[Mis à jour le 28/04/25]

M. M., 42 ans, consulte aux urgences pour dyspnée aiguë et œdèmes des membres inférieurs depuis 24 heures. Il a comme principaux antécédents : un tabagisme à 45 paquets-années et un syndrome dépressif récent avec anorexie et amaigrissement de plusieurs kilos, pas de consommation éthylique avérée. À l’examen clinique, l’interne retrouve une pression artérielle à 140/90 mmHg, une température à 37 °C, une conscience normale, des œdèmes des membres inférieurs importants, une turgescence jugulaire, un thorax en tonneau, une auscultation cardiaque sans particularité en dehors d’un éclat de B2, à l’auscultation pulmonaire une diminution diffuse du murmure vésiculaire sans foyer de crépitant avec sibilants diffus, et une polypnée (fréquence respiratoire à 32 cycles/min) avec signes de lutte respiratoire (mise en jeu des muscles respiratoires accessoires intercostaux et sus-claviculaires). L’examen neurologique est normal et il n’y a pas d’ascite diagnostiquée à l’examen abdominal. À la biologie : cytolyse hépatique à 100 fois la normale, taux de prothrombine et facteur V à 15 %, D-dimères négatifs et à la gazométrie sous 2 L d’O2 aux lunettes : PaO2 : 68 mmHg ; PaCO2 : 67 mmHg ; pH : 7,26 ; HCO3- : 28 mmol/L.

La radiographie de thorax est la suivante.

Figure 1.
Question 1 - Qu’est-il possible d’affirmer d’après la radiographie de thorax (une ou plusieurs réponses exactes) ?
Élargissement antéro-postérieur et aplatissement des coupoles.
Dépistage à l’échographie cardiaque seulement.
Index cardiothoracique (largeur cœur/largeur thorax) 0,5.
Tableau radiologique pulmonaire typique d’une bronchopneumopathie chronique obstructive (BPCO) avec distension thoracique et emphysème. Le piège dans lequel il ne faut pas tomber est de penser à un syndrome interstitiel devant la présence de « traits » diffus faisant croire à des réticulations. Ces traits correspondent en fait aux structures bronchiques et vasculaires, toutes en direction du hile à la différence des réticulations du syndrome interstitiel qui seraient alors orientées dans toutes les directions, dessinant ainsi des polygones correspondant aux lobules pulmonaires. Ces structures bronchovasculaires paraissent très visibles par contraste (raréfaction de la trame microvasculaire environnante liée l’emphysème) et par la présence très probable d’une hypertension pulmonaire (dilatation des artères pulmonaires et de leurs branches).
Question 2 - Quel(s) diagnostic(s) pouvez-vous retenir ici ?
D-dimères négatifs (excellente valeur prédictive négative, proche de 100 %).
Pas de syndrome infectieux, pas de syndrome de condensation alvéolaire à la radio.
Examen abdominal sans particularité (pas d’ascite).
Polypnée (FR > 30) et lutte respiratoire.
Acidose respiratoire aiguë non compensée : pH 7,38 (HCO3- peu augmentés).
Tableaux clinique et biologique d’insuffisance respiratoire aiguë associée à une insuffisance cardiaque droite aiguë compliquée d’insuffisance hépatocellulaire aiguë par stase veineuse. À ce stade-là, sur les éléments donnés par l’énoncé, il faut supposer que le patient, du fait d’un tabagisme élevé et ancien, est probablement atteint d’une BPCO possiblement compliquée d’insuffisance respiratoire chronique et d’hypertension pulmonaire. Ce ne sont que des suppositions, car le diagnostic de certitude de BPCO est à faire sur des explorations fonctionnelles respiratoires (EFR). Ici, le facteur déclenchant pourrait être l’amaigrissement secondaire à une dépression qui ainsi rompt l’équilibre musculo-ventilatoire fragile chez un patient ayant une BPCO grave.
Le patient est en fait atteint d’une BPCO post-tabagique à un stade avancé. Il rapporte une dyspnée habituelle au moindre effort qui s’est majorée ces derniers jours, associée à une augmentation du volume et de la purulence des expectorations. Devant la gravité du tableau clinique, le patient est hospitalisé en réanimation.
Question 3 - Quelle(s) est/sont le(s) traitement(s) à mettre en place ?
Détresse respiratoire et pH 7,35.
Cible à 88-92 %.
Le traitement de l’exacerbation de BPCO repose principalement sur les recommandations GOLD (global initiative for chronic obstructive lung disease) dont la dernière actualisation date de 2024. https://goldcopd.org/2024-gold-report/
Il faut discuter six traitements différents.
– Seuls les bronchodilatateurs de courte durée d’action sont à utiliser systématiquement quelle que soit la situation.
– Oxygénothérapie si hypoxémie avec un objectif de saturation en O2 bas à 88-92 % (pour éviter d’inhiber la commande centrale et donc d’induire une hypoventilation alvéolaire centrale chez des patients habitués à l’hypoxémie, mais également pour éviter au maximum de modifier les rapports ventilation/perfusion ; en effet, l’oxygénation d’une zone habituellement mal ventilée peut avoir pour effet de lever la vasoconstriction capillaire pulmonaire réflexe et majorer l’effet shunt).
– Ventilation non invasive en cas d’acidose respiratoire aiguë non compensée avec acidémie, pH < 7,35. La recommandation GOLD élargit même aux détresses respiratoires avec signes d’épuisement musculaire quelle que soit la gazométrie et à l’hypoxémie réfractaire à l’oxygénation.
– Une corticothérapie systémique en cure courte de 5 jours maximum est recommandée notamment pour les patients hospitalisés à la dose de 40mg/j. 
– Antibiothérapie en présence de purulence des expectorations, majoration de la dyspnée et augmentation du volume des crachats selon GOLD ou en cas de recours à la ventilation mécanique. Le Collège des enseignants de pneumologie et le Collège des universitaires des maladies infectieuses et tropicales (Pilly) précisent qu’elle est réservée aux patients avec franche purulence des expectorations et volume expiratoire maximum seconde (VEMS) < 50 % (ou avec une dyspnée d’effort à l’état stable si le VEMS est inconnu) et elle doit être systématique si VEMS < 30 % ou dyspnée de repos à l’état stable ou si l’exacerbation est sévère. L’antibiothérapie proposée est de l’amoxicilline (ciblant le pneumocoque) pour les BPCO de stade III et amoxicilline + acide clavulanique (ciblant également Hæmophilus influenzæ et Moraxella catarrhalis) pour les BPCO de stade IV. Une durée de 5 jours est recommandée.
– Kinésithérapie de drainage bronchique en cas d’encombrement bronchique.
Le patient s’améliore, ce qui permet sa sortie de réanimation et son transfert en service conventionnel de pneumologie. Sur le plan clinique, les œdèmes ont disparu après déplétion hydrosodée par furosémide. Un bilan cardiopulmonaire est réalisé. L’électrocardiogramme (ECG) est le suivant.
Figure 2.
Question 4 - Qu’observez-vous (une ou plusieurs réponses possibles) ?
Onde P pulmonaire (amplitude > 0,25 mV soit 2,5 petits carreaux).
Onde P 120 ms (moins de 3 carreaux de large).
Déviation axiale droite (dès 90 °) avec S1Q3.
Indice de Sokolow-Lyon négatif ( 35 mm).
Ici, il y a une extrasystole ventriculaire (pas d’onde P et QRS large).
Il s’agit ici d’un ECG typique d’atteinte cardiaque droite. La première hypothèse est bien sûr une cardiopathie droite secondaire à une hypertension pulmonaire, elle-même secondaire à la BPCO. La physiopathologie est la suivante : insuffisance respiratoire chronique sévère avec hypoxémie responsable d’une vasoconstriction des capillaires pulmonaires pour améliorer les échanges gazeux (amélioration des rapports ventilation/perfusion). La vasoconstriction pulmonaire chronique s’associe à un remodelage vasculaire pulmonaire et explique l’apparition d’une hypertension pulmonaire chronique. L’hypertension pulmonaire augmente la postcharge du ventricule droit et de l’oreillette droite, qui s’hypertrophient. L’évolution peut aller vers la dilatation et l’insuffisance cardiaque droite.
Par ailleurs, ces signes ECG ne sont spécifiques d’aucune maladie. Ils témoignent seulement d’une atteinte cardiaque droite. Ces mêmes signes peuvent être retrouvés dans l’embolie pulmonaire, par exemple. On pourrait également retrouver une fibrillation auriculaire, un bloc de branche droit et des troubles francs de la repolarisation ventriculaire droite (ondes T négatives dans les déviations précordiales droites).
Le patient est adressé au cardiologue de l’hôpital pour une échographie transthoracique. Le compte-rendu précise qu’il n’y pas de problème au cœur gauche, mais en revanche retrouve des cavités cardiaques droites dilatées hypokinétiques, avec fonction systolique droite légèrement abaissée, et des pressions artérielles pulmonaires systoliques (PAPS) à 55 mmHg.
Question 5 - Quelle(s) affirmation(s) est/sont juste(s) parmi les suivantes ?
HTAP = groupe 1. Ici probable HTP du groupe 3.
Pré-capillaire.
Probable HTP du groupe 3 secondaire à la BPCO.
Les recommandations ERS/ESC (European Respiratory Society/European Society of Cardiology) de 2022 cadrent la prise en charge diagnostique et thérapeutique de l’hypertension pulmonaire.
L’échographie trans-thoracique est un examen de dépistage (vitesse de régurgitation tricuspide >2,8 m/s). La confirmation diagnostique est possible par un cathétérisme cardiaque droit pour mesure directe des pressions dans l’artère pulmonaire. En revanche, le cathétérisme cardiaque droit de confirmation n’est pas nécessaire dans les hypertensions du groupe 2 (d’origine cardiaque gauche) ou du groupe 3 (secondaire à une pathologie pulmonaire ou une hypoxie) car il n’y a pas de traitement spécifique à proposer en dehors du traitement de l’étiologie, et ni du groupe 4 (thromboembolique chronique) s’il y a des signes évidents thromboemboliques à l’angioscanner thoracique.
Si les groupes 2, 3 et 4 sont éliminés par le bilan, il faut alors réaliser un cathétérisme cardiaque droit de confirmation (PAP moyenne > 25 mmHg) pour parler d’hypertension artérielle pulmonaire probable du groupe 1, qui débouchera alors sur un bilan étiologique spécifique.
Pendant un cathétérisme cardiaque droit, il est possible de réaliser une mesure de la pression capillaire pulmonaire (ou pression artérielle pulmonaire d’occlusion) qui estimera les pressions post-capillaires. Une pression > 15 mmHg fait suspecter une étiologie post-capillaire (groupe 2).
Figure 3.

D’après : European Society of Cardiology. 2022 ESC/ERS Guidelines for the diagnosis and treatment of pulmonary hypertension. 26 août 2022.
Le patient réalise des EFR à la sortie du service. Les mesures ne sont pas modifiées après inhalation de bronchodilatateurs. Les résultats sont les suivants.
Figure 4.
Question 6 - Interprétez ces données (une ou plusieurs réponses exactes) :
Coefficient de Tiffeneau 70 % (ici 33,43 %).
Capacité vitale forcée (CVF) 80 % (ici 75,4 %).
Diffusion libre du monoxyde de carbone (DLCO) 70 % (ici 35,2 %).
Capacité pulmonaire totale (CPT) > 120 % (ici 168,2 %).
Non, très sévère (stade IV) car VEMS < 30 % (ici 29,4 % après bronchodilatateurs).
EFR typique de BPCO avec emphysème. BPCO car trouble ventilatoire obstructif non réversible aux bronchodilatateurs. Attention ! Le rapport de Tiffeneau et le VEMS pour définir la sévérité de la maladie doivent toujours être interprétés en post-bronchodilatateurs (en effet, la part réversible d’une BPCO est fonctionnelle ; la classification GOLD cherche à évaluer la sévérité de la maladie et donc ce qui n’est plus fonctionnel). Quatre stades : léger (stade I) pour un VEMS > 80 % ; modéré (stade II) pour un VEMS entre 50 et 80 % ; sévère (stade III) pour un VEMS entre 30 et 50 % ; très sévère (stade IV) pour un VEMS < 30 %.
Le trouble ventilatoire obstructif, qui correspond en fait à une perte de la fonction expiratoire liée à la bronchopathie, peut se compliquer d’un piégeage de l’air et d’une distension thoracique. Le diagnostic repose sur une CPT > 120 %, mais, s’il existe un trouble ventilatoire restrictif important, la CPT peut dans ce cas être difficilement interprétable et < 120 %. On utilise alors le rapport volume résiduel/capacité pulmonaire totale (VR/CPT) qui s’affranchit ainsi de la restriction. Dans la population générale, le seuil est aux alentours de 30 %. Chez le patient, la norme théorique du rapport VR/CPT est entre 27,42 % et 46,54 %, pour une moyenne à 36,98 %. Le patient a un rapport très augmenté à 72,88 %, ce qui traduit qu’il reste 72,88 % d’air dans ces poumons à la fin de l’expiration forcée par rapport à tout l’air qui peut rentrer dans ses poumons.
Emphysème car trouble ventilatoire restrictif et trouble de la diffusion. La restriction est liée à la destruction parenchymateuse caractéristique de l’emphysème. Le diagnostic de trouble ventilatoire restrictif est ici fait sur la CVF < 80 %. En effet, la CPT est difficilement interprétable du fait de la distension thoracique qui est > 120 % (ici 168,2 %). S’il n’y avait pas de restriction, la CPT, du fait de la distension, serait encore plus élevée. Le trouble de la diffusion est lié à la destruction alvéolaire. Le diagnostic repose sur une DLCO < 70 %. Attention ! De manière générale, s’il existe un trouble ventilatoire restrictif, il est préférable de regarder la DLCO après normalisation sur le volume alvéolaire (DLCO/VA). En effet, la restriction diminue la quantité d’échangeur et donc la DLCO, mais pas forcément en lien avec un trouble de la diffusion. La normalisation permet de s’affranchir de ce problème. Et en l’occurrence, si la DLCO est plus élevée après normalisation sur le VA, comme ici (de 35,2 % à 42 %), cela signe une amputation des volumes.
Question 7 - Quel est le traitement de fond de BPCO à mettre en place en première intention chez ce patient ?
Le traitement repose sur la présence de symptômes (dyspnée mMRC, COPD assessment test) et d’exacerbations. En première intention, un seul bronchodilatateur de longue durée d’action chez tout le monde. En cas de persistance d’une symptomatologie, association de deux bronchodilatateurs de longue durée d’action. Les corticostéroïdes en association (toujours) à un ou deux bronchodilatateur(s) de longue durée d’action (selon la persistance d’une symptomatologie) sont réservés aux exacerbations (deux par an ou un avec hospitalisation, malgré le(s) bronchodilatateur(s) de longue durée d’action).
Le reste du bilan est sans particularité, il n’est notamment pas retrouvé d’autre comorbidité particulière. L’oxymétrie nocturne ne montre pas de désaturation significative et l’hémoglobine est à 14 g/dL. Le patient a une dyspnée mMRC habituelle de stade 3 et le test de marche des 6 minutes retrouve une distance parcourue de 312 m pour une norme théorique à 485 mètres avec désaturation à 84 % pour une base à 88 % sans oxygénothérapie. La gazométrie de sortie est la suivante : PaO2 57 mmHg ; PaCO2 43 mmHg ; pH 7,42 ; HCO3- 28 mmol/L.
Question 8 - Quelle(s) est/sont le(s) affirmation(s) juste(s) concernant le traitement à mettre en première intention chez ce patient ?
PaO2 60 mmHg + hypertension pulmonaire.
D’une manière générale, pour les pathologies pulmonaires restrictives, l’OLD est indiquée pour une PaO2 < 60 mmHg. Dans la BPCO, le seuil est à 55 mmHg ou à 60 mmHg si l’organisme montre des signes de souffrance liées à l’hypoxie tissulaire (polyglobulie, hypertension pulmonaire, signes d’insuffisance cardiaque droite et désaturation nocturne non apnéique avec SpO2 < 90 % plus de 30 % du temps d’enregistrement). L’oxygénothérapie de déambulation exclusive n’est pas recommandée dans la BPCO. Si l’OLD est indiquée, elle doit être administrée à domicile, au moyen de lunettes nasales, un minimum de 15 h/j pour être efficace, avec un débit nécessaire pour obtenir une PaO2 > 60 mmHg et une SaO2 > 90 %.
La ventilation non invasive n’est discutée qu’en cas d’insuffisance respiratoire chronique hypercapnique ayant des exacerbations fréquentes ou des signes liés à l’hypercapnie (céphalées, signes d’insuffisance ventriculaire droite).
Question 9 - Quelle(s) est/sont le(s) affirmation(s) juste(s) concernant les autres traitements à proposer en première intention à ce patient ?
Le terme « réhabilitation respiratoire » désigne une approche globale et multidisciplinaire de la BPCO. Elle comprend :
– l’optimisation du traitement pharmacologique ;
– l’aide à l’arrêt du tabac ;
– le réentraînement à l’exercice ;
– la kinésithérapie respiratoire de drainage bronchique ;
– la prise en charge psychosociale ;
– l’éducation thérapeutique du patient ;
– et la prise en charge nutritionnelle.
Son efficacité a été démontrée sur la dyspnée, la capacité d’exercice, la qualité de vie et la consommation de soins.
La réhabilitation respiratoire est à proposer à tout patient atteint d’une BPCO et ayant une incapacité respiratoire ou un handicap respiratoire évaluables. Elle est particulièrement indiquée chez les patients qui ont, malgré une prise en charge optimale de leur maladie :
– une dyspnée ou une intolérance à l’exercice ;
– une réduction de leurs activités sociales en rapport avec l’altération de leur état de santé.
La transplantation cardiaque n’est jamais proposée seule si elle est secondaire à un problème respiratoire. La transplantation pulmonaire (ou d’organe, de manière générale) n’est jamais proposée en première intention mais seulement malgré une prise en charge optimale de la maladie. Classiquement, la transplantation pulmonaire peut être évoquée devant une BPCO avec insuffisance respiratoire chronique sévère, toujours très symptomatique malgré une prise en charge optimale de la maladie, chez les patients sans comorbidité, de moins de 65 ans.
Le patient retourne à domicile. Il est suivi par un pneumologue qui le revoit à 6 mois de son hospitalisation. Il reste très symptomatique malgré le traitement de fond par bronchodilatateur de longue durée d’action seul bien conduit et la réhabilitation respiratoire. Il se plaint beaucoup d’un encombrement bronchique avec bronchorrhée. Il n’a pas refait d’exacerbation ces 6 derniers mois. Entre-temps il a vu un cardiologue qui lui a prescrit un bêtabloquant cardio-sélectif. Le pneumologue lui prescrit un scanner qui est le suivant.
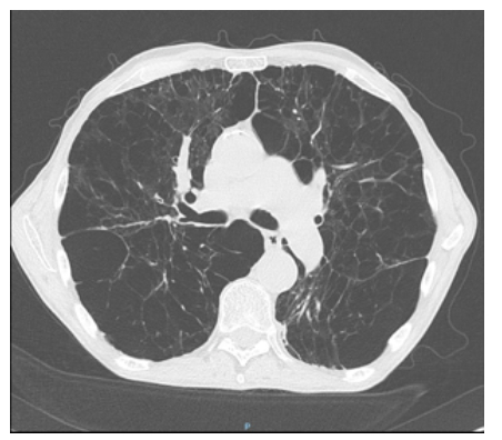
Figure 5.
Question 10 - Quelle(s) affirmation(s) est/sont juste(s) ?
BPCO précoce ( 45 ans) avec emphysème majeur.
Il s’agit ici d’un emphysème bulleux typique : zones d’hypodensité traduisant une raréfaction du parenchyme pulmonaire. On parle de bulle quand les zones d’hypodensité sont cerclées par une paroi fine et ont un diamètre de plus de 1 cm.
Un déficit en alpha-1 antitrypsine est à suspecter devant :
– un emphysème majeur prédominant ;
– une BPCO précoce (< 45 ans) ;
– une BPCO chez un patient non ou peu tabagique ;
– des antécédents familiaux.
Il s’agit de la seule prédisposition génétique de la BPCO connue jusqu’à présent. Il est important de faire le diagnostic pour la descendance et car il est possible d’envisager une supplémentation en alpha-1 antitrypsine.
Question 11 - Qu’est-il légitime de discuter chez ce patient pour optimiser son traitement (une ou plusieurs réponses exactes) ?
Association d’un bronchodilatateur de longue durée d’action et d’un corticostéroïde inhalé.
Pour le traitement de fond, voir le commentaire de la question 7. Ici, persistance des symptômes sans exacerbation sous un bronchodilatateur de longue durée d’action bien conduit, donc proposition d’une bithérapie par bronchodilatateurs de longue durée d’action sans corticoïdes inhalés.
La BPCO n’est plus une contre-indication à l’utilisation de bêtabloquants s’ils sont cardio-sélectifs, et ne doivent pas être arrêtés chez un patient hospitalisé pour exacerbation aiguë. Les médicaments susceptibles de provoquer une dépression respiratoire (benzodiazépines, neuroleptiques sédatifs, opiacés notamment) peuvent être aussi utilisés lorsqu’ils sont indiscutablement indiqués, mais avec prudence, particulièrement en cas d’insuffisance respiratoire chronique.
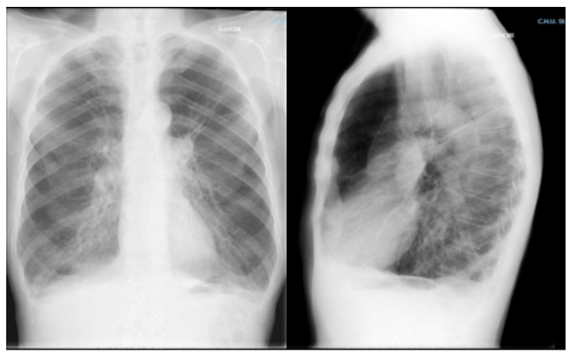
Le patient est perdu de vue. Trois ans après le passage en réanimation, il est revu pour une altération de l’état général par son médecin traitant qui lui prescrit une radiographie de thorax standard dont voici l’image.
Figure 6.

Le médecin traitant suspecte une lésion maligne bronchopulmonaire droite et l’adresse donc au pneumologue pour une documentation histologique de cette masse.
Question 12 - Quelle est la stratégie de première intention pour réaliser une biopsie de cette lésion (une réponse attendue) ?
Lésion proximale péri-hilaire.
La documentation d’une lésion thoracique dépend de sa localisation. Les lésions proximales péri-bronchiques sont à explorer en première intention par endoscopie bronchique simple. Les lésions périphériques sous-pleurales sont accessibles par ponction transpariétale écho- ou scanno-guidée en première intention, sinon par chirurgie (vidéo-thoracoscopie). Entre les deux, l’endoscopie bronchique simple est à tenter en première intention, la ponction transpariétale écho- ou scanno-guidée en deuxième intention, et la chirurgie en troisième intention. Les ganglions médiastinaux sont biopsiables par écho-endoscopie bronchique (EBUS, pour endobronchial ultrasound) ou médiastinoscopie. Pour l’EBUS, le ganglion doit absolument être au contact de l’arbre bronchique pour être visualisé et biopsié.
La biopsie réalisée par endoscopie bronchique simple retrouve un adénocarcinome bronchopulmonaire bien différencié.
Vous n’avez que cette imagerie (radiographie de thorax standard) pour le moment.
Question 13 - À ce stade-là, quel(s) examen(s) prescrivez-vous pour décider de la meilleure prise en charge thérapeutique ?
Le bilan d’extension par imagerie cherche à savoir si le patient est éligible à un traitement locorégional potentiellement curateur. Si tel est le cas (par exemple, lésion unique pulmonaire comme ici), il faut réaliser le bilan d’extension avec la meilleure performance diagnostique pour le diagnostic de lésion à distance : TEP-TDM et IRM cérébrale. Si la tumeur n’est pas accessible à un traitement locorégional (par exemple stade IV d’emblée sur un scanner thoraco-abdo-pelvien, non accessible à la chirurgie), le choix des examens est discuté en fonction des points d’appel cliniques : en pratique, un scanner corps entier devra être disponible à la fin du bilan : cérébral, cervical, thoraco-abdo-pelvien pour visualiser les 5 sites métastatiques préférentiels du cancer bronchopulmonaire (cerveau, os, foie, surrénales, plèvres/poumons), dans le but de suivre l’évolution de la maladie et l’efficacité du traitement engagé sur chaque site métastatique présent au début de la maladie.
Les altérations moléculaires tumorales sont à rechercher en cas de cancer bronchique non à petites cellules, non épidermoïde, de stade IV. Certaines altérations (epidermal growth factor receptor [EGFR], réarrangement ALK…) sont une indication de traitement par thérapie ciblée.
Le bilan d’extension révèle une lésion pulmonaire primitive unique non obstructive de 3 cm lobaire inférieure droite sans extension ganglionnaire ou à distance.
Question 14 - Quelles sont les affirmations justes concernant la prise en charge thérapeutique possible (une ou plusieurs réponses possibles) ?
Impossible car VEMS prédit postopératoire 1 L ou 30 % de la théorique.
Toujours
Seul le cancer bronchique à petites cellules est accessible seulement à une chimiothérapie.
Jamais.
Seulement si obstruction bronchique dans un but palliatif.
Il s’agit ici d’un adénocarcinome localisé relevant en théorie d’un traitement curateur chirurgical. Mais le patient est atteint d’une BPCO très sévère qui contre-indique la chirurgie. En effet, pour être éligible à une chirurgie, le VEMS prédit postopératoire ne doit pas être < 30 % de la théorique ou < 1 L et il ne doit pas exister d’hypercapnie au gaz du sang préopératoire. Le calcul du VEMS prédit postopératoire se fait à partir de la valeur préopératoire à laquelle on soustrait 1/4 par lobe réséqué (1/4 pour une lobectomie, 1/2 pour une pneumectomie). Le lobe moyen étant petit n’est pas pris en compte.
Il n’y a jamais de surveillance active dans le cancer bronchopulmonaire. Il s’agira soit d’un traitement curateur par résection chirurgicale, soit d’un traitement non curateur par chimiothérapie ou thérapie ciblé, soit d’une abstention thérapeutique. Pour les patients avec objectif curatif mais où la chirurgie est contre-indiquée, il peut être proposé un traitement local de la tumeur par radiothérapie ou radiofréquence.
Le patient, après avoir cherché sur Internet, demande à son pneumologue s’il peut bénéficier d’une reconnaissance en maladie professionnelle. Il travaille en tant que salarié d’une grande entreprise comme tunnelier depuis l’âge de 16 ans où il est en charge de la mise en place des explosifs puis du déblayage des roches après explosions. Il avoue qu’il y a 25 ans les règles de protections respiratoires étaient moins rigoureuses et déclare ne pas avoir toujours utilisé de masque pour se protéger, surtout quand il fumait ces cigarettes...
Question 15 - Quelles sont les affirmations justes concernant M. M. et la maladie professionnelle ?
Les tunneliers sont exposés aux poussières inorganiques de silice, un aéro-contaminant responsable de BPCO et un agent cancérogène certain du cancer bronchopulmonaire.
Pour pouvoir bénéficier d’une reconnaissance en maladie professionnelle il faut plusieurs critères :
– avoir une maladie inscrite au tableau des maladies professionnelles ;
– délai de prise en charge compatible (entre la fin d’exposition et l’apparition des symptômes ; dépend de la maladie) ;
– seuil d’exposition compatible (durée d’exposition, poste de travail exposé…) ;
– présomption d’origine : le lien de causalité n’a pas à être démontré, notamment en cas de cause intriquée comme ici avec le tabagisme ;
– être inscrit au régime général (salariés du secteur privé et fonctionnaires) ou au régime agricole de la Sécurité sociale. Les travailleurs indépendants (artisans, commerçants…) ne peuvent pas bénéficier de la maladie professionnelle (dans le régime social des indépendants, il n’y a pas de cotisation pour le risque de maladie professionnelle).

Exercez-vous aux ECN avec les dossiers progressifs et les LCA de La Revue du Praticien