Une femme âgée de 78 ans est hospitalisée pour une altération de l’état général avec amaigrissement de 15 kg en trois mois. Un cancer du sein a été traité chirurgicalement trente ans auparavant. L’examen clinique montre des tuméfactions cutanées de la face, de l’abdomen et des membres inférieurs, une tuméfaction parotidienne et une paralysie faciale périphérique gauche. Un scanner est réalisé.
Quel est votre diagnostic ?
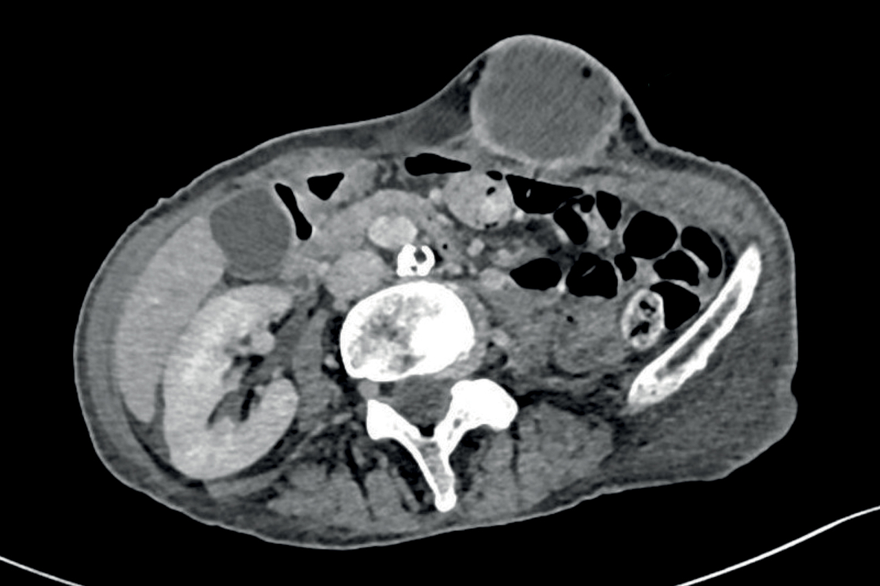
Le scanner montre de multiples formations pariétales et profondes sus- et sous-diaphragmatiques, d’allure tissulaire avec zone centrale liquidienne ainsi qu’une masse parotidienne. La biopsie d’une lésion pariétale met en évidence une métastase d’un adénocarcinome parotidien.
L’importante altération de l’état général a amené à proposer une prise en charge par des soins de confort.
Par Olivier Fain, service de médecine interne, hôpital Saint-Antoine, Paris, France.
L’importante altération de l’état général a amené à proposer une prise en charge par des soins de confort.
Par Olivier Fain, service de médecine interne, hôpital Saint-Antoine, Paris, France.