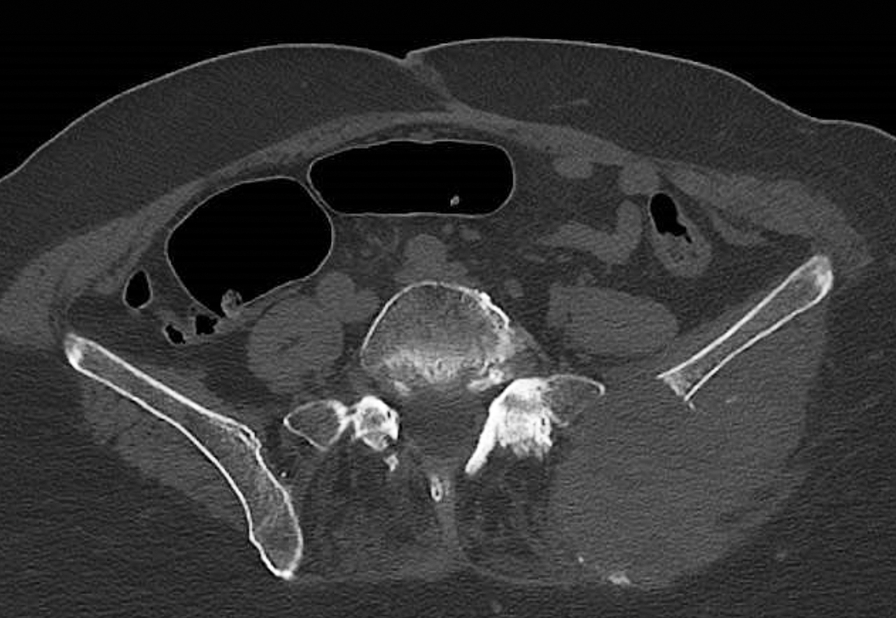
Une femme de 83 ans se plaint de douleurs au niveau de la fesse gauche et d’une impotence fonctionnelle à la suite d’une chute.
Elle a un antécédent de carcinome rénal opéré deux ans auparavant. La calcémie est à 4,13 mmol/L.
Quel est votre diagnostic ?
Devant une métastase osseuse, il faut rechercher un cancer « ostéophile » : rein, sein, thyroïde, prostate, poumon.
Un tiers des patients atteints par un cancer du rein développe des métastases osseuses.
L’hypercalcémie survenant au cours d’un cancer du rein peut être liée aux métastases osseuses ou d’origine paranéoplasique.
Un tiers des patients atteints par un cancer du rein développe des métastases osseuses.
L’hypercalcémie survenant au cours d’un cancer du rein peut être liée aux métastases osseuses ou d’origine paranéoplasique.