sanguine (NFS) en urgence qui montre une hémoglobine à 8,5 g/dL.
Question 9 - Devant ce tableau d’hémorragie digestive :
Plusieurs causes possibles de saignement digestif chez le cirrhotique : la rupture de varices (œsophagiennes ou gastriques), la gastropathie d’hypertension portale mais aussi les ulcères. Tant qu’on ne sait pas ce qui saigne, on met des IPP-IVSE (et non double dose) dans l’hypothèse d’un ulcère gastrique ou duodénal pouvant être responsable du saignement.
C’est un traitement vasoactif qui va permettre de diminuer l’hypertension portale.
M. D. est tachycarde et hypotendu, il nécessite un remplissage.
Il faut toujours mettre une antibioprophylaxie par céphalosporine de troisième génération (C3G) ou quinolone lors d’une hémorragie digestive chez un cirrhotique avec de l’ascite afin de prévenir une infection du liquide d’ascite.
Non, endoscopie à réaliser dans les 12 heures, chez un malade stable hémodynamique.
Devant la suspicion d’hémorragie digestive, vous avez rempli M. D. avec du NaCl 0,9 %, initié un traitement par somatostatine IVSE et IPP IVSE et entamé une antibioprophylaxie par norfloxacine.
Une endoscopie digestive haute est réalisée dont voici le compte-rendu : varices œsophagiennes de grade III avec signes rouges ; gastropathie d’hypertension portale ; absence d’ulcère.
Question 10 - Concernant le traitement endoscopique et médical :
La pose de clip est un traitement de l’ulcère hémorragique.
C’est le traitement lorsque les VO ont des signes rouges (petite tache rouge de sang au niveau de la varice) qui indiquent qu’elles ont saigné.
Traitement de l’ulcère hémorragique.
Ici, on va adopter une stratégie de prévention secondaire de l’hémorragie digestive, c’est-à-dire bêtabloquants au long cours associés à un programme de ligature de VO, soit une séance de ligature toutes les 2-3 semaines jusqu’à ce qu’il n’y ait plus de varice ligaturable.
M. D. a donc bénéficié d’une ligature des VO devant des varices de grade III associées à des signes rouges, mais le soir même il a trois nouveaux épisodes de méléna.
Question 11 - Concernant votre prise en charge :
Pas un traitement de l’hémorragie digestive réfractaire.
Oui. Le TIPS permet de diminuer la pression dans le système porte en créant un shunt entre la branche portale droite et une veine sus-hépatique droite. C’est le traitement des hémorragies digestives réfractaires chez le cirrhotique.
Non indiquée, on sait que ce sont les VO qui saignent et on a déjà tenté un traitement endoscopique.
NON. Les bêtabloquants sont un traitement au long cours pour prévenir les hémorragies digestives mais absolument pas un traitement de l’urgence.
En cas d’hémorragie digestive réfractaire (c’est-à-dire nouvel épisode d’hémorragie dans les 5 jours après un traitement endoscopique), il y a 2 possibilités :
– la sonde de tamponnement œsophagienne de Blackemore : c’est une sorte de ballonnet qu’on gonfle dans l’œsophage et qui va permettent de comprimer les varices mais peut entraîner une nécrose de l’œsophage (de moins en moins utilisée), solution temporaire ;
– le TIPS (shunt intrahépatique par voie transjugulaire) de sauvetage : il consiste à mettre une prothèse entre la branche portale droite et une veine sus-hépatique droite pour diminuer la pression dans le système porte (donc dans les VO). Il est posé par les radiologues interventionnels ou les hépatologues (v. figure 2).
Figure 2 - TIPS (source : É. Capelle)
M. D. a donc bénéficié d’un shunt portosytémique intrahépatique par voie transjugulaire (ou TIPS) en urgence, permettant un amendement des saignements digestifs.
Il est cette fois sortant de votre service d’hospitalisation.
Question 12 - Concernant sa prise en charge au long cours :
Une fois le TIPS posé, il n’y a plus d’indication aux bêtabloquants, car le TIPS joue le même rôle qu’eux : diminuer la pression dans le système porte.
Dépistage systématique du carcinome hépatocellulaire (CHC) chez les cirrhotiques : échographie abdominale tous les 6 mois.
Le dosage de l’AFP n’est plus indiqué dans le dépistage du CHC, qui est réalisé tous les 6 mois et non tous les 3 mois.
C’est LE risque après un TIPS.
Après un épisode d’infection du liquide d’ascite, on met un traitement par noroxine au long cours en prévention secondaire.
M. D. est perdu de vue pendant 2 ans. Il ne s’est jamais présenté à ses consultations de suivi.
Il revient un soir aux urgences car il se trouve « jaune » depuis quelques semaines. Il n’a pris aucun des traitements que vous lui aviez prescrits et a récemment majoré sa consommation d’alcool car il a perdu sa place dans le foyer où il était. Cliniquement, il ne montre pas de signe d’encéphalopathie hépatique.
Vous réalisez un bilan biologique : Hg = 9,7 g/dL ; plaquettes = 85 G/L ; leucocytes = 8 G/L dont 6 G/L de PNN ; ASAT = 115 UI/L ; ALAT = 90 UI/L ; GGT = 670 UI/L ; LDH = 450 UI/L ; bilirubine totale = 70 µmol/L ; TP = 33 %.
Vous suspectez une hépatite alcoolique aiguë. Le score de Maddrey est à 62.
 Question 13 - Concernant l’hépatite alcoolique aiguë de M. D. et sa prise en charge :
L’hépatite fulminante, c’est-à-dire l’insuffisance hépatocellulaire majeure avec troubles neurologiques associées nécessite une surveillance en unité de réanimation, ce qui n’est pas le cas de M. D. qui peut pour l’instant être hospitalisé en secteur de médecine conventionnelle.
Pas de transplantation envisagée dans les cirrhoses alcooliques si les patients ne sont pas sevrés. En dehors du contexte de cirrhose alcoolique, la transplantation est envisagée dans l’urgence pour une hépatite fulminante, c’est-à-dire insuffisance hépatocellulaire majeure avec troubles neurologiques associés (ce n’est pas le cas ici).
Une hépatite alcoolique aiguë doit être suspectée lors de l’apparition d’un ictère avec éventuellement de la fièvre. Biologiquement, il y a une bilirubine > 35 et un TP abaissé.
Lorsqu’on évoque ce diagnostic, il faut calculer le score de Maddrey qui prend en compte le TP et la bilirubinémie.
Attention ! Le score de Maddrey n’est pas un score diagnostique de l’hépatite alcoolique aiguë mais un score de sévérité : score de Maddrey > 32 = hépatite alcoolique aiguë sévère.
S’il est supérieur à 32, il y a une indication à réaliser une ponction hépatique transpariétale (en l’absence de trouble de la coagulation, ce qui n’est pas le cas ici) ou en transjugulaire afin de confirmer le diagnostic. L’échographie hépatique est inutile.
La biopsie hépatique transjugulaire met en évidence des corps de Mallory avec une ballonnisation des hépatocytes et un infiltrat de PNN.
Question 14 - Après réception de ces résultats anatomopathologiques :
L’histologie est typique de l’hépatite alcoolique aiguë.
C’est le traitement : prednisolone 40 mg/j pendant 4 semaines.
On réalise un bilan infectieux pré-corticothérapie pour traiter un éventuel foyer infectieux en amont de la corticothérapie, mais pas de traitement antibiotique prophylactique
C’est le critère d’efficacité de la corticothérapie : si le score de Lille à J7 est ≥ à 0,45, alors les patients sont dits « non répondeurs » et le traitement est arrêté. Le score de Lille prend en compte l’âge, le taux de bilirubine, la valeur de créatininémie et le TP.
Inutile, c’est le score de Lille à J7 qui nous indique l’efficacité du traitement.
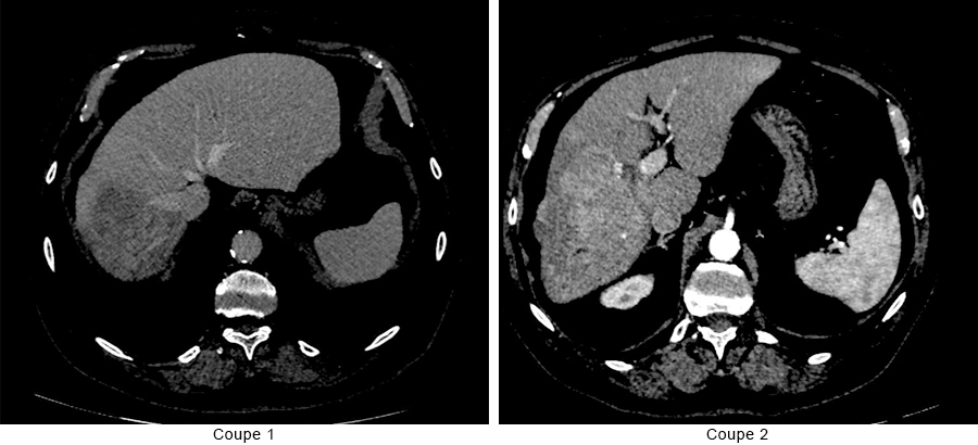
M. D. est donc mis sous corticothérapie pendant 4 semaines pour son hépatite alcoolique aiguë. Vous profitez de l’avoir sous la main pour réaliser une échographie abdominale, que vous complétez par un scanner abdomino-pelvien devant la présence d’un nodule difficilement caractérisable en échographie.
Voici les images du scanner (figure 3) :
Figure 3  (source : CHSD – PACS)
Question 15 - Après visualisation des images scannographiques, vous pouvez dire que :
C’est une coupe portale. La coupe 2 est une coupe artérielle.
La lésion est réhaussée au temps artériel avec un wash out au temps portal, image typique de CHC. M. D. a une cirrhose connue et une image avec des caractéristiques typiques de CHC à l’imagerie donc le diagnostic est fait, pas de biopsie nécessaire.
La chimio-embolisation est un traitement palliatif uniquement.

Exercez-vous aux ECN avec les dossiers progressifs et les LCA de La Revue du Praticien