Un homme âgé de 89 ans, avec des antécédents de démence vasculaire et de maladie de Horton traitée dix ans auparavant, est hospitalisé pour une altération de l’état général et une suspicion de pneumopathie d’inhalation. Un scanner thoracique est réalisé.
Quel est votre diagnostic ?
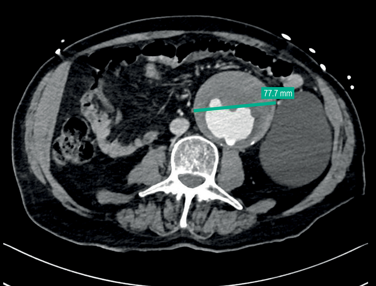
Le scanner objective :
• un hématome intramural de l’aorte thoracique et abdominale étendu aux troncs supra-aortiques avec fuite de produit de contraste dans la paroi de l’aorte thoracique au temps artériel avec hémopéricarde ;
• une importante dilatation anévrismale de l’aorte thoracique (54 mm de diamètre maximal) et abdominale (78 mm de diamètre maximal) ;
• une densification de la graisse péri-aortique au niveau de son hiatus et juste en aval, faisant suspecter une fissuration.
L’évolution est rapidement défavorable.
L’ atteinte aortique au cours de l’artérite à cellules géantes (maladie de Horton) est un facteur de risque important de dissection aortique, à distance de l’épisode initial.
Par Olivier Fain, service de médecine interne, hôpital Saint-Antoine, Paris, France
• un hématome intramural de l’aorte thoracique et abdominale étendu aux troncs supra-aortiques avec fuite de produit de contraste dans la paroi de l’aorte thoracique au temps artériel avec hémopéricarde ;
• une importante dilatation anévrismale de l’aorte thoracique (54 mm de diamètre maximal) et abdominale (78 mm de diamètre maximal) ;
• une densification de la graisse péri-aortique au niveau de son hiatus et juste en aval, faisant suspecter une fissuration.
L’évolution est rapidement défavorable.
L’ atteinte aortique au cours de l’artérite à cellules géantes (maladie de Horton) est un facteur de risque important de dissection aortique, à distance de l’épisode initial.
Par Olivier Fain, service de médecine interne, hôpital Saint-Antoine, Paris, France