Parmi les pathologies des glandes salivaires, les lithiases des canaux salivaires sont les plus fréquentes, avec une incidence entre 1 pour 10 000 et 1 pour 20 000.1 Elles représentent environ 60 % des cas d’obstruction des canaux salivaires et s’observent à tout âge. Les lithiases sont plus fréquemment retrouvées dans les glandes sous-maxillaires au niveau des canaux de Wharton (80 %), plus rarement dans les glandes parotides au niveau des canaux de Sténon (20 %).2 Les lithiases au niveau des autres glandes salivaires sont très rares.
Mode de découverte : du fortuit à la surinfection sévère
La découverte d’une lithiase peut être fortuite (radio panoramique dentaire ou autre examen d’imagerie) ou liée à l’apparition de signes mécaniques, inflammatoires, ou encore de complications infectieuses.
Signes mécaniques
Ils apparaissent généralement au moment des repas en raison de l’augmentation de la sécrétion salivaire. L’obstruction des canaux salivaires par la lithiase entraîne une douleur et une tuméfaction douloureuse de la glande, qui cède spontanément dans les obstructions partielles (hernie salivaire) ou à la palpation bidigitale de la glande dans les obstructions complètes du flux salivaire (colique salivaire).
Signes inflammatoires et infectieux
La sialite aiguë suppurée, surinfection liée à la stagnation salivaire, se manifeste par une tuméfaction inflammatoire de la glande, l’apparition de pus à l’orifice des canaux excréteurs et, parfois, de signes généraux comme de la fièvre. Elle peut suivre les épisodes mécaniques mais peut également être inaugurale. Ces épisodes peuvent se compliquer d’abcès intraglandulaires et de cellulites.
Étiologie hypothétique
Le mécanisme de formation des lithiases reste mal connu et plusieurs hypothèses sont avancées. Il n’existe pas de lien entre le mécanisme de formation des lithiases salivaires et celui des lithiases rénales, sauf dans des cas exceptionnels comme la cystinurie, maladie génétique rare responsable de la formation de lithiases surtout rénales.
L’hypothèse la plus classique est celle proposée par Harrison selon laquelle il existerait des microdépôts de calcium produits par les cellules acineuses séreuses et canalaires. Ces dépôts seraient libérés dans les canaux salivaires et s’y accumuleraient particulièrement en cas de ralentissement du flux salivaire.3
La deuxième théorie est celle avancée, entre autres, par Marchal et al. selon laquelle les aliments et bactéries de la cavité orale migreraient de façon rétrograde dans les canaux salivaires. Une insuffisance sphinctérienne au niveau des orifices canalaires favoriserait cette migration.4
Plusieurs facteurs associés à la formation de lithiases salivaires ont été identifiés ; ce sont notamment le manque d’hydratation, la réduction du flux salivaire et les variations du pH salivaire qu’il est possible de constater lors des infections pharyngées.
Une fois la lithiase traitée, les récidives sont rares et généralement observées du même côté que l’épisode initial, ce qui renforce l’idée qu’il s’agit bien d’une pathologie canalaire.
L’hypothèse la plus classique est celle proposée par Harrison selon laquelle il existerait des microdépôts de calcium produits par les cellules acineuses séreuses et canalaires. Ces dépôts seraient libérés dans les canaux salivaires et s’y accumuleraient particulièrement en cas de ralentissement du flux salivaire.3
La deuxième théorie est celle avancée, entre autres, par Marchal et al. selon laquelle les aliments et bactéries de la cavité orale migreraient de façon rétrograde dans les canaux salivaires. Une insuffisance sphinctérienne au niveau des orifices canalaires favoriserait cette migration.4
Plusieurs facteurs associés à la formation de lithiases salivaires ont été identifiés ; ce sont notamment le manque d’hydratation, la réduction du flux salivaire et les variations du pH salivaire qu’il est possible de constater lors des infections pharyngées.
Une fois la lithiase traitée, les récidives sont rares et généralement observées du même côté que l’épisode initial, ce qui renforce l’idée qu’il s’agit bien d’une pathologie canalaire.
Diagnostic de certitude grâce à l’imagerie
Le diagnostic de certitude d’une origine lithiasique est possible grâce à l’imagerie.
Les radiographies standard ne permettent pas une bonne évaluation, notamment en raison des superpositions d’images qu’elles engendrent.
La sialographie est de moins en moins réalisée à cause de la difficulté technique de la cathétérisation des canaux salivaires et de l’essor d’examens moins invasifs tels que le scanner ou l’imagerie par résonance magnétique (IRM).
La sialendoscopie peut être un outil diagnostique, lorsque l’imagerie ne permet pas de faire le diagnostic.
Les radiographies standard ne permettent pas une bonne évaluation, notamment en raison des superpositions d’images qu’elles engendrent.
La sialographie est de moins en moins réalisée à cause de la difficulté technique de la cathétérisation des canaux salivaires et de l’essor d’examens moins invasifs tels que le scanner ou l’imagerie par résonance magnétique (IRM).
La sialendoscopie peut être un outil diagnostique, lorsque l’imagerie ne permet pas de faire le diagnostic.
Échographie, performances réduites pour les lithiases de petite taille
L’échographie est très souvent réalisée du fait de sa disponibilité et de sa rapidité de réalisation ; elle permet de mettre en évidence la plupart des lithiases des canaux salivaires. Néanmoins, cet examen ne permet pas de localiser précisément les lithiases, notamment dans le cadre d’un bilan préopératoire, et sa valeur prédictive négative est limitée (78 %), avec une sensibilité de 77 %. L’échographie est moins performante pour les lithiases de taille plus petite (inférieure à 3 mm) ou de position très antérieure. En effet, plus le diamètre de la lithiase diminue plus la sensibilité de cet examen s’amenuise.5
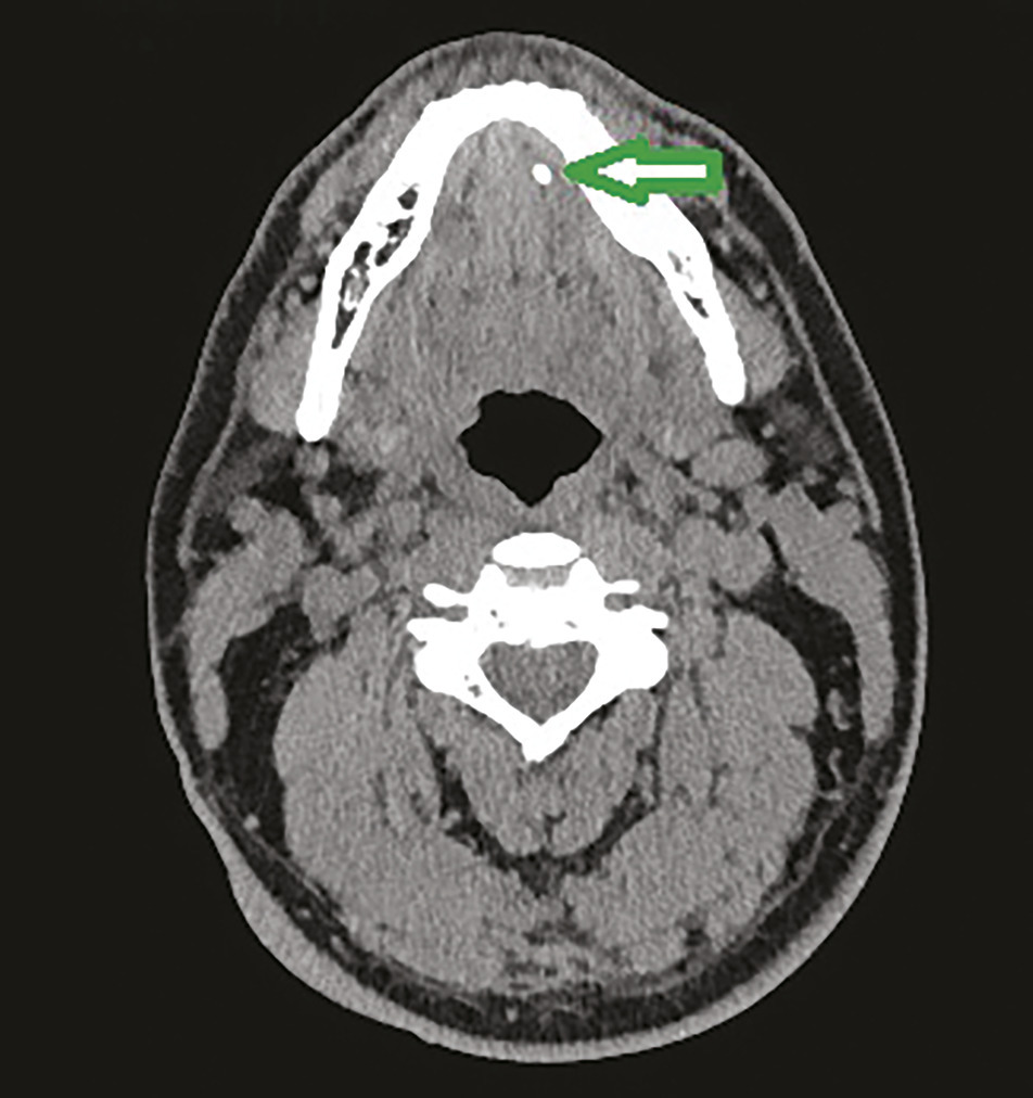
Scanner, une excellente sensibilité
Le scanner peut être réalisé sans injection de produit de contraste dans la majorité des cas (l’injection de produit de contraste peut s’avérer utile en cas d’atteinte inflammatoire de la glande ou de recherche d’abcès). Il a une sensibilité de 100 % et une spécificité de 75 %. Il permet au chirurgien une bonne localisation de la lithiase et est un examen relativement facile à obtenir (fig. 1 ).6 Il comporte cependant quelques inconvénients : il s’agit d’un examen irradiant, et il peut être difficilement interprétable en cas d’artéfacts dentaires.
Sialo-IRM, examen optimal
La sialo-IRM permet le diagnostic des pathologies lithiasiques des glandes salivaires. Cet examen non irradiant ne nécessite pas de cathétérisation des canaux salivaires. Elle permet la localisation précise des lithiases et l’examen des glandes salivaires. Les sensibilité et spécificité rapportées dans la littérature sont respectivement de 80 à 100 % et de 90 à 100 %. Elle est par ailleurs très utile dans l’analyse des sténoses canalaires.
Elle est néanmoins plus difficile d’accès que le scanner ou l’échographie et représente un coût plus élevé.
Elle est néanmoins plus difficile d’accès que le scanner ou l’échographie et représente un coût plus élevé.
Techniques mini-invasives en priorité
Traitement symptomatique associé à une antibiothérapie
En cas de sialite aiguë, un traitement symptomatique par antalgiques et antispasmodiques est instauré, associé à une antibiothérapie adaptée (amoxicilline ou macrolides). Les formes collectées peuvent nécessiter un drainage chirurgical en urgence.
Traitement étiologique conservateur si possible
La prise en charge des lithiases des glandes salivaires a beaucoup évolué au cours des vingt dernières années. Les traitements de référence donnent la priorité à la préservation des glandes salivaires, à l’aide de techniques mini-invasives.
La sialendoscopie, traitement conservateur et mini-invasif, permet de réduire la durée d’hospitalisation et de l’intervention chirurgicale ainsi que l’intensité des douleurs postopératoires. Son taux de succès est de 80 % dans les lithiases salivaires.7
Concernant la glande sous-maxillaire, près de 40 % des lithiases se situent à la partie distale du canal de Wharton. Dans ces situations, une approche endoscopique avec, si nécessaire, une taille endobuccale est possible. Ces calculs sont généralement palpables au niveau du plancher buccal. Dans la plupart des cas (près de 60 %), la lithiase se situe au niveau de la partie proximale du canal, ou au niveau du hile de la glande, ou encore – dans moins de 10 % des cas – au sein même de la glande. Dans ces situations, l’approche par taille endobuccale est beaucoup plus compliquée.
Trois options de traitement sont possibles.
Traitement par sialendoscopie seule (fig. 2 ) : il nécessite dans certains cas l’utilisation de techniques de fragmentation du calcul. Plusieurs facteurs orientent la prise en charge : la taille de la lithiase, sa mobilité, la présence ou non de sténose proximale par rapport au calcul, sa localisation et sa composition. La classification LSD (lithiasis, stenosis and dilatations), développée par l’European Sialendoscopy Training Center, permet d’orienter la prise en charge (tableau ).8 Pour les calculs de 4 mm ou moins, la sialendoscopie avec utilisation d’instruments tels que des sondes panier ou des forceps est généralement possible, surtout si le calcul est bien visible et flottant. Pour les calculs de plus de 4 mm, et/ou partiellement visibles, et/ou fixés ou impactés, des techniques de lithotritie sont souvent nécessaires lors de la sialendoscopie.
Parmi ces techniques, il existe :
– la lithotritie endocanalaire par laser ; les inconvénients sont le risque de fragments résiduels et les traumatismes du canal ;
– la lithotritie endocanalaire à air pulsé ; cette méthode est peu utilisée ;
– la lithotritie extracorporelle ; une des premières techniques de fragmentation utilisée, inspirée de l’urologie. Elle permet la fragmentation des calculs en plus petits morceaux, facilitant soit leur évacuation spontanée par l’orifice du canal, soit leur extraction lors de la sialendoscopie. Les résultats sont décevants, avec seulement 30 % de succès.
Traitement combiné (sialendoscopie associée à une approche transorale) : un geste d’incision endobuccale au niveau soit des canaux de Wharton, soit des canaux de Sténon, est réalisé après repérage du calcul par sialendoscopie afin de permettre son évacuation du canal. L’utilisation de techniques de fragmentation du calcul est également possible dans cette approche.
Traitements non conservateurs : l’exérèse de la totalité d’une glande salivaire principale n’est proposée qu’en cas d’échec des précédentes méthodes ou dans certains cas de récidive ou de lithiases multiples.
La sialendoscopie, traitement conservateur et mini-invasif, permet de réduire la durée d’hospitalisation et de l’intervention chirurgicale ainsi que l’intensité des douleurs postopératoires. Son taux de succès est de 80 % dans les lithiases salivaires.7
Concernant la glande sous-maxillaire, près de 40 % des lithiases se situent à la partie distale du canal de Wharton. Dans ces situations, une approche endoscopique avec, si nécessaire, une taille endobuccale est possible. Ces calculs sont généralement palpables au niveau du plancher buccal. Dans la plupart des cas (près de 60 %), la lithiase se situe au niveau de la partie proximale du canal, ou au niveau du hile de la glande, ou encore – dans moins de 10 % des cas – au sein même de la glande. Dans ces situations, l’approche par taille endobuccale est beaucoup plus compliquée.
Trois options de traitement sont possibles.
Traitement par sialendoscopie seule (
Parmi ces techniques, il existe :
– la lithotritie endocanalaire par laser ; les inconvénients sont le risque de fragments résiduels et les traumatismes du canal ;
– la lithotritie endocanalaire à air pulsé ; cette méthode est peu utilisée ;
– la lithotritie extracorporelle ; une des premières techniques de fragmentation utilisée, inspirée de l’urologie. Elle permet la fragmentation des calculs en plus petits morceaux, facilitant soit leur évacuation spontanée par l’orifice du canal, soit leur extraction lors de la sialendoscopie. Les résultats sont décevants, avec seulement 30 % de succès.
Traitement combiné (sialendoscopie associée à une approche transorale) : un geste d’incision endobuccale au niveau soit des canaux de Wharton, soit des canaux de Sténon, est réalisé après repérage du calcul par sialendoscopie afin de permettre son évacuation du canal. L’utilisation de techniques de fragmentation du calcul est également possible dans cette approche.
Traitements non conservateurs : l’exérèse de la totalité d’une glande salivaire principale n’est proposée qu’en cas d’échec des précédentes méthodes ou dans certains cas de récidive ou de lithiases multiples.
Sialendoscopie en première intention
Les lithiases sont les causes les plus fréquentes d’obstruction des canaux salivaires. L’échographie est largement prescrite dans le bilan diagnostique, mais le scanner et la sialo-IRM apportent une meilleure précision dans le cadre du bilan préopératoire, notamment pour la localisation des calculs. Les traitements conservateurs et mini-invasifs tels que la sialendoscopie, associée ou non à une approche transorale, sont privilégiés en première intention car ils réduisent les complications.
Références
1. Marchal F, Chossegros C, Faure F, Delas B, Bizeau A, Mortensen B, et al. Salivary stones and stenosis. A comprehensive classification. Rev Stomatol Chir Maxillofac 2008;109(4):233-6.
2. Marchal F, Dulguerov P. Sialolithiasis management: the state of the art. Arch Otolaryngol Head Neck Surg 2003;129:951-6.
3. Epivatianos A, Harrison JD, Dimitriou T. Ultrastructural and histochemical observations on microcalculi in chronic subman- dibular sialadenitis. J Oral Pathol 1987;16:514-7.
4. Marchal F, Kurt AM, Dulguerov P, Lehmann W. Retrograde theory in sialolithiasis formation. Arch Otolaryngol Head Neck Surg 2001;127:66-8.
5. Terraz S, Poletti PA, Dulguerov P, Dfouni N, Becker CD, Marchal F, et al. How reliable is sonography in the assessment of sialolithiasis? AJR Am J Roentgenol 2013;201(1):W104-9.
6. Gardon MA, Foletti JM, Avignon S, Graillon N, Chossegros C. CT scan assessment in salivary gland lithiasis diagnosis. J Stomatol Oral Maxillofac Surg 2018;119(2):110-2.
7. Luers JC, Grosheva M, Stenner M, Beutner D. Sialoendoscopy: Prognostic factors for endoscopic removal of salivary stones. Arch Otolaryngol Head Neck Surg 2011;137(1):325-9.
8. Marchal F, Chossegros C, Faure F, Delas B, Bizeau A, Mortensen B, et al. Salivary stones and stenosis. A comprehensive classification. Rev Stomatol Chir Maxillofac 2008;109(4):233-6.
2. Marchal F, Dulguerov P. Sialolithiasis management: the state of the art. Arch Otolaryngol Head Neck Surg 2003;129:951-6.
3. Epivatianos A, Harrison JD, Dimitriou T. Ultrastructural and histochemical observations on microcalculi in chronic subman- dibular sialadenitis. J Oral Pathol 1987;16:514-7.
4. Marchal F, Kurt AM, Dulguerov P, Lehmann W. Retrograde theory in sialolithiasis formation. Arch Otolaryngol Head Neck Surg 2001;127:66-8.
5. Terraz S, Poletti PA, Dulguerov P, Dfouni N, Becker CD, Marchal F, et al. How reliable is sonography in the assessment of sialolithiasis? AJR Am J Roentgenol 2013;201(1):W104-9.
6. Gardon MA, Foletti JM, Avignon S, Graillon N, Chossegros C. CT scan assessment in salivary gland lithiasis diagnosis. J Stomatol Oral Maxillofac Surg 2018;119(2):110-2.
7. Luers JC, Grosheva M, Stenner M, Beutner D. Sialoendoscopy: Prognostic factors for endoscopic removal of salivary stones. Arch Otolaryngol Head Neck Surg 2011;137(1):325-9.
8. Marchal F, Chossegros C, Faure F, Delas B, Bizeau A, Mortensen B, et al. Salivary stones and stenosis. A comprehensive classification. Rev Stomatol Chir Maxillofac 2008;109(4):233-6.