Mlle Vanessa S., âgée de 31 ans, consulte pour des « plaques rouges » chaudes, douloureuses, non prurigineuses et d’apparition récente sur les membres inférieurs. Elle est en bon état général par ailleurs. La palpation identifie des lésions en relief avec une infiltration en profondeur. Elle ne rapporte pas de traumatisme récent.

Figure n° 1 (Antoine Bertolotti, La Revue du Praticien)

Question 1 - Votre principale hypothèse diagnostique est la suivante :
Généralement le diagnostic est évident par l’identification d’un traumatisme au préalable.
La jambe a généralement un érythème plus diffus et continu. Ici on identifie 2 lésions principales bien distinctes l’une de l’autre.
Nouures (nodules hypodermiques), fermes, non fluctuantes, en relief, avec une surface érythémateuse ou de couleur normale, habituellement douloureuses ou sensibles à la palpation, chaudes, adhérentes aux plans superficiel et profond, d’apparition aiguë, siégeant le plus souvent de façon bilatérale, symétrique ou non, dans les régions prétibiales et aux genoux, parfois aux mollets, aux cuisses, aux fesses et plus rarement aux membres supérieurs. Régression spontanée en 2 à 3 semaines en passant par les stades de la biligénie (couleurs successives d’une ecchymose : bleu-violet, vert-jaune puis brun).
La jambe a généralement un érythème plus diffus et continu. Un facteur de risque est généralement rapporté (hospitalisation, immobilisation…).
C’est une dermatose prurigineuse et diffuse sur l’ensemble du tégument.
Question 2 - Il s’agit d’un érythème noueux, vous prescrivez les examens complémentaires suivants :
Il existe plusieurs étiologies à éliminer avant de conclure à une forme idiopathique.
Intérêt limité car non spécifique d’une étiologie. Le diagnostic d’érythème noueux est clinique.
Pour la recherche d’une tuberculose.
La grossesse peut entraîner des érythèmes noueux.
La yersiniose est une infection à l’origine d’érythème noueux.
Question 3 - Dans l’attente de ces résultats, votre prise en charge thérapeutique consiste en : 
Ce traitement n’est pas indiqué en première intention. Il faut se rappeler que l’évolution est spontanément favorable dans 90 % des cas.
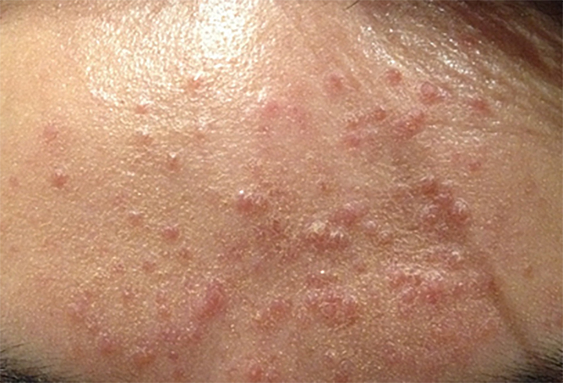
Finalement, elle ne reviendra pas à son rendez-vous de suivi. Trois ans plus tard, elle vient vous revoir pour l’apparition depuis deux mois de lésions papuleuses, infra-centimétriques, érythémateuses, non prurigineuses, non pustuleuses et non kystiques, exclusivement sur le front. L’érythème noueux avait disparu spontanément après quelques semaines.

Figure n° 2 (Antoine Bertolotti, La Revue du Praticien)

Question 4 - Votre principale hypothèse diagnostique est la suivante :
L’eczéma est une dermatose prurigineuse, vésiculo-suintante et croûteuse.
L’urticaire est une dermatose prurigineuse, papuleuse et migratrice.
Le psoriasis est une dermatose érythémato-squameuse, non prurigineuse. L’atteinte du visage est rare.
Effectivement, l’aspect est compatible avec des sarcoïdes à petits nodules. Les lésions sont maculo-papuleuses, légèrement orangées, infra-centimétriques, non prurigineuses et souvent multiples.
L’acné est une dermatose pustuleuse et microkystique. L’âge n’est pas totalement compatible, même si ce n’est pas rare de rencontrer des acnés/rosacées à cet âge. 
Question 5 - Votre principale hypothèse est une sarcoïdose. Vous prescrivez les examens complémentaires suivants :
Il est nécessaire de confirmer en anatomopathologie la sarcoïdose et de s’assurer que la maladie ne soit que cutanée.
Recherche d’adénopathies médiastinales ou de syndrome interstitiel.
Mise en évidence du granulome tuberculoïde sans nécrose caséeuse avec colorations spéciales et éliminer une tuberculose.
Troubles du rythme et de la conduction.
Examen à la lampe à fente, tonométrie, fond d’œil, test de Schirmer.
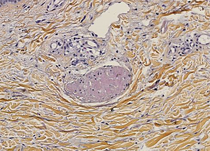
Vous décidez de réaliser une biopsie cutanée.

Figure n° 3 (Antoine Bertolotti, La Revue du Praticien)

Question 6 - Vous observez en microscopie les éléments suivants : 
Correspond au granulome de la tuberculose.
Granulome bien délimité, sans nécrose caséeuse.
La photo concerne le derme. L’épiderme n’est pas visible. La spongiose est caractéristique de l’eczéma.
Il s’agit d’une lésion identifiée entre les papilles de l’épiderme lors d’un psoriasis.
L’épiderme n’est pas visible.
Vous réalisez un bilan biologique : globules blancs = 7,5 G/L ; lymphocytes = 0,8 G/L ; hémoglobine = 13,2 g/dL ; plaquettes = 156 G/L ; natrémie = 136 mmol/L ; kaliémie = 4,5 mmol/L ; urée : 4 mmol/L ; créatininémie = 54 μmol/L ; calcémie = 2,59 mmol/L ; protidémie = 50 g/L ; glycémie = 11 mmol/L.
Question 7 - À la lecture de ce bilan vous identifiez :    
L’anémie est généralement diagnostiquée à moins de 12 g/dL chez la femme.
L’hyponatrémie est généralement diagnostiquée à moins de 135 mmol/L.
L’hyperkaliémie est généralement diagnostiquée à plus de 5 mmol/L.
L’hypercalcémie est généralement diagnostiquée lors d’une calcémie corrigée supérieure à 2,60 mmol/L. Ici la protidémie est faible, donnant ainsi une calcémie corrigée de 3 mmol/L.
La lymphopénie est généralement diagnostiquée à un taux inférieur à 1,5 G/L.

 

Exercez-vous aux ECN avec les dossiers progressifs et les LCA de La Revue du Praticien