Lithiasiques, le plus souvent

Aux frontières de plusieurs spécialités médicales et chirurgicales, les pathologies des glandes salivaires principales se répartissent en sialites (infections ou inflammations), sialoses ou tumeurs. La clinique oriente facilement vers l’une de ces trois entités, et le diagnostic est affiné par l’imagerie, la cytologie et l’histologie.

Pour les pathologies inflammatoires, le diagnostic est histologique (réalisation d’une biopsie des glandes salivaires accessoires) lorsqu'est évoqué le diagnostic de syndrome de Sjögren, de sarcoïdose ou de maladie à immunoglobulines G4. Le bilan diagnostique des pathologies tumorales est de plus en plus précis grâce à certaines séquences d’IRM et à la cytoponction à l’aiguille fine. La prise en charge, essentiellement chirurgicale, permet un diagnostic histologique définitif et un traitement curatif.

Enfin, la pathologie lithiasique, motif fréquent de consultation, bénéficie de l’apport récent des techniques mini-invasives de sialendoscopie.

Au sommaire

Pathologies infectieuses des glandes salivaires ou sialadénites

Les infections salivaires, également appelées sialadénites, touchent le plus souvent les glandes parotides puis les glandes submandibulaires. On parle alors de parotidite ou de submandibulite.

Pathologies inflammatoires des glandes salivaires

Les glandes salivaires peuvent être le siège d’une atteinte inflammatoire qui se manifeste le plus souvent par une hypertrophie d’une ou plusieurs glandes salivaires et par un défaut quantitatif et/ou qualitatif de production salivaire. Le terme de « sialadénose » ou « sialose » est parfois employé pour caractériser les pathologies…

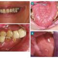
Tumeurs des glandes salivaires

Les tumeurs des glandes salivaires représentent un groupe hétérogène de lésions, bénignes ou malignes, pouvant atteindre toutes les glandes. Elles regroupent un grand nombre d’histologies différentes : plus de 20 types de tumeurs malignes et plus de 10 types de tumeurs épithéliales bénignes sont recensées dans la dernière…

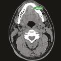
Pathologies lithiasiques des glandes salivaires

Parmi les pathologies des glandes salivaires, les lithiases des canaux salivaires sont les plus fréquentes, avec une incidence entre 1 pour 10 000 et 1 pour 20 000.1 Elles représentent environ 60 % des cas d’obstruction des canaux salivaires et s’observent à tout âge. Les lithiases sont plus fréquemment retrouvées dans les…

Pathologies des glandes salivaires : les dix messages clés

1 - Les sialadénites peuvent être bactériennes et, dans ce cas, elles sont le plus souvent dues à Staphylococcus aureus et doivent être traitées par une antibiothérapie probabiliste. Si elles sont virales, elles sont alors spontanément résolutives. Dans les deux cas, la réhydratation tient une place majeure. 2 -  Les…

Les messages clés

1 - Les sialadénites peuvent être bactériennes et, dans ce cas, elles sont le plus souvent dues à Staphylococcus aureus et doivent être traitées par une antibiothérapie probabiliste

promo

Tableaux et figures

promo